种牙植骨粉后照片是记录治疗过程、评估恢复情况的重要依据,既能帮助医生动态观察骨结合与软组织愈合状态,也能让患者直观了解自身恢复进展,这类照片通常涵盖术后即刻、拆线时、术后3个月、6个月及1年等多个时间节点,每个阶段的照片重点不同,共同构成了完整的恢复轨迹。
种牙植骨粉后照片的拍摄时间节点与核心意义
植骨粉的目的是补充牙槽骨骨量,为种植体提供稳定的“生长基础”,而术后不同阶段,骨组织与软组织的愈合状态存在差异,因此照片的拍摄时机和观察重点也各有侧重。

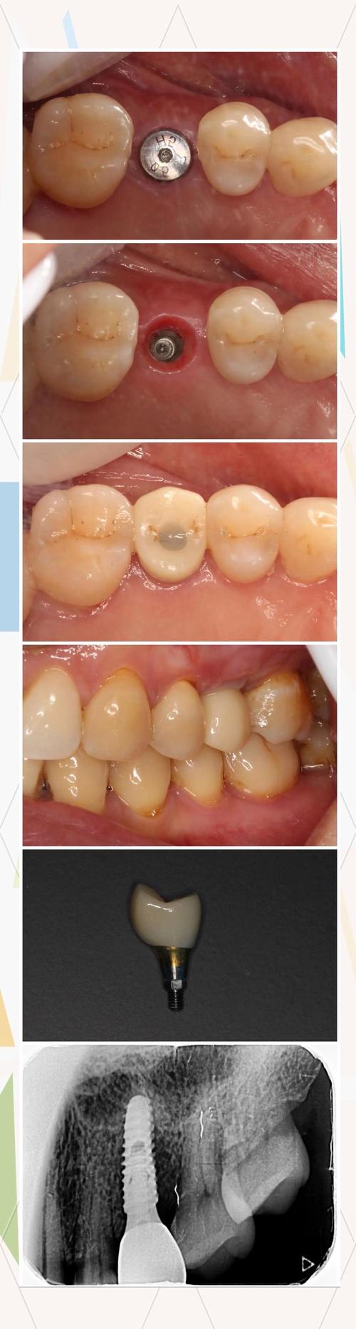
术后即刻(术后1-3天) 主要记录植骨区域的初始状态,包括植骨材料的填充范围、牙龈缝合情况、伤口渗血及肿胀程度。
核心意义:医生通过即刻照片确认植骨粉是否均匀覆盖骨缺损区域,缝合是否严密,避免植骨材料移位或渗漏,此时患者可能伴有轻微肿胀和渗血,照片可作为术后基线参考,对比后续恢复情况。
注意事项:拍摄时需避免触碰伤口,光线要均匀,清晰显示植骨区域与邻牙、牙龈的关系。
拆线时(术后7-14天) 重点观察伤口愈合情况,如牙龈黏膜是否连续、有无红肿渗液、缝线是否脱落、植骨区域表面形态是否平整。
核心意义:拆线标志着伤口初步愈合,此阶段照片可判断是否存在感染、植骨材料外露等风险,若牙龈颜色呈粉红色、无异常分泌物,说明愈合良好;若出现红肿、渗液或植骨材料暴露,可能需进行抗感染处理或调整治疗方案。
术后3个月 需结合口内照片与X光片(根尖片或CBCT),口内照片观察牙龈形态是否饱满、有无萎缩;X光片重点查看植骨区域骨密度是否均匀、种植体周围是否有透射影(提示骨结合不良)。
核心意义:3个月是植骨材料初步完成骨结合的关键时期,此时骨组织逐渐被新生骨替代,X光片上可见植骨区域与种植体界面模糊,密度接近自体骨;口内照片则显示牙龈色泽正常,无塌陷,为后续二期手术(安装愈合基台)提供依据。
术后6个月 口内照片关注牙龈乳头形态、种植体周围牙龈宽度及稳定性;X光片评估骨结合程度,测量种植体周围骨吸收情况(正常应<1.5mm)。
核心意义:6个月时种植体应达到稳定的骨结合,牙龈形态逐渐接近自然牙,此阶段照片可判断是否进入修复阶段(安装牙冠),若牙龈形态不佳(如牙龈乳头缺失),可能需进行牙龈修整;若X光片显示骨吸收明显,则需延长愈合时间或调整修复方案。

术后1年及 annually(每年复查) 口内照片观察牙冠与牙龈的协调性、咬合接触情况;X光片监测种植体周围骨密度及骨吸收进展。
核心意义:长期随访照片是评估种植体成功率的重要指标,正常情况下,种植体周围骨吸收应趋于稳定,每年<0.2mm;牙龈无红肿、退缩,牙冠无松动或崩裂,说明种植功能良好。
种牙植骨粉后照片的核心观察内容
无论是哪个时间节点的照片,医生和患者需重点关注以下细节,这些信息直接反映植骨效果与种植预后:
植骨区域形态变化
- 术后即刻:植骨粉应填充至预期骨高度,表面平整,与邻骨交界处无明显台阶(避免影响骨结合)。
- 术后3-6个月:植骨区域应逐渐饱满,无塌陷或吸收(若明显塌陷,提示骨量不足或植骨材料被吸收)。
- 术后1年:植骨区域与邻骨融为一体,牙龈覆盖良好,无“凹陷”或“凸起”畸形。
牙龈状态
