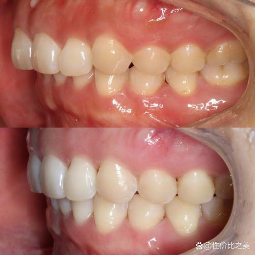
正畸下排牙齿太往里,在临床上常被称为“下前牙舌倾”,是指下颌前牙牙冠明显向舌侧倾斜,牙根可能偏向唇侧,导致牙齿排列异常,不仅影响美观,还可能对口腔功能及健康造成一系列问题,这种现象在正畸患者中并不少见,其成因复杂,处理需结合具体情况,下面将从原因、影响、解决方法及预防等方面展开详细分析。
下排牙齿太往里的常见原因
下前牙舌倾的形成往往是多因素作用的结果,可分为先天因素和后天因素两大类,先天因素中,遗传因素占重要地位,若父母存在牙列拥挤或牙齿舌倾倾向,子女出现类似问题的风险较高;颌骨发育异常如下颌骨发育不足或上颌骨发育过度,可能导致牙齿在骨内空间不足时代偿性向舌侧倾斜;牙齿本身形态异常,如牙冠过小、牙根过短或牙根弯曲,也会影响牙齿在牙槽骨内的稳定性,导致舌倾。

后天因素则更为多样,不良口腔习惯是主要诱因之一,长期吐舌、吐舌时舌尖抵住下前牙内侧,持续的力量会推动牙齿向舌侧移动;咬下唇、咬物习惯(如咬笔、咬指甲)也可能导致下唇肌肉对下前牙产生异常压力,引发舌倾;正畸治疗不当是另一重要原因,如既往矫正时拔牙位置选择错误、矫正力过大或方向不当,尤其在拔除上颌双尖牙后,若下颌未相应调整,可能导致下前牙代偿性舌倾;牙周支持组织破坏同样不可忽视,慢性牙周炎导致牙槽骨吸收,牙齿失去骨组织支撑,在咬合力作用下易发生移位,表现为舌倾。
下排牙齿太往里的影响
下前牙舌倾对口腔的影响远超“牙齿不整齐”的范畴,涉及美观、功能及健康多个层面,从美观角度看,下前牙舌倾会导致下唇丰满度下降,出现“瘪嘴”外观,微笑时下前牙暴露不足,笑容显得不自然;侧面观可能呈现“凹面型”,下颌后缩,面部立体感变差,尤其对追求侧颜美的人群影响显著。
功能方面,舌倾的下前牙与上前牙的咬合关系异常,可能导致咬合接触面积减小,咀嚼效率降低,食物研磨不充分,长期可能增加消化系统负担;发音功能也会受影响,如“s”“z”等齿音因牙齿位置异常而发音不清,俗称“大舌头”;更严重的是,长期咬合紊乱可能诱发颞下颌关节紊乱病(TMD),出现关节弹响、疼痛、张口受限等症状。
健康层面,舌倾牙齿与舌侧、相邻牙齿的间隙容易堆积食物残渣,且清洁难度大,易引发龋齿、牙龈炎、牙周炎等口腔疾病;长期咬合创伤可能导致牙槽骨进一步吸收,牙齿松动度增加,甚至脱落;舌倾牙齿可能挤压邻牙,导致牙列拥挤、错位,破坏整个牙列的稳定性。

下排牙齿太往里的解决方法
针对下前牙舌倾,治疗方案需根据舌倾程度、患者年龄、颌骨条件及牙周健康状况综合制定,核心目标是纠正牙齿倾斜度、恢复咬合功能及面部美观,以下是常见治疗方法:
轻度舌倾:单纯正畸矫正
对于牙轴舌倾程度较轻(舌倾角度<15°)、无明显牙列拥挤或颌骨发育异常的患者,可通过正畸治疗直接纠正牙齿位置。
- 固定矫正:采用方丝弓矫正器或直丝弓矫正器,通过镍钛圆丝排齐牙齿,再用不锈钢方丝配合“摇椅弓”或“唇向转矩”施加力量,将舌倾的下前牙逐步向唇侧移动,此方法能精确控制牙齿移动,适合伴有轻度拥挤或咬合紊乱的患者,但需注意调整力度,避免牙根吸收。
- 隐形矫正:如隐适美、时代天使等隐形牙套,通过3D打印技术设计每副牙套的移动方案,利用持续轻柔力量将牙齿唇向移动,隐形矫正美观舒适,可自行摘戴,便于清洁,适合对美观要求高、舌倾程度较轻的患者,但需严格佩戴(每天20小时以上),疗程可能略长。
中度舌倾:联合辅助治疗
当舌倾角度为15°-30°,伴轻度牙列拥挤或牙量略大于骨量时,需结合辅助治疗增加骨内空间。
- 邻面去釉(IPR):通过磨除少量下前牙邻面牙釉质(约0.25mm/颗),创造牙齿移动空间,避免因空间不足导致矫正后复发,此方法创伤小,无需拔牙,但需严格掌握适应证,确保去釉后牙齿仍有足够釉质支持。
- 微种植体支抗:在下颌骨内植入微种植体作为支抗,通过牵引装置直接施加唇向力于下前牙,纠正舌倾,微种植体支抗力量稳定,可独立控制牙齿移动,避免对其他牙齿的影响,尤其适合伴有后牙缺失或支抗不足的患者。
重度舌倾:正畸-正颌联合治疗
对于舌倾角度>30°、伴明显牙列拥挤、严重面部凹陷或存在颌骨发育异常(如下颌发育不足)的患者,单纯正畸效果有限,需联合正颌手术。

