种植牙作为一种常见的牙齿修复方式,其核心结构包括植入牙槽骨内的种植体、连接种植体与牙冠的基台,以及模拟天然牙形态的牙冠,种植体作为“人工牙根”,其是否需要露出口腔环境,需结合手术方式、愈合阶段及具体情况综合判断,并非所有情况下植体都应暴露。
正常情况下:植体应完全埋入骨内,不应长期暴露
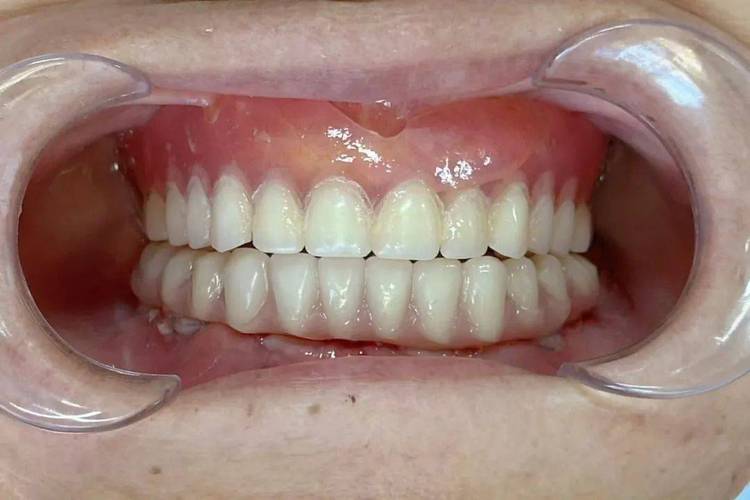
在理想状态下,种植体需完全植入牙槽骨内,由牙龈黏膜覆盖,形成类似天然牙与牙龈的结合结构,避免直接暴露于口腔,这种“埋入式愈合”有利于种植体与骨组织形成稳定的“骨结合”(osseointegration),这是种植牙长期成功的关键,若植体长期暴露,可能破坏口腔黏膜的封闭性,增加细菌入侵风险,引发种植体周围炎、骨吸收等并发症,甚至导致种植失败。

在特定手术阶段,植体或其连接部件可能出现暂时性暴露,这属于正常现象:
- 非埋入式愈合:部分患者因骨条件良好或需即刻修复,手术时会安装“愈合基台”(连接种植体与牙龈的临时基台),此时基台会露出牙龈,引导牙龈形成自然形态,为后续牙冠佩戴做准备,这种暴露是暂时的,通常在3-6个月后更换为永久基台并戴牙冠,植体本身仍埋在骨内。
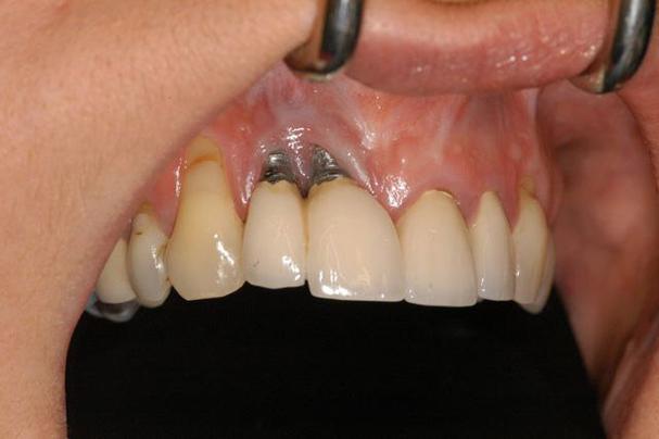
非正常暴露:植体或其部件意外穿透牙龈,需警惕
若在愈合期或戴牙冠后,种植体(非愈合基台)或其连接部意外穿透牙龈暴露,则属于异常情况,可能与以下因素相关:
| 植体暴露的可能原因 | 具体说明 |
|---|---|
| 骨量不足 | 牙槽骨厚度或高度不够,种植体植入后周围骨组织过薄,牙龈无法完全覆盖植体颈部。 |
| 手术创伤过大 | 术中剥离牙龈范围过大、损伤牙龈血供,或种植体植入时产热过高导致牙龈坏死。 |
| 种植体周围炎 | 口腔卫生不佳导致细菌滋生,引发牙龈炎症,破坏结合上皮,导致植体周围骨吸收和牙龈退缩。 |
| 种植体位置不佳 | 种植体植入角度或位置偏差,穿出骨皮质,导致牙龈薄弱处暴露。 |
| 负重过早 | 在骨结合未完成(通常需3-6个月)的情况下过早戴牙冠,咀嚼力导致牙龈破裂暴露。 |
异常暴露的后果不容忽视:暴露的植体表面易附着菌斑,形成感染灶,进而引发种植体周围炎,表现为牙龈红肿、出血、溢脓,长期发展会导致牙槽骨持续吸收,最终造成种植体松动、脱落。
植体暴露后的处理:根据程度选择方案
发现植体暴露后需及时复诊,医生会根据暴露范围、骨吸收程度及感染情况制定处理方案:

- 轻度暴露(小范围、无感染):若暴露面积小(<2mm),牙龈无明显炎症,可加强口腔清洁(如使用冲牙器、抗菌漱口水),密切观察骨结合进展,部分患者可能自行愈合。
- 中度暴露(伴感染、骨吸收):需进行清创术,去除感染肉芽组织,若骨吸收轻微,可配合引导骨再生术(GBR),植入骨粉促进骨组织再生,覆盖暴露的植体。
- 重度暴露(大面积骨吸收、种植体松动):若骨吸收严重导致种植体稳定性丧失,可能需先取出种植体,待牙槽骨愈合(3-6个月)后,评估骨条件后重新植入。
种植牙的植体本身不应长期暴露于口腔环境,正常愈合阶段可通过“愈合基台”实现暂时性暴露(为牙龈成形),但异常暴露多与骨量、感染或手术操作相关,需及时干预,患者在术后需严格遵循医嘱维护口腔卫生,定期复查,避免过早负重,以降低植体暴露风险,保障种植牙的长期使用效果。
相关问答FAQs
问题1:种植牙手术后2周,发现牙龈处有种植体露出,是不是失败了?
解答:不一定,术后早期(2-4周)可能因手术创伤导致牙龈轻微退缩,若暴露范围小(仅愈合基台露出,无红肿出血),属于正常现象,需加强口腔清洁,避免刺激牙龈;若暴露范围扩大、伴疼痛或脓液,则可能为感染或骨吸收,需及时复诊处理。
问题2:植体暴露后还能做骨再生保住吗?
解答:部分可以,若暴露范围小、骨吸收轻微,通过清创术联合引导骨再生术(GBR),即植入骨粉和生物膜,可促进骨组织再生,覆盖暴露的植体;但若骨吸收严重导致种植体稳定性丧失,则可能需取出种植体,待骨愈合后重新种植,早期发现并及时处理是保留种植体的关键。

