拜博口腔网

  • 牙齿正畸与脸廓变形

    牙齿正畸与脸廓变形

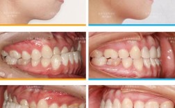
    牙齿正畸作为一种常见的口腔治疗手段,主要通过施加持续、温和的力来移动牙齿,调整咬合关系,改善面部美观和口腔功能,关于“牙齿正畸是否会导致脸廓变形”的讨论始终存在,部分患者反馈治疗后出现脸颊凹陷、嘴唇变瘪、下颌轮廓改变等情况,引发了对正畸安全...

    2025-12-27
    43 0 0
  • 1 / 1
  • 1