- 治疗流程:先通过正畸治疗将牙齿排列到理想位置(去代偿),再通过正颌手术(如下颌前徙术、上颌后退术)调整颌骨关系,从根本上改善面部轮廓及咬合功能,此方法创伤较大,疗程较长(通常需2-3年),但能彻底解决骨性问题,效果稳定。
辅助治疗:基础健康保障
无论采用何种矫正方式,治疗前需确保口腔健康:若存在牙周炎,需先进行牙周治疗(洁治、刮治),控制炎症后再开始正畸;若牙体缺损严重,矫正后可进行贴面或冠修复,改善牙齿形态及美观。
不同矫正方法的适用情况对比
为更直观展示各治疗方法的特点,可通过表格对比:
| 治疗方法 | 适用人群 | 优势 | 注意事项 |
|---|---|---|---|
| 固定矫正 | 轻中度舌倾,伴拥挤或咬合问题 | 精确控制牙轴移动,适合复杂病例 | 舒适度较低,需注意口腔卫生 |
| 隐形矫正 | 轻度舌倾,对美观要求高者 | 美观舒适,可自行摘戴 | 严重病例需延长疗程,配合附件 |
| 邻面去釉+正畸 | 中度舌倾,牙量略大于骨量者 | 避免拔牙,创伤小 | 需严格掌握去釉量,防龋 |
| 微种植体支抗 | 支抗不足或需独立移动牙齿者 | 力量稳定,移动精准 | 需手术植入微种植体,有感染风险 |
| 正畸-正颌联合 | 重度舌倾,伴颌骨发育异常者 | 根本性解决问题,改善面部美观 | 创伤大,费用高,需多学科协作 |
预防措施
下前牙舌倾的预防需从儿童期开始,重点在于纠正不良习惯及早期干预,儿童时期若发现吐舌、咬唇等习惯,可通过行为指导或佩戴矫治器(如 habit breaker)纠正;青少年正畸治疗时,需选择正规机构制定合理方案,避免过度拔牙或矫正力不当;矫正后必须严格佩戴保持器(通常建议夜间佩戴至少2年),防止复发;日常生活中注意口腔卫生,定期洗牙(每年1-2次),避免牙周疾病,维护牙齿稳定。
相关问答FAQs
问题1:下排牙齿太往里不治疗会有什么后果?
解答:若不及时治疗,后果会随时间推移逐渐加重,美观上,下唇丰满度持续下降,面部凹陷更明显,影响个人形象及心理健康;功能上,咀嚼效率降低可能导致消化问题,发音不清影响社交,颞下颌关节紊乱可能引发疼痛、张口受限;健康方面,清洁困难易引发龋齿、牙周炎,严重时导致牙槽骨吸收、牙齿松动甚至脱落,邻牙也可能被挤压移位,增加后续治疗难度和费用。
问题2:成年人下排牙齿太往里矫正难度大吗?需要多久?
解答:成年人矫正难度相对青少年略高,但并非不可解决,难点在于颌骨已停止发育,无法通过生长引导改善,且部分人可能存在牙周问题,需先控制炎症;牙槽骨改建速度较慢,矫正周期可能延长,随着微种植体支抗、自锁托槽等技术发展,成人矫正已非常成熟,矫正时间因人而异:轻度病例通常需1-1.5年,中重度可能需2-3年(若需联合正颌手术,周期更长),关键在于选择经验丰富的医生,制定个性化方案,并严格配合治疗(如保持口腔卫生、定期复诊),以确保效果稳定。
