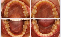
天坛口腔医院作为国内口腔医疗领域的知名机构,在正畸治疗方面积累了丰富的临床经验和技术优势,依托专业的医疗团队、先进的诊疗设备及个性化方案设计,为不同年龄段患者提供高效、舒适的正畸服务,医院正畸中心汇聚了一批资深正畸专家,他们不仅掌握国际前沿的正畸理念,还擅长结合东方人面部骨骼特点与牙齿状况,制定兼具功能性与美观性的治疗方案,帮助患者解决牙齿排列不齐、咬合异常、龅牙、地包天等各类错颌畸形问题,助力患者收获整齐牙齿与健康咬合。
在技术层面,天坛口腔医院正畸中心全面引进数字化正畸技术,通过3D口扫、CBCT影像分析等设备,实现精准数据采集与模拟预测,让患者可在治疗前直观看到矫正效果,针对不同需求,医院提供多种矫正方式:传统金属托槽矫正性价比高,适用范围广;陶瓷托槽矫正兼顾美观与强度,适合对美观有一定要求的患者;隐形矫正则采用透明牙套,可自行摘戴,不影响正常社交与饮食,尤其受成年患者青睐;自锁托槽矫正通过降低摩擦力,缩短治疗周期,减少复诊次数,提升矫正效率,为帮助患者更直观选择,不同矫正方式的特点可参考下表:

| 矫正方式 | 技术特点 | 优势 | 适合人群 |
|---|---|---|---|
| 传统金属托槽 | 金属托槽+弓丝固定 | 性价比高,矫正力度强 | 错颌畸形复杂、青少年患者 |
| 陶瓷托槽 | 透明陶瓷材质托槽 | 美观性好,强度较高 | 对美观有要求、青少年及成人 |
| 隐形矫正 | 透明高分子牙套,可自行摘戴 | 隐形美观,舒适度高,易清洁 | 轻中度错颌畸形、成年患者 |
| 自锁托槽 | 托槽自带闭锁装置,减少摩擦力 | 缩短治疗周期,复诊间隔长 | 时间紧张、追求高效矫正者 |
天坛口腔医院正畸中心注重“以患者为中心”的服务理念,从初诊咨询到矫正完成提供全程跟踪服务,初诊时,专家会通过口腔检查、影像分析等全面评估牙齿状况,结合患者年龄、美观需求及生活习惯,制定个性化方案;治疗过程中,定期调整矫治力,监测牙齿移动进度,确保矫正效果;矫正结束后,提供专业保持器及佩戴指导,有效防止复发,医院还特别关注儿童早期干预,针对替牙期出现的地包天、龅牙、牙齿拥挤等问题,通过功能性矫治器引导颌骨发育,降低后期正畸难度。
对于考虑正畸的患者,日常需注意口腔卫生,矫正期间避免食用过硬、黏性食物,按时复诊调整,虽然正畸过程中可能出现轻微不适感,但通常在可耐受范围内,且随着牙齿适应会逐渐缓解,医院通过规范化操作与舒适化治疗,最大限度降低患者不适,让矫正过程更轻松。
相关问答FAQs
Q:正畸治疗过程中会出现疼痛吗?如何缓解?
A:矫正初期及每次复诊调整后1-3天,牙齿可能出现轻微酸胀或疼痛感,这是牙齿移动的正常生理反应,通常无需特殊处理,可适当进食温凉软食,避免咀嚼硬物,若疼痛持续加重或影响进食,可及时联系医生调整方案,必要时可遵医嘱服用止痛药缓解。
Q:成年人正畸有年龄限制吗?矫正效果会受影响吗?
A:成年人正畸没有严格的年龄上限,只要牙周健康状况良好(无严重牙龈炎、牙周炎等),即可进行矫正,成年人的颌骨已停止发育,牙齿移动速度可能较青少年稍慢,但通过专业医生制定方案,同样可达到理想矫正效果,天坛口腔医院正畸中心针对成年患者特点,注重面部美学与咬合功能的平衡,帮助患者实现“牙齿矫正+颜值提升”的双重目标。


