正畸治疗是通过矫治器对牙齿施加持续、温和的力,引导牙齿在牙槽骨内移动,最终达到排列整齐、咬合协调的目的,部分患者在矫正完成后或矫正过程中,可能会出现牙齿形态或位置的异常改变,牙外展弯”是较为特殊的一种情况,所谓“牙外展弯”,通常指牙齿在牙根或牙冠部位出现向外展开的弯曲形态,这种改变可能涉及牙根的生理性或病理性弯曲,也可能与牙冠的倾斜角度异常相关,其发生与正畸治疗过程中的生物力学反应、个体解剖差异及术后维护等多种因素密切相关,要准确理解牙外展弯,需结合其临床表现、影像学特征及形成机制进行综合分析,而通过不同类型的图片(如X光片、口内照、模型等)可直观展示其形态特点,为临床诊断和干预提供重要依据。
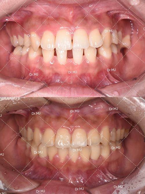
正畸后牙外展弯的临床表现与图片特征解读
牙外展弯的形态因个体差异和发生部位不同而存在多种表现,需通过临床检查和影像学检查才能明确诊断,以下从不同检查角度,结合图片特征描述牙外展弯的具体表现:

X光片(根尖片与曲面断层片)下的牙外展弯特征
X光片是观察牙根形态和牙槽骨情况的重要工具,对牙外展弯的诊断具有决定性意义,在根尖片中,正常牙根的长轴应与牙冠长轴基本一致,牙根表面光滑,无明显的弯曲或凹陷,而牙外展弯的典型表现为:牙根中远端或全牙根向颊侧或舌侧呈“C”形或“S”形弯曲,弯曲角度通常大于15°,严重时牙根尖端甚至可超出牙槽骨边缘,上颌前牙区牙外展弯可见牙根向腭侧弯曲,牙冠则向唇侧倾斜,导致牙冠与牙根长轴形成明显夹角;下颌后牙区牙外展弯可能表现为牙根向远中弯曲,与邻牙牙根间距增大,牙槽骨骨皮质变薄。
曲面断层片(全景片)则可全面观察全口牙根的排列情况,牙外展弯患者全景片中可见:部分牙根排列不齐,牙根之间出现“交错”或“分叉”现象,弯曲牙根的牙槽骨密度可能降低,提示牙根移动过程中牙槽骨改建不良,若牙外展弯伴随牙根吸收,X光片上可见牙根尖端边缘模糊、变短,甚至出现“蚕食样”缺损。
口内临床照下的牙外展弯表现
口内照能直观反映牙冠形态、牙龈状态及牙齿排列情况,是辅助诊断的重要手段,牙外展弯患者的口内照可能表现为:
- 牙冠倾斜与外展间隙:弯曲牙冠常向颊侧或舌侧倾斜,与邻牙之间出现异常的外展间隙(黑三角),尤其以前牙区明显,影响美观;
- 牙龈退缩与牙根暴露:若牙根弯曲导致牙槽骨吸收,牙龈缘会向根尖方向退缩,部分患者可见牙根颈部暴露,呈“黄褐色”改变;
- 咬合关系紊乱:后牙区牙外展弯可能导致咬合时牙齿接触不良,出现早接触点或干扰,表现为咀嚼效率下降或颞下颌关节不适。
上颌侧切牙牙外展弯的口内照可见:牙冠向唇侧旋转,与中切牙之间形成明显的三角形间隙,牙龈乳头萎缩,牙根颈部暴露;下颌第一磨牙牙外展弯则可能表现为牙冠向舌侧倾斜,颊侧牙龈出现“塌陷”样改变,食物易嵌塞。

牙模型与CBCT的三维特征分析
石膏牙模型可准确测量牙齿的倾斜角度、外展间隙大小及牙弓形态,牙外展弯患者的模型上,弯曲牙齿的牙冠轴倾角(牙齿长轴与牙弓平面的夹角)异常增大,通常超过正常值(前牙轴倾角约为5°-10°),外展间隙可达2-4mm,影响牙弓对称性。
