前牙位于口腔前部,承担切割食物、辅助发音及维持面部美观的重要功能,一旦缺失,不仅会影响日常饮食,更可能导致患者出现社交障碍、心理压力增大等问题,传统种植牙治疗需经历拔牙后3-6个月的骨愈合期,漫长的等待期让许多患者难以接受,而即刻植牙技术通过在拔牙同期植入种植体,大幅缩短治疗周期,尤其适用于前牙缺失患者,成为兼顾功能与美学的优选方案。
即刻植牙的定义与前牙应用的特殊性
即刻植牙是指在新鲜拔牙窝内同期植入种植体,利用拔牙窝周围的骨壁、牙周膜细胞及牙龈组织的生物活性,实现种植体与骨组织的早期结合,与前牙相关的即刻植牙,更强调美学效果的即刻恢复——通过临时修复体维持牙龈乳头形态和轮廓,避免“缺牙期”导致的牙龈萎缩、骨吸收及面部塌陷,让患者在拔牙后即可获得接近自然牙的外观和基本功能。

前牙区域对美学要求极高,其解剖结构特殊:牙根呈锥形,唇侧骨板较薄(通常1-2mm),牙龈乳头丰富且形态敏感,这些特点使得即刻植牙在前牙区的操作难度高于后牙,但也凸显了其临床价值:快速修复缺牙间隙,减少患者心理负担,同时利用拔牙窝的天然解剖结构,为长期稳定的美学效果奠定基础。
即刻植牙的核心优势
与传统延期种植相比,即刻植牙在前牙修复中具有显著优势:
缩短治疗周期,减少就诊次数
传统种植需经历“拔牙-愈合-种植-骨结合-修复”5个阶段,总耗时约4-6个月;即刻植牙将拔牙与种植手术合并,术后即可佩戴临时修复体,治疗周期缩短至2-3个月,且减少了1次手术操作,尤其适合对美观需求迫切的前牙缺失患者。
维持骨量与牙龈形态,降低美学风险
新鲜拔牙窝内的骨壁含有丰富的生长因子和活性细胞,同期植入种植体可刺激骨组织再生,防止拔牙后牙槽骨因缺乏功能性刺激而吸收(唇侧骨吸收可达2-3mm),临时修复体可填充拔牙间隙,维持牙龈乳头的原有高度和轮廓,避免牙龈退缩导致的“黑三角”或“塌陷”问题,为永久修复提供理想的美学基础。
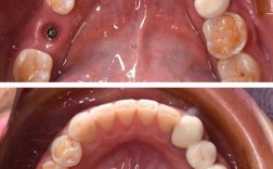
即刻恢复功能与美观,提升生活质量
前牙缺失直接影响患者发音、微笑及社交自信,即刻植牙术后24小时内即可佩戴临时牙冠,基本恢复前牙的切割功能和自然外观,患者无需经历“缺牙期”,快速回归正常生活。
前牙即刻植牙的适应症与禁忌症
并非所有前牙缺失患者都适合即刻植牙,需严格筛选适应症,降低失败风险:
适应症
- 新鲜拔牙窝:前牙因外伤、根管治疗失败或严重龋坏需拔除,拔牙后30分钟内(骨壁未开始吸收)为最佳时机;
- 骨量充足:唇侧骨板厚度≥2mm,高度≥种植体长度+1mm(如种植体长度10mm,需骨高度≥11mm);
- 牙龈健康:牙龈无炎症,牙龈乳头形态完整,无牙周病病史;
- 全身状况良好:无未控制的糖尿病(糖化血红蛋白<7%)、骨质疏松、免疫性疾病等影响骨愈合的全身因素。
禁忌症
- 急性根尖周炎或牙周脓肿:感染可能扩散至种植体,导致骨结合失败;
- 骨量严重不足:唇侧骨板缺损或牙槽骨高度不足,需大量植骨,无法实现即刻种植;
- 吸烟者:吸烟会降低骨细胞活性,增加种植体周围炎风险,需严格戒烟或谨慎选择;
- 咬合异常:如夜磨牙、深覆𬌗等,可能影响种植体初期稳定性。
前牙即刻植牙的技术流程
前牙即刻植牙需精细化的操作流程,结合数字化技术提升精度和美学效果,具体步骤如下:
术前评估与设计
- 影像学检查:通过CBCT评估骨量、邻牙位置、下颌神经管及上颌窦位置,测量拔牙窝的直径、深度和唇侧骨板厚度;
- 口内检查:记录牙龈厚度(用牙周探针或超声骨刀测量)、牙龈乳头高度、笑线类型(高位/中位/低位)及邻牙形态、颜色;
