牙齿正畸作为一种常见的口腔治疗手段,主要通过施加持续、温和的力来移动牙齿,调整咬合关系,改善面部美观和口腔功能,关于“牙齿正畸是否会导致脸廓变形”的讨论始终存在,部分患者反馈治疗后出现脸颊凹陷、嘴唇变瘪、下颌轮廓改变等情况,引发了对正畸安全性的担忧,牙齿正畸与脸廓变化的关系复杂,需从正畸原理、脸廓构成、个体差异等多维度分析,才能科学理解这一现象。
牙齿正畸如何影响脸廓?
脸廓是由骨骼(上颌骨、下颌骨、颧骨等)、软组织(肌肉、脂肪、皮肤)及牙齿共同支撑形成的立体结构,其中牙齿的位置与咬合关系对脸廓形态有直接影响,正畸治疗中,牙齿的移动会通过生物力学效应改变软组织的张力与位置,进而影响脸廓外观,这种影响可分为“生理性适应”与“病理性改变”两类。

生理性适应:脸廓的“优化调整”
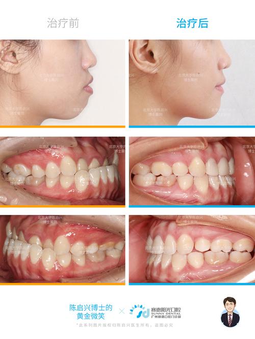
正畸治疗的本质是重建口腔平衡,这种重建往往伴随脸廓的积极变化,对于“龅牙”(上颌前突)患者,通过内收上前牙、调整咬合平面,可使突出的嘴唇回收,改善鼻唇角(鼻尖与上唇形成的夹角),使侧面轮廓更柔和;对于“地包天”(反颌)患者,通过纠正下颌骨过度前伸,可改善下巴后缩问题,使面部中下庭比例协调,这类变化属于正畸的预期效果,是脸廓向“功能与美观统一”方向的优化,并非“变形”。
病理性改变:脸廓的“异常风险”
部分患者可能出现非预期的脸廓变化,如颊部凹陷、面部丰满度下降、下颌角轮廓模糊等,这类情况多与治疗设计或操作不当相关,拔牙正畸(如拔除前磨牙)为牙齿内收提供空间,若内收量过大或速度过快,可能导致牙根位置靠近颌骨内壁,削弱对颊部软组织的支撑,使脸颊显得“凹陷”;正畸力过大可能刺激颌骨改建异常,或因咬合紊乱导致咀嚼肌张力失衡(如咬肌萎缩),进而影响脸廓对称性与饱满度。
导致脸廓变化的常见原因分析
脸廓变形并非正畸的直接“副作用”,而是多种因素共同作用的结果,需结合个体特征与治疗细节综合判断。
拔牙与非拔牙方案的选择
拔牙正畸是争议的焦点,当患者存在严重牙列拥挤、牙齿前突等问题时,拔除部分牙齿(通常为第一前磨牙)可为后牙前移、前牙内收创造空间,从而改善咬合与面型,但拔牙后,若医生未精确控制牙齿移动的“支抗”(抵抗移动的能力),可能导致内收过度,使牙槽骨吸收、软组织失去支撑,引发颊部凹陷,相比之下,非拔牙正畸通过扩展牙弓、邻面去釉等方式解决拥挤,对脸廓影响较小,但仅适用于轻度拥挤或牙弓足够宽度的患者。

正畸力的控制与生物力学设计
牙齿移动的力需在“生理阈值”内——力过小无法移动牙齿,力过大则可能损伤牙根、牙槽骨及周围软组织,使用“滑动法”关闭拔牙间隙时,若施加的牵引力过大,可能导致牙根吸收、牙槽骨高度降低,进而影响面部软组织的附着位置;支抗钉(微种植体)的应用虽可精准控制牙齿移动,但若植入位置不当或用力方向错误,可能刺激颌骨神经或肌肉,导致局部凹陷或不对称。
个体差异:骨骼与软组织的“响应不同”
患者的骨骼基础、软组织厚度与弹性是决定脸廓变化程度的关键,面部软组织较厚(如颊部脂肪丰富)的患者,即使牙齿内收量稍大,也可能被脂肪组织代偿,不易出现凹陷;而软组织薄、颧骨高的患者,对牙齿移动更敏感,轻微的牙槽骨改建就可能表现为脸颊“瘪进去”,年龄因素也不可忽视——青少年患者颌骨与软组织仍处于发育期,正畸可引导骨骼生长,改善脸廓;成年患者骨骼定型,正畸主要依赖牙齿移动,脸廓变化更依赖软组织适应。
保持阶段与复发风险
正畸结束后,牙齿需通过保持器维持新位置,若患者未按要求佩戴保持器,可能导致牙齿反弹(如前牙再次前突、牙弓缩窄),进而引发脸廓二次改变,拔牙患者若牙齿反弹,内收的前牙可能回到原位,导致颊部支撑不足,凹陷感加重。
如何科学规避脸廓变形风险?
牙齿正畸导致的脸廓变形多可预防,关键在于“精准评估”与“规范操作”。

