植牙作为一种常见的牙齿修复方式,通过将人工牙根(种植体)植入牙槽骨,再安装牙冠,恢复牙齿的咀嚼功能和美观,部分患者在植牙后可能会遇到牙根(即种植体)晃动的问题,这种情况不仅影响使用体验,还可能预示着种植体周围存在健康风险,本文将详细分析植牙后牙根晃动的原因、处理方法及预防措施,帮助患者正确认识和应对这一问题。
植牙后牙根晃动的原因较为复杂,涉及术前、术中及术后多个环节,从临床经验来看,常见原因主要包括以下几个方面:

一是手术相关的技术问题,种植体的成功依赖于与牙槽骨的骨结合(osseointegration),即种植体表面与骨组织形成直接的 structural connection,若术中种植体植入位置不佳,如靠近下颌神经管、上颌窦等重要解剖结构,为避免损伤,医生可能被迫选择骨质较薄或血供较差的区域,会影响骨结合效果;或种植体植入角度偏差过大,导致受力不均,长期咀嚼后可能出现松动,手术中若产热过多(如钻速过快、未充分冷却),可能损伤周围骨细胞,导致骨吸收,进而引发种植体松动。
二是术后愈合阶段的因素,骨结合通常需要3-6个月,此期间若患者过早使用种植体咀嚼硬物,或受到外力撞击,可能导致种植体与骨界面微动,干扰骨愈合,部分患者存在吸烟、糖尿病等基础疾病,会影响局部血液循环和骨代谢,延缓骨结合速度,甚至导致结合失败,术后口腔卫生维护不当,如种植体周围堆积牙菌斑和牙结石,可能引发种植体周围炎,炎症会破坏牙槽骨,导致种植体“失去支撑”而晃动。
三是种植体及修复材料的问题,虽然较少见,但种植体本身的质量缺陷(如纯度不足、表面处理不当)或修复体(牙冠)制作精度不够,如与种植体连接不紧密、咬合过高,可能导致种植体长期承受异常应力,逐渐松动,若修复体为全瓷冠或烤瓷冠,材料脆性较高,受到咬合力时可能破裂,间接影响种植体稳定性。
四是自然骨吸收的影响,即使植牙手术成功,随着年龄增长,牙槽骨仍可能发生生理性吸收,尤其是在种植体周围骨质条件原本较差的情况下,过度骨吸收会导致种植体“暴露”或松动,咬合习惯不良(如夜磨牙、偏侧咀嚼)会使种植体长期承受非正常侧向力,加速骨吸收和松动。

为更直观地理解植牙后牙根晃动的原因及对应表现,可参考下表:
| 常见原因 | 典型表现 | 处理原则 |
|---|---|---|
| 种植体周围炎 | 牙龈红肿、出血、溢脓,种植体轻微松动,可能伴随口臭 | 立即就医,进行种植体周围刮治、抗菌治疗,控制炎症 |
| 骨结合失败 | 种植体明显松动,无疼痛(早期)或伴疼痛(晚期),X线显示种植体周围透射影 | 根据松动程度,可能需取出种植体,待骨愈合后重新植入 |
| 咬合异常 | 咀嚼时种植体区疼痛,牙冠有高点,松动随咬合使用加重 | 调整咬合,降低牙冠高点,必要时重新制作修复体 |
| 外力撞击或过早负重 | 明确外伤史或过早啃硬物后出现松动,可能伴牙龈肿胀 | 避免使用患侧,及时复查,评估种植体稳定性,必要时固定 |
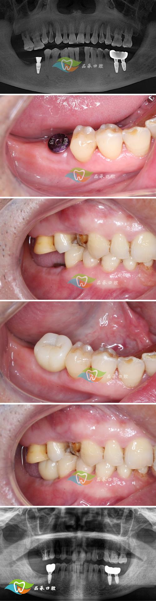
当发现植牙后牙根晃动时,患者需保持冷静,避免自行晃动或用力咀嚼,第一时间联系主治医生,医生会通过临床检查(如种植体动度测试、牙周探诊)及影像学检查(如X线片、CBCT)明确原因,并制定针对性处理方案。
紧急处理阶段,若晃动伴随明显疼痛或肿胀,可能是急性炎症或感染,需先控制症状,医生可能会开具抗生素(如阿莫西林、甲硝唑)和消炎药(如布洛芬),指导患者使用氯己定漱口水保持口腔卫生,避免刺激患区,若松动由咬合异常引起,医生会进行咬合调整,磨除牙冠上的高点,减少种植体承受的异常应力。
长期治疗阶段,需根据根本原因采取不同措施,对于种植体周围炎,除基础清洁外,可能需进行翻瓣手术,彻底清除种植体表面的菌斑和牙结石,必要时植骨以修复骨缺损;若骨结合失败且松动严重,种植体已无法保留,需手术取出,待3-6个月牙槽骨愈合后评估是否二次植牙,对于咬合习惯不良(如夜磨牙)患者,需佩戴咬合垫,保护种植体避免异常受力;若因骨吸收导致松动,且松动程度较轻,可通过植骨术增强骨支持,必要时更换更长的种植体以增加稳定性。

需要强调的是,植牙后牙根晃动的预后与发现和处理时机密切相关,早期发现(如轻微松动、无骨吸收)且及时干预,多数种植体可保留;若拖延至严重骨吸收或种植体明显移位,则可能面临种植体失败的风险,定期复查至关重要——植牙后第1年建议每3个月复查1次,之后每年至少复查1次,医生可通过专业检查及时发现潜在问题,避免小问题演变成大麻烦。
为降低植牙后牙根晃动的风险,术前、术中及术后均需做好充分准备和护理。术前评估是关键,医生需通过CBCT、全景片等检查评估牙槽骨的厚度、高度及密度,排除炎症、囊肿等病变;患者需如实告知医生自身健康状况(如糖尿病、骨质疏松、吸烟史),医生会判断是否适合植牙或需先控制基础疾病。术中操作需规范,选择经验丰富的医生,严格遵循无菌原则,控制钻速和冷却,确保种植体植入位置、角度合适,为骨结合创造良好条件。术后护理需到位,术后1周内避免用患侧咀嚼,避免食用过硬、过黏食物,保持口腔卫生(刷牙、使用牙线、冲牙器),戒烟限酒,遵医嘱服用抗生素和止痛药;骨结合期内避免剧烈运动和外力撞击,定期复查,确保种植体周围健康。
相关问答FAQs
Q1:植牙后牙根轻微晃动,但没有疼痛和出血,需要处理吗?
A:即使没有明显症状,轻微晃动也提示种植体稳定性可能存在问题,不可忽视,建议尽快复查,通过X线检查评估骨结合情况及种植体周围骨密度,若为早期骨结合不良或轻微咬合异常,及时干预(如调整咬合、补充营养)可避免松动加重;若放任不管,可能进展为种植体周围炎或骨结合失败,增加治疗难度。
Q2:植牙后牙根晃动,可以自行吃止痛药观察吗?
A:不建议自行用药观察,止痛药可暂时缓解疼痛,但无法解决晃动的根本原因(如炎症、骨吸收、咬合异常等),自行用药可能掩盖病情,延误最佳治疗时机,导致种植体最终失败,正确的做法是立即联系医生,进行专业检查明确病因,再根据医生建议采取针对性治疗,避免因小失大。
