正畸治疗中,横腭杆(TPA)作为重要的支抗装置和稳定结构,广泛应用于上颌牙弓的间隙管理、支抗控制及颌骨位置调整,其弯制精度直接影响临床效果,因此掌握规范的弯制方法对正畸医师至关重要,TPA通常由横跨腭部的连接杆和与磨牙管固位的末端组成,通过分散牙弓应力、限制后牙移动,为前牙治疗提供稳定支持,同时在关闭拔牙间隙、纠正后牙锁𬌗等病例中发挥关键作用。
材料选择与准备
TPA材料需兼顾强度与舒适性,常用材料包括直径0.9mm或1.0mm的不锈钢丝,以及0.9mm直径的β钛丝,不锈钢丝强度高、成本低,适合需要较强支抗的病例,如需要最大程度抑制上颌后牙移动的情况;β钛丝弹性模量较低,回弹小、易调整,适用于需精细控制或青少年患者,可减少对颌骨发育的干扰,弯制前需准备模型(上颌工作模,硬质石膏灌制)、钢丝钳(梯形钳、尖端钳)、成形器(如TPA专用弯制板)、记号笔、游标卡尺及抛光工具,确保模型无气泡、表面光滑,以准确反映患者腭部形态。

弯制步骤详解
模型测量与标记
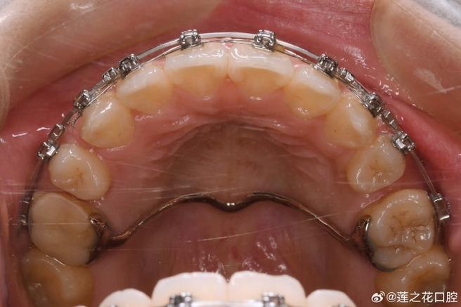
取上颌工作模后,用游标卡尺测量三个关键数据:①腭中缝长度:从腭中缝前部硬腭交界处(切牙孔后方)到第一磨牙腭侧隆突的距离;②第一磨牙间宽度:两侧第一磨牙颊尖腭侧中点的距离;③腭穹窿高度:腭中缝最高点与模型底面的垂直距离,随后在模型上标记核心点:腭中缝中点(横杆中心)、第一磨牙管中心点(末端插入位置)、横杆与腭黏膜的预留间隙点(距黏膜1.5-2.0mm,避免压迫)。
主体横杆弯制
截取长度足够的钢丝(通常为腭中缝长度+两侧末端延伸长度约15mm),用钢丝钳将两端弯成直角(长度5mm,用于插入磨牙管),以腭中缝中点为起点,将钢丝置于腭穹窿表面,用梯形钳或成形器将钢丝弯制与腭黏膜贴合的弧形——弧度需与腭穹窿形态一致,呈“浅U”形,避免局部凹陷压迫黏膜,横杆宽度应略小于第一磨牙间宽度(窄0.5-1.0mm),确保戴入后不刺激颊侧黏膜,弯制过程中需反复对照模型,用手指轻触检查弧度是否平滑,无尖锐凸起。
末端连接部弯制
将钢丝两端直角部分调整与磨牙管适配的角度(通常与牙长轴呈5-10°),确保插入后无翘动,用尖端钳将末端轻轻弯成小钩状(钩长2-3mm),增强固位力,同时避免钩端突出刺激软组织,若使用β钛丝,需用火焰枪加热横杆部分至樱桃红色(约800℃),保持30秒后水淬,以激活其弹性记忆,减少戴入后变形,注意加热范围仅限横杆,避免末端过软影响强度。
整体调整与抛光
将弯制好的TPA在模型上试戴,检查:①与腭黏膜的间隙(≥1.5mm);②与磨牙管的密合度(插入顺利无晃动);③横杆是否居中,无偏斜,用细砂纸或抛光轮轻轻打磨钢丝表面,去除毛刺,确保光滑无锐角,最后用酒精浸泡消毒30分钟,备用。

关键参数参考表
| 参数 | 青少年参考值 | 成人参考值 | 临床意义 |
|---|---|---|---|
| 腭穹窿高度 | 8-12mm | 10-14mm | 决定横杆弧度,避免压迫 |
| 横杆宽度 | 比磨牙间宽度窄0.5-1.0mm | 比磨牙间宽度窄0.5-1.0mm | 避免刺激颊侧黏膜 |
| 末端插入深度 | 3-5mm | 3-5mm | 确保固位稳定,防止脱位 |
| 腭黏膜预留间隙 | ≥1.5mm | ≥1.5mm | 预防黏膜疼痛、溃疡 |
注意事项
①弯制时力度均匀,避免反复弯折同一部位导致钢丝疲劳断裂;②β钛丝弯制后热处理需充分,但避免过度加热导致材质变脆;③临床试戴时需让患者做吞咽、张口动作,观察TPA有无移位或压迫;④TPA需与磨牙带环同时粘接,粘接前确认磨牙管位置准确;⑤每月复诊检查TPA变形情况,若出现弯曲变形或支抗丧失,需及时调整或重新弯制。
相关问答FAQs
问题1:TPA弯制时如何避免不锈钢丝回弹导致弓形变形?
解答:不锈钢丝弹性模量较高,弯制时需补偿回弹量,具体方法:弯制横杆弧度时,过度弯制5°-10°(即比模型所需弧度稍大),利用其回弹后恢复至理想形态,使用专用TPA弯制板辅助成形,通过板上的弧形槽固定钢丝,可提高弓形对称性和稳定性,若回弹明显,可采用“分段弯制法”:先弯制横杆中段1/3,再弯制两侧,逐步调整至整体贴合。
问题2:患者戴入TPA后出现腭部疼痛,可能的原因及处理方法?
解答:常见原因包括:①TPA横杆压迫腭黏膜(预留间隙不足):需拆除TPA,在模型上增加腭黏膜间隙至≥1.5mm后重新弯制;②末端钩刺激软组织:用持针器将钩端弯平或缩短至2mm以内,避免钩尖接触黏膜;③粘接后TPA移位:检查磨牙带环是否就位,若带环松动需重新粘接,并调整TPA末端与管的密合度,处理方法:首先给予溃疡贴保护黏膜,观察3-5天,若疼痛无缓解或出现溃疡,需拆除TPA调整后重新粘接,必要时在压迫点少量调磨钢丝。
