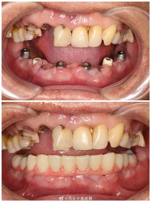
全口牙缺失是口腔健康中的严重问题,不仅会导致咀嚼功能丧失、发音不清,还可能因牙槽骨缺乏刺激而加速吸收,进而引发面部塌陷、衰老加速等连锁反应,针对这一情况,种植牙凭借其稳固、舒适、功能接近天然牙的优势,已成为全口牙修复的理想选择,与传统活动假牙相比,种植牙通过将种植体植入牙槽骨,模拟天然牙的牙根结构,能够有效恢复咬合功能,同时避免邻牙损伤,长期使用效果更佳。
全口种植牙的技术方案多样,需根据患者的牙槽骨条件、经济预算及需求个性化设计,目前主流技术包括传统全口种植、即刻负重种植以及All-on-4/6技术等,传统全口种植通常需在上下颌牙槽骨中分别植入8-12颗种植体,通过3-6个月的骨结合期后,再安装基台和牙冠,修复周期较长但稳定性高;即刻负重种植则适合牙槽骨条件较好的患者,通过精准的术前规划,在植入种植体的当天或48小时内安装临时牙冠,实现“即种即用”,快速恢复美观与功能;All-on-4/6技术则通过倾斜植入种植体(通常上下颌各4颗或6颗),利用力学原理减少种植体数量,降低手术难度,同时支持即刻负重,尤其适用于牙槽骨轻度萎缩的患者,可避免复杂的植骨手术。

不同全口种植技术的特点对比如下:
| 技术类型 | 种植体数量(上下颌各) | 手术次数 | 骨结合期 | 适用情况 | 优势 |
|---|---|---|---|---|---|
| 传统全口种植 | 8-12颗 | 1-2次 | 3-6个月 | 牙槽骨条件良好,追求长期稳定 | 种植体分布均匀,承力能力强 |
| 即刻负重种植 | 6-8颗 | 1次 | 3-6个月 | 牙槽骨密度高,骨量充足 | 当天戴牙,缩短等待时间 |
| All-on-4/6技术 | 4颗或6颗 | 1次 | 3-6个月 | 牙槽骨轻度萎缩,避免植骨 | 减少种植体数量,降低手术创伤 |
全口种植牙的流程通常包括术前检查、方案设计、手术植入、骨结合及最终修复五个阶段,术前需通过CBCT、口腔模型等检查评估牙槽骨厚度、密度及神经血管位置,确保种植方案安全可行;手术阶段在局部麻醉下将种植体植入牙槽骨,创伤小且疼痛感轻微;骨结合期是种植成功的关键,需避免种植体受力;最终修复阶段,医生会根据患者面部比例、咬合关系定制牙冠,确保美观与功能协调。
术后护理是延长种植牙使用寿命的重要环节,需注意保持口腔卫生,使用软毛牙刷、牙线及冲牙器清洁种植体周围,避免食物残渣堆积;饮食上避免咀嚼过硬、黏性食物,减少种植体负荷;定期复查(建议每6个月1次),检查种植体稳定性及牙周健康状况,发现问题及时处理,只要维护得当,全口种植牙的使用寿命可长达20年以上甚至终身。
相关问答FAQs

-
问:全口种植牙适合所有年龄段吗?
答:并非如此,全口种植牙通常要求患者年满18岁且牙槽骨发育完全,同时无严重系统性疾病(如未控制的糖尿病、骨质疏松、心脏病等),老年患者若身体状况良好,经医生评估后也可种植,但需注意术后恢复能力。 -
问:全口种植牙的费用很高吗?能否医保报销?
答:全口种植牙费用因技术类型、种植体品牌及地区差异较大,传统种植约5万-15万元,All-on-4技术约8万-20万元,目前大部分地区的医保不报销种植牙费用,但部分商业保险或医院分期付款可减轻经济压力,建议术前与医院确认具体费用及支付方式。