- 数字化设计:利用口扫获取牙列数据,结合CBCT设计种植体植入位点、角度(通常与邻牙长轴一致,避免唇侧穿孔)及临时修复体形态,确保美学效果。
微创拔牙与种植体植入
- 微创拔牙:使用微创拔牙器械(如挺子、超声骨刀),尽量保留唇侧骨板的完整性,避免暴力操作导致骨裂;
- 种植窝预备:根据数字化导板方向,逐级备洞,注意控制温度(<47℃),避免骨灼伤;
- 植入种植体:选择直径≥3.5mm、长度≥10mm的亲水性表面种植体(如Straumann SLActive、NobelActive),确保初期稳定性≥35Ncm(用扭矩扳手检测),种植体顶端应位于牙槽嵴下1-2mm,为临时修复体留出空间。
骨增量与软组织处理(必要时)
若唇侧骨板厚度<2mm或存在缺损,可联合引导骨再生技术(GBR):植入骨粉(如Bio-Oss)覆盖骨缺损区,覆盖可吸收生物膜(如CollaTape),防止软组织长入,促进骨再生,牙龈需无张力缝合,避免血供不足导致坏死。
临时修复体制作与戴入
- 取模:若种植体初期稳定,可即刻取模(使用硅橡胶或树脂类材料);若稳定性不足,可延迟3-7天取模;
- 制作临时冠:在技工室制作树脂临时冠,形态、颜色尽量与邻牙一致,穿龈部分模拟自然牙龈轮廓,避免压迫牙龈;
- 戴入与调𬌗:临时冠粘接后,调整咬合,确保无早接触、无干扰,避免种植体承受过大咬合力。
术后护理与复查
- 医嘱:术后24小时不刷牙,用温盐水漱口,避免患侧咀嚼,禁食过硬、过热食物;
- 药物:预防性使用抗生素(如阿莫西林)3-5天,必要时使用非甾体抗炎药缓解疼痛;
- 复查:术后1周拆线,3个月复查骨结合情况(通过CBCT观察种植体周围骨密度),6个月行永久修复。
前牙即刻植牙的风险与应对策略
尽管即刻植牙优势显著,但仍存在一定风险,需提前预防和处理:
种植体初期稳定性不足
原因:拔牙窝过大、骨量不足或植入角度偏差。
应对:选择短而宽的种植体(如直径4.5mm、长度8mm),或进行骨挤压术(用骨挤压器预备种植窝),增强初期稳定性;若稳定性<20Ncm,建议延期种植。
感染与种植体周围炎
原因:手术污染、术后口腔卫生不佳或临时冠边缘不密合。
应对:严格无菌操作,术后强化口腔卫生指导(使用含氯己定的漱口水);若出现红肿、溢脓,需及时拆除临时冠,进行清创和抗感染治疗。
美学效果不佳
原因:牙龈萎缩、临时冠形态异常或颜色不匹配。
应对:术前数字化模拟临时冠形态,个性化基台适配牙龈轮廓;永久修复时通过比色(VITA比色板)、堆瓷技术确保颜色与邻牙协调,必要时进行牙龈成形术调整牙龈形态。
前牙即刻植牙的长期维护
即刻植牙的长期成功需患者与医生共同维护:
- 口腔卫生:使用巴氏刷牙法,配合牙线、冲牙器清洁种植体周围,避免种植体周围炎;
- 定期复查:永久修复后每半年复查1次,检查种植体稳定性、牙龈状况及咬合关系;
- 避免不良习惯:如咬硬物、夜磨牙(需佩戴夜磨牙垫),防止种植体机械性损伤。
相关问答FAQs
Q1:前牙即刻植牙后能马上吃东西吗?
A:即刻植牙术后2小时内可进食流质食物(如牛奶、粥),24小时内避免患侧咀嚼,1周内避免过硬、过黏食物(如坚果、口香糖),以免影响种植体初期稳定性,临时修复体仅为临时性,不可用于咀嚼硬物,3个月后需更换为永久修复体。
Q2:前牙即刻植牙会比传统种植更容易失败吗?
A:在严格适应症选择和规范操作下,即刻植牙的成功率与传统种植相当(95%以上),但即刻植牙对骨量、初期稳定性和手术技术要求更高,若存在骨量严重不足、感染或吸烟等风险因素,失败风险可能增加,术前需进行全面评估,术后严格遵医嘱护理,以保障长期效果。