- 颜色:正常牙龈呈粉红色,若出现发白(缺血)、发紫(淤血)或暗红(炎症),需警惕感染或血液循环不良。
- 形态:牙龈边缘应整齐,与种植体颈部贴合紧密,无“黑三角”(牙龈退缩导致);牙龈乳头(牙缝间的牙龈尖)应丰满,避免食物嵌塞。
- 质地:质地坚韧,若松软、易出血,提示牙龈炎症(如种植体周围炎)。
种植体稳定性
- 术后即刻:种植体无松动,植入方向与邻牙协调,不影响咬合。
- 术后3个月后:种植体完全稳定,轻晃无动度(可通过医生临床检查确认,照片上观察种植体与牙龈交界处无异常晃动痕迹)。
咬合与功能
- 术后6个月后:修复体(牙冠)与对颌牙咬合接触均匀,无早接触(过高点)或咬合干扰,避免种植体承受过大侧向力。
不同时间节点照片对比示例(表格)
| 时间节点 | 拍摄重点 | 正常表现 | 异常表现 |
|---|---|---|---|
| 术后即刻 | 植骨材料填充范围、缝合情况 | 植骨区域饱满,缝合严密,无渗血 | 植骨材料移位、渗血严重、缝合裂开 |
| 拆线时(7-14天) | 伤口愈合、牙龈颜色、渗液情况 | 黏膜连续,粉红色,无渗液 | 红肿、渗液、植骨材料暴露、缝线反应 |
| 术后3个月 | 牙龈形态、X光片骨结合情况 | 牙龈色泽正常,X光片骨密度均匀,界面模糊 | 牙龈萎缩,X光片透射影(骨结合不良) |
| 术后6个月 | 牙龈乳头、骨吸收量、咬合接触 | 牙龈乳头丰满,骨吸收<1.5mm,咬合均匀 | 牙龈乳头缺失,骨吸收>1.5mm,咬合高点 |
| 术后1年 | 长期稳定性、牙龈协调性 | 骨吸收稳定,牙龈自然,无功能异常 | 骨吸收持续增加,牙龈退缩,牙冠松动 |
拍摄与保存照片的注意事项
- 拍摄设备与方法:建议使用同一部手机,固定拍摄距离(如30cm)、角度(正面、45°侧面、咬合面),避免使用美颜滤镜,确保图像真实清晰。
- 拍摄时机:尽量在复诊时由医生拍摄专业照片,日常观察可在家拍摄,但需避免在饭后1小时内拍摄(防止食物残渣影响观察)。
- 保存方式:按时间顺序命名(如“2025-01-15术后即刻”“2025-04-15拆线时”),存储在手机或云端,复诊时提供给医生参考。
相关问答FAQs
Q1:植骨后照片是自己拍还是医生拍?自己拍需要注意什么?
A:医生会在复诊时拍摄专业照片,用于病历记录和治疗方案调整;患者也可自行拍摄日常恢复情况作为补充,自己拍摄时需注意:① 光线充足,避免阴影;② 固定手机位置(可用支架),确保每次拍摄角度一致;③ 清洁口腔后再拍,避免食物残渣遮挡;④ 重点拍摄植骨区域整体及局部细节(如牙龈缝线、植骨材料表面),若发现异常(如持续红肿、植骨区域塌陷),需及时就医,避免仅凭自行拍摄的照片判断病情。
Q2:医生看植骨后照片时,最关注哪些异常信号?
A:医生主要关注以下异常信号:① 牙龈红肿渗液:提示感染或种植体周围炎,需及时冲洗上药;② 植骨区域塌陷:可能意味着骨量不足或植骨材料被过度吸收,需评估是否需要二次植骨;③ X光片透射影:种植体周围出现透亮线,提示骨结合不良,可能延长愈合时间或调整种植体;④ 牙龈退缩或“黑三角”:影响美观和自洁,可能需进行牙龈修整;⑤ 咬合高点:导致种植体受力异常,需调改牙冠,若出现以上情况,需积极配合医生处理,避免影响种植体长期成功率。
