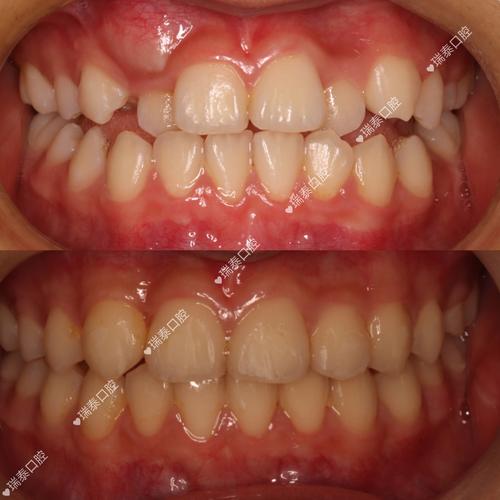
正畸下牙列整体前移是正畸治疗中通过特定技术将下颌所有牙齿整体向近中(前方)移动的矫治方法,核心目标是协调上下颌牙列关系,改善咬合功能与面部美观,常见于下牙列后缩、II类错颌等病例的治疗,其原理是通过施加持续、温和的生物力,引导牙齿及其周围牙周组织发生改建,在牙槽骨内重新定位,同时避免个别牙齿倾斜或扭转,确保移动的整体性与稳定性。
适应症与临床意义
下牙列整体前移并非适用于所有错颌病例,需严格评估适应症:

- 下牙列后缩:因先天发育、不良习惯(如口呼吸、吐舌)导致的下颌牙齿位置靠后,与上牙列覆盖过大;
- II类错颌:轻中度骨性II类错颌(ANB角<5°),通过牙齿移动代偿改善咬合关系,避免正颌手术;
- 前牙深覆盖/深覆合:上下前牙垂直或水平向关系异常,通过下牙前移调整覆覆盖;
- 面型优化需求:患者颏部后缩,侧貌突度不足,希望通过牙齿移动改善面部轮廓协调性;
- 非拔牙病例:上牙列无明显拥挤,下牙列轻度拥挤,通过前移下牙提供间隙,避免拔牙治疗。
其临床意义在于:既可纠正功能性问题(如咀嚼效率低、颞下颌关节紊乱风险),又能满足美学需求(改善“地包天”倾向或“下颌后缩”面型),同时保留天然牙列完整性,提升患者治疗依从性。
治疗方法与技术要点
下牙列整体前移需结合患者具体情况选择矫治器,并严格控制移动生物力学,确保整体性。
治疗前全面评估
- 模型分析:测量下牙弓长度、拥挤度、Spee曲线曲度,判断前移空间;
- X线头影测量:评估下颌位置(SNB角)、下牙轴倾斜度(IMPA角)、牙根形态,排除牙根吸收风险;
- 面部美学分析:拍摄正面、侧面照,评估鼻唇颏关系、颏部突度,预测改善效果。
矫治器选择与支抗设计
| 矫治方式 | 优点 | 缺点 | 适用人群 |
|---|---|---|---|
| 传统固定矫治器 | 精确控制牙齿移动方向,力量稳定 | 舒适度较低,口腔清洁难度大 | 复杂错颌,需精细移动病例 |
| 隐形矫治器 | 美观舒适,可自行摘戴,便于清洁 | 依赖患者 compliance,费用较高 | 轻中度错颌,注重美观者 |
| 种植支抗辅助 | 提供绝对支抗,避免后牙前移干扰 | 需微创植入种植钉,存在感染风险 | 支抗需求高,需严格控制移动者 |
技术要点:
- 支抗控制:优先选择种植支抗(如颧种植钉、下颌骨体种植钉),防止后牙近中移动干扰前移效果;若使用传统支抗(如横腭杆、Nance弓),需加强后牙稳定;
- 加力方式:通过镍钛圆丝、不锈钢方丝逐步施加轻力(每侧50-100g),避免“倾斜移动”,确保牙齿整体平移;
- 移动监控:每4-6周复诊拍摄根尖片,观察牙根平行度及牙周状况,调整加力方向。
治疗流程与周期
- 排齐整平阶段(3-6个月):解除下牙列拥挤,平整Spee曲线,为整体前移创造条件;
- 整体前移阶段(6-12个月):通过弓丝“摇椅形弯制”或隐形矫治器“前移附件”,引导下牙整体向近中移动,每月移动量控制在1mm以内;
- 精细调整阶段(3-4个月):调整咬合关系,确保上下牙尖交错接触,磨牙中性关系;
- 保持阶段:拆除矫治器后,佩戴 Hawley 保持器或透明保持器至少2年,夜间长期佩戴。
优势与潜在风险
优势
- 功能改善:纠正异常咬合,提高咀嚼效率,降低颞下颌关节紊乱综合征发生风险;
- 美学优化:改善下颌后缩侧貌,使颏部与鼻、唇形成协调的“审美平面”;
- 非拔牙治疗:为部分病例避免拔牙,保留天然牙列完整性,减少治疗创伤;
- 长期稳定性:整体移动对牙周组织刺激较小,配合保持器可维持效果。
潜在风险与应对
- 牙根吸收:长期加力可能导致牙根尖端轻微吸收,需治疗前后拍摄CBCT对比,控制加力时间与力度;
- 牙龈退缩:移动过程中牙槽骨改建可能引发牙龈退缩,需加强口腔卫生指导,使用软毛牙刷;
- 关节不适:前移过度可能改变髁突位置,引发关节弹响或疼痛,需定期进行关节检查;
- 复发风险:若患者存在不良习惯(如咬唇、吐舌)或保持不当,可能导致下牙轻微后移,需纠正习惯并延长保持时间。
患者配合与注意事项
- 口腔卫生:使用正畸专用牙刷、牙线、冲牙器,避免食物残留导致龋齿或牙龈炎;
- 饮食禁忌:避免咬硬物(如坚果、骨头)、黏性食物(如口香糖),防止矫治器脱落或牙齿损伤;
- 复诊依从性:按时复诊调整加力,无故延迟可能导致牙齿移动失控或延长治疗时间;
- 习惯纠正:治疗期间戒除吐舌、咬唇等不良习惯,必要时配合肌功能训练(如肌激动器使用)。
相关问答FAQs
下牙列整体前移过程中会出现哪些不适?如何缓解?
答:治疗初期(1-2周)可能出现牙齿酸痛、咀嚼无力,属正常生理反应,因牙周组织受到轻微压力,可进食温凉软食,避免冷热刺激,遵医嘱服用布洛芬等非甾体抗炎药缓解疼痛,若出现剧烈疼痛、牙龈肿胀或咬合障碍,需及时复诊排查感染、矫治器压迫或加力不当等问题。

正畸后下牙列前移效果会复发吗?如何预防?
答:复发风险主要与牙周改建未完成、不良习惯未纠正及保持器佩戴不当有关,为预防复发:① 完成全程保持(至少2年),初期全天佩戴,后期过渡至夜间佩戴;② 纠正吐舌、咬唇等习惯,必要时进行肌功能训练;③ 治疗后每3-6个月复查,保持器若出现变形或破损需及时更换,通过以上措施,可有效降低复发概率,维持长期稳定效果。