锥形束CT(CBCT)是三维评估牙外展弯的“金标准”,可清晰显示牙根的弯曲方向、角度、弯曲部位及与牙槽骨的关系,CBCT三维重建可见:牙根在牙槽骨内呈“弧形”弯曲,弯曲段牙根与牙槽骨骨壁间距小于0.5mm(提示骨皮质吸收),严重时牙根甚至穿出牙槽骨,导致黏膜红肿、出血,CBCT还能评估牙根是否伴有吸收、根管形态是否异常,为后续治疗提供全面依据。
牙外展弯的形成原因与危险因素
牙外展弯并非正畸治疗的必然结果,其发生是多种因素共同作用的结果,既包括正畸治疗过程中的生物力学因素,也与患者自身的解剖结构和术后维护密切相关。
正畸治疗相关的生物力学因素
- 矫治力过大或不均匀:正畸治疗中,若施加的矫治力超过牙槽骨的改建能力(一般轻力为50-100g),可能导致牙根尖压迫牙槽骨,引起牙根弯曲,关闭拔牙间隙时,若使用过大的滑动牵引力,前牙牙根可能向腭侧过度移动,形成“牙外展弯”;
- 支抗控制不当:支抗是指抵抗矫治力反作用的能力,若支抗不足,如拔牙后后牙前移过多,可能导致前牙过度唇倾,牙根向腭侧弯曲;反之,若支抗过度,后牙可能远中移动,前牙牙根向唇侧弯曲;
- 矫正器选择与粘接位置异常:传统托槽矫正中,若托槽粘接位置偏离牙冠长轴(如过于龈方或牙合方),会导致牙齿在移动过程中发生倾斜旋转,进而引起牙根弯曲;隐形矫正中,若附件设计不当或矫治器与牙齿不贴合,也可能产生不均匀的矫治力;
- 矫正时间过长:正畸治疗时间通常为1.5-3年,若治疗周期延长(如超过4年),牙齿长期处于移动状态,牙槽骨改建可能失衡,增加牙外展弯的风险。
患者自身解剖与生理因素
- 牙根形态异常:部分患者存在先天性牙根弯曲(如“C”形根、融合根),牙根本身结构薄弱,正畸过程中易发生形态改变;
- 牙槽骨条件差:若患者牙槽骨厚度不足(尤其是上前牙区唇侧骨板厚度小于1mm),或存在牙周炎导致的牙槽骨吸收,牙齿移动时牙根易突破牙槽骨,形成外展弯;
- 年龄与骨密度:青少年患者牙槽骨改建活跃,对矫治力反应敏感,但骨皮质较薄,易发生牙根弯曲;成年患者骨密度较高,牙槽骨改建速度慢,若矫治力过大,同样可能引起牙根损伤。
术后保持与维护因素
- 保持器佩戴不当:正畸完成后,牙齿需通过保持器维持稳定,若患者未按医嘱佩戴保持器(如夜间未佩戴、佩戴时间不足),牙齿可能复发移位,导致牙根弯曲;
- 不良口腔习惯:如吐舌、咬唇、夜磨牙等,长期异常力量作用于牙齿,可改变牙齿位置,诱发牙外展弯;
- 牙周病未得到控制:牙周炎患者牙槽骨破坏,牙齿支持力下降,即使正畸治疗完成,若牙周病未控制,仍可能出现牙齿移位和牙根弯曲。
牙外展弯的危害与临床处理原则
牙外展弯不仅影响牙齿美观和咬合功能,还可能对牙周健康和远期稳定性造成严重危害,需根据其严重程度采取针对性的处理措施。

牙外展弯的主要危害
- 美观影响:前牙区牙外展弯导致牙冠倾斜、外展间隙,影响微笑线美观,患者可能出现心理障碍;
- 功能损害:后牙区牙外展弯导致咬合紊乱,咀嚼效率下降,长期可能引发颞下颌关节紊乱病(TMD),表现为关节弹响、疼痛;
