拜博口腔网

  • 矫正牙齿的斜导是什么?能解决哪些咬合问题?

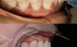
    矫正牙齿的斜导是什么?能解决哪些咬合问题?

    矫正牙齿的斜导是正畸治疗中一种常用的辅助装置,主要用于调整咬合关系、纠正颌骨位置异常及改善面部功能与美观,它通过特定的引导方式,帮助牙齿在移动过程中达到理想的咬合状态,尤其适用于存在咬合干扰、下颌后缩或前牙反颌等问题的患者,斜导的设计与应用...

    2026-01-24
    46 0 0
  • 矫正牙齿中线不齐

    矫正牙齿中线不齐

    牙齿中线不齐是指牙齿排列时,上颌或下颌的中切牙(门牙)连线与面部中线(通常指鼻尖、人中下唇缘的连线)不一致,或上下颌牙齿中线相互错位的现象,这种异常不仅影响面部美观,还可能伴随咬合功能障碍,是正畸治疗中常见的矫正目标之一,牙齿中线不齐的常见...

    2026-01-24
    62 0 0
  • 矫正牙齿嘴巴突出是什么原因?该如何有效改善?

    矫正牙齿嘴巴突出是什么原因?该如何有效改善?

    嘴巴突出(俗称“凸嘴”)是常见的口腔颌面问题,不仅影响面部美观,还可能伴随咀嚼效率低、发音不清、咬合创伤等问题,牙齿矫正作为核心改善手段,通过调整牙齿位置、引导颌骨发育或配合外科手术,能有效解决多数嘴巴突出困扰,本文将从嘴巴突出的成因、矫正...

    2026-01-24
    42 0 0
  • 牙齿双颌前突矫正

    牙齿双颌前突矫正

    牙齿双颌前突是指上下颌牙齿及牙槽骨同时向前突出,导致嘴唇无法自然闭合,微笑时牙龈暴露过多,侧面观呈现“凸面型”的面部轮廓,这种畸形不仅影响美观,还可能导致咬合功能异常、发音不清、牙周组织健康受损等问题,是正畸临床中常见的复杂病例之一,近年来...

    2026-01-22
    27 0 0
  • 地中海贫血患者牙齿畸形矫正有哪些特殊考量?

    地中海贫血患者牙齿畸形矫正有哪些特殊考量?

    地中海贫血(简称地贫)是一种遗传性溶血性贫血,由于珠蛋白肽链合成障碍导致红细胞寿命缩短,患者常需长期输血维持生命,而慢性贫血、铁过载及骨骼代偿性增生等问题,可能引发颌骨发育异常和牙齿畸形,影响咀嚼功能及面部美观,地贫患者的牙齿畸形矫正需结合...

    2026-01-22
    21 0 0
  • 没有磨牙矫正牙齿

    没有磨牙矫正牙齿

    牙齿矫正已成为改善口腔健康与美观的常见选择,但“磨牙”一词常让求美者顾虑重重——担心磨除牙釉质会损伤牙齿、引发敏感,甚至影响长期使用,随着矫正技术的发展,“不磨牙矫正”已成为现实,其核心是在保障牙齿健康的前提下,通过生物力学原理和精准方案实...

    2026-01-21
    159 0 0
  • 牙齿突出来怎么矫正?有哪些有效矫正方法?

    牙齿突出来怎么矫正?有哪些有效矫正方法?

    牙齿突出,医学上常称为“龅牙”或“前牙深覆盖”,是指上下颌牙齿在自然咬合状态下,上前牙过度向前突出,或上下颌骨发育异常导致的面部前突,这不仅影响面部美观,还可能导致咬合功能障碍(如咀嚼效率低、颞下颌关节紊乱)、口腔清洁困难(增加龀病和牙周病...

    2026-01-21
    68 0 0
  • 牙齿向前突出怎么矫正?有哪些科学方法?

    牙齿向前突出怎么矫正?有哪些科学方法?

    牙齿向前突出,俗称“龅牙”,不仅影响面部美观,还可能导致咬合功能异常、发音问题,甚至引发自卑等心理压力,矫正牙齿前突需根据具体原因(如牙性前突、骨性前突、功能性前突等)、患者年龄及严重程度制定个性化方案,以下是常见的矫正方法及注意事项,牙齿...

    2026-01-18
    49 0 0
  • 牙齿咬合不齐怎么矫正?有哪些科学方法?

    牙齿咬合不齐怎么矫正?有哪些科学方法?

    牙齿咬合不齐是指牙齿排列不整齐、上下牙弓咬合关系异常,表现为牙齿拥挤、稀疏、龅牙、地包天、深覆合、深覆盖等多种情况,这不仅影响面部美观,还可能导致咀嚼功能下降、食物嵌塞、龋齿、牙周病,甚至颞下颌关节紊乱等问题,及时矫正咬合不齐对口腔健康和生...

    2026-01-18
    32 0 0
  • 牙齿重叠错位怎么矫正?有哪些有效方法推荐?

    牙齿重叠错位怎么矫正?有哪些有效方法推荐?

    牙齿重叠错位是常见的牙齿畸形,表现为牙齿排列不齐、互相重叠、扭转或错位,不仅影响面部美观,还可能引发咀嚼功能障碍、口腔清洁困难、龋齿及牙周病风险增加等问题,其成因多样,包括遗传因素(父母牙齿排列异常可能遗传给子女)、替牙期障碍(乳牙早失、滞...

    2026-01-18
    36 0 0