治疗前:全面评估个体特征
正畸前需通过X光片(曲面断层片、头颅侧位片)、面部扫描、模型分析等手段,评估患者的骨骼类型(骨性Ⅰ类、Ⅱ类、Ⅲ类)、牙弓长度、软组织厚度、面部对称性等,对于骨性前突、软组织薄的患者,需谨慎设计拔牙方案,优先考虑非拔牙矫治或代偿性治疗(通过牙齿移动掩饰骨骼问题)。
治疗中:精细化控制牙齿移动
医生需根据患者情况选择合适的矫治技术(如自锁托槽、隐形矫治),通过“轻力矫治”原则控制牙齿移动速度(每月移动1mm左右),避免牙槽骨过度吸收,拔牙患者需精确计算内收量,通过“片段弓”“支抗钉”等技术增强支抗,确保后牙稳定,防止前牙过度内收导致颊部空虚。
治疗后:严格保持与定期复查
保持器是防止复发、稳定脸廓的重要工具,患者需在医生指导下佩戴保持器(通常夜间佩戴至少2年),并定期复查(每3-6个月一次),监测牙齿位置与脸廓变化,及时调整方案。
牙齿正畸对脸廓影响的常见情况对比
| 影响类型 | 表现特征 | 发生原因 | 可预防性 |
|---|---|---|---|
| 生理性优化 | 鼻唇角改善、凸嘴缓解、面部对称性提升 | 咬合重建、软组织适应性调整 | 高(预期效果) |
| 拔牙后颊部轻度凹陷 | 颊部丰满度轻微下降,但无功能异常 | 拔牙后牙槽骨轻微吸收,软组织代偿不足 | 高(通过控制内收量) |
| 过度内收导致凹陷 | 颧骨突出、脸颊明显凹陷,嘴唇过瘪 | 支抗丧失、内收量过大、牙槽骨吸收 | 高(需精准生物力学设计) |
| 咬合紊乱继发脸廓改变 | 咀嚼肌张力失衡、面部不对称 | 正畸后咬合未建立稳定、保持不当 | 高(注重咬合功能重建) |
牙齿正畸与脸廓变形的关系并非简单的“因果关系”,而是“可控的治疗效应”,在专业医生的操作下,正畸治疗通过调整牙齿与咬合关系,通常能改善脸廓美观,提升面部协调性;而少数非预期的脸廓变化,多与治疗方案设计、个体差异或术后维护不当相关,患者在正畸前应充分沟通,选择经验丰富的医生,并严格遵循治疗与保持阶段的指导,才能在获得整齐牙齿的同时,避免脸廓变形的风险,实现真正的“健康与美观双赢”。
相关问答FAQs
Q1:牙齿正畸后脸廓变“瘪”了,还能恢复吗?
A:若因拔牙后轻度内收导致脸颊凹陷,且软组织厚度尚可,可通过佩戴保持器、面部按摩(促进局部血液循环)等方式观察,部分患者可在6-12个月内通过软组织代偿逐渐恢复;若凹陷明显且伴随牙槽骨吸收,需及时复诊,医生可能通过正畸微调(如少量前牙唇向移动)或修复治疗(如树脂贴面增加牙齿厚度)改善外观,严重时需结合正颌手术或面部填充(如自体脂肪移植)进行矫正。
Q2:所有人正畸都会改变脸廓吗?变化程度因人而异吗?
A:并非所有人正畸后脸廓都会发生明显变化,脸廓变化的程度主要取决于个体骨骼基础(如颌骨发育程度、面部对称性)、软组织特性(厚度、弹性)、正畸方案(是否拔牙、内收量)及治疗规范度,青少年骨性畸形患者通过正畸引导骨骼生长,脸廓变化可能显著;而成年轻度牙列不齐患者,正畸主要调整牙齿排列,脸廓可能几乎看不出变化,脸廓变化存在显著的个体差异,需“因人而异”评估。