- 牙周健康风险:牙根弯曲导致牙槽骨吸收,牙龈退缩,牙根暴露,易引发食物嵌塞、牙周炎,甚至牙齿松动脱落;
- 牙根吸收与根管损伤:严重牙外展弯可能伴随牙根吸收,导致牙齿活力下降,若牙根穿出牙槽骨,可能需拔除患牙。
牙外展弯的临床处理原则
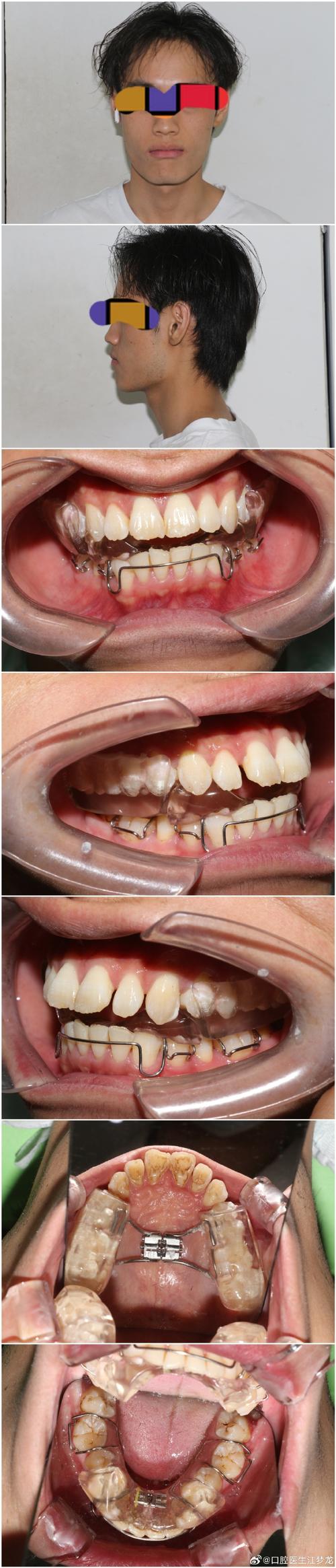
牙外展弯的处理需根据弯曲程度、是否伴有牙周病及患者需求综合考虑,主要包括以下几种方式:
| 处理方式 | 适应证 | 操作要点 | 注意事项 |
|---|---|---|---|
| 观察随访 | 轻度牙外展弯(弯曲角度<15°),无牙周病,无美观功能影响 | 每6个月复查X光片和牙周状况,监测牙根形态变化 | 避免过大咬合力,控制不良口腔习惯 |
| 正畸干预 | 中度牙外展弯(弯曲角度15°-30°),伴有牙齿移位或咬合紊乱 | 使用轻力矫治(如片段弓、隐形矫正),重新排齐牙齿,纠正牙根倾斜角度 | 需评估牙槽骨条件,避免加重牙根吸收 |
| 修复治疗 | 重度牙外展弯(弯曲角度>30°),伴牙冠缺损或严重外展间隙 | 根据情况行贴面、全冠修复,关闭外展间隙,改善美观;若牙根暴露,需行牙周手术 | 修复前需完善牙周治疗,确保牙龈健康;若牙根吸收明显,需根管治疗后桩冠修复 |
| 牙周手术 | 伴牙槽骨吸收、牙龈退缩的患者 | 行引导性组织再生术(GTR)、牙冠延长术,重建牙槽骨和牙龈形态 | 术后需加强口腔卫生维护,定期牙周复查 |
| 拔除患牙 | 牙根严重吸收、穿出牙槽骨,或伴发根尖周炎、牙周炎难以控制 | 拔除患牙后可选择种植义齿、活动义齿修复 | 拔牙前需评估邻牙状况,避免影响相邻牙稳定性 |
相关问答FAQs
Q1:正畸后牙外展弯一定会复发吗?如何预防复发?
A:牙外展弯是否复发取决于多种因素,若仅为轻度牙根弯曲(角度<15°),且正畸后保持器佩戴规范、无不良口腔习惯,通常不会复发;但若存在中度以上弯曲、牙周病未控制或保持不当,复发风险较高,预防复发的关键措施包括:①正畸后严格佩戴保持器(通常夜间佩戴至少2年,终身佩戴更佳);②积极治疗牙周病,定期进行牙周洁治和维护;③避免吐舌、咬唇等不良习惯,控制过硬食物摄入;④定期复查(每6-12个月),通过X光片监测牙根形态和牙槽骨状况,及时发现并处理问题。
Q2:牙外展弯可以通过矫正再次治疗吗?风险大吗?
A:牙外展弯可通过二次正畸治疗改善,但需谨慎评估风险,对于中度牙外展弯(弯曲角度15°-30°),若患者牙槽骨条件良好(牙槽骨厚度>1.5mm,无吸收),可通过轻力矫治(如隐形矫正、片段弓)缓慢纠正牙根倾斜角度,治疗时间通常为1-2年;但若存在重度弯曲(>30°)或严重牙槽骨吸收,二次正畸治疗风险较高,可能加重牙根吸收或导致牙齿松动,此时建议优先选择修复治疗(如全冠、贴面)改善美观,或结合牙周手术重建支持组织,治疗前需通过CBCT全面评估牙根形态、牙槽骨状况及牙根吸收程度,与患者充分沟通治疗预期和风险,制定个性化方案。
