下切牙位于下颌前牙区,是口腔中重要的功能性和美学性牙齿,主要负责切割食物、辅助发音以及维持面部美观,当下切牙因外伤、龋坏、牙周病等原因缺失后,不仅会影响咀嚼效率,还可能导致邻牙倾斜、对颌牙伸长,甚至改变面部曲线,种植牙是目前修复下切牙缺失的理想方式之一,其具有接近天然牙的功能与美观,且不损伤邻牙,以下将从种植前评估、种植流程、特殊考量及术后维护等方面详细阐述下切牙缺失的种植修复要点。
种植前全面评估:确保种植成功的基础
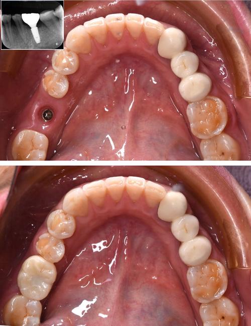
下切牙区域解剖结构特殊,牙槽骨厚度较薄(尤其是唇侧骨板),且靠近颏神经、颏孔等重要解剖结构,因此种植前的系统评估是关键。

口腔临床检查
医生需详细检查缺失区的软硬组织条件:观察牙龈形态、厚度及有无炎症,评估缺牙间隙大小(需与对颌牙及邻牙保持足够间隙,避免种植体过小或过大影响咬合),检查咬合关系(有无深覆牙合、深覆盖等异常,避免种植体承受过大咬合力)。
影像学检查
CBCT(锥形束CT)是下切牙种植必不可少的检查工具,可清晰显示牙槽骨的骨量(高度、厚度)、骨密度,以及颏神经、颏孔的位置(下颌颏孔通常位于第一、二前磨牙根尖下方,距下颌下缘约1cm,下切牙种植时需避免损伤颏神经,导致下唇麻木),若CBCT显示骨量不足(唇侧骨厚度<1mm或骨高度<8mm),需先进行植骨术(如引导骨再生术GBR、骨劈开术等),待骨量充足后再种植。
全身健康评估
种植手术虽为微创操作,但对患者全身状况有一定要求,未控制的糖尿病(糖化血红蛋白>7%)、严重骨质疏松、长期服用抗凝药物(如华法林)、放疗史等患者,需先控制基础疾病或调整用药,待身体条件稳定后再评估种植可行性。
术前评估表格
| 检查项目 | 目的 | 意义 |
|---|---|---|
| 口腔临床检查 | 评估软硬组织条件、缺牙间隙、咬合关系 | 判断是否适合直接种植,或需先进行牙周治疗、间隙调整 |
| CBCT检查 | 测量骨量、骨密度,定位颏神经、颏孔 | 避免损伤解剖结构,确定种植体植入位置、角度及长度 |
| 全身健康评估 | 排除种植禁忌症(如未控制糖尿病、严重系统性疾病) | 降低手术风险,提高种植体存活率 |
下切牙种植流程:从手术到修复的完整步骤
下切牙种植通常分为四个阶段,总时长约3-6个月(具体时间取决于骨结合情况及是否植骨)。

术前准备与种植体植入
- 消毒与麻醉:术区常规消毒,局部浸润麻醉或阻滞麻醉(如下牙槽神经阻滞麻醉+局部浸润),确保手术无痛。
- 切口与翻瓣:在缺牙区唇侧做梯形切口,翻开黏骨膜瓣,充分暴露牙槽骨。
- 备洞与植入:根据CBCT引导,使用种植机逐级备洞,控制转速(<2000rpm)和冷却,避免产热损伤骨组织,将种植体(通常选择直径3.3-4.0mm、长度10-12mm的窄径种植体,适应下切牙区骨量)植入牙槽骨,植入方向需与邻牙长轴平行,唇侧骨板至少保留1mm厚度,避免穿出骨壁。
- 缝合:将黏骨膜瓣复位,缝合伤口,术后7天拆线。
骨结合期
种植体植入后,需与牙槽骨进行“骨结合”(osseointegration),即种植体表面与骨组织直接结合,形成稳定的生物学固定,下切牙区血供相对丰富,骨结合时间一般为3-4个月(若植骨则需4-6个月),期间需避免种植体承受任何咬合力,定期复查(术后1、3、6个月),通过X线检查骨结合情况。
修复阶段
- 基台安装:确认骨结合完成后,再次切开牙龈,安装愈合基台,引导牙龈形成良好的袖口形态(约2周)。
- 牙冠制作与戴牙:取模后,技师根据邻牙形态、颜色制作全瓷牙冠(如氧化锆、玻璃陶瓷,兼顾美观与强度),试戴调整咬合(确保无早接触、干扰)后粘固,完成最终修复。
下切牙种植的特殊考量:美观与功能的平衡
下切牙位于“微笑线”区域,美观要求极高,且咬合受力复杂,需特别注意以下几点:
美学修复要点
- 牙冠形态与颜色:牙冠需模拟天然牙的“切缘、唇面、邻面”形态,避免“过白”或“过方”;颜色应与邻牙协调,可通过比色板(如VITA比色板)在自然光下比色,必要时结合荧光效果,确保与邻牙色泽一致。
- 牙龈美学:种植体周围牙龈应呈粉红色、质地坚韧,无萎缩或增生,若唇侧骨板较薄,可能导致牙龈萎缩(“黑三角”),可在种植时采用“骨增量技术”(如胶原膜、骨粉填充),或选择“平台转移”设计的种植体(减少边缘骨吸收)。
咬合调整
下切牙切割食物时承受剪切力,种植体咬合力过大可能导致骨吸收或松动,需通过咬合纸调整咬合,确保种植体在正中牙合、前伸牙合、侧方牙合时均无早接触,避免创伤性咬合力。
骨量不足的处理
下切牙区唇侧骨板较薄,易因种植体穿出或术后骨吸收导致美学问题,若CBCT显示唇侧骨厚度<1mm,可采用:

- 植骨术:术中植入自体骨(如颏部、外斜线骨)或人工骨(如Bio-Oss),覆盖可吸收胶原膜,引导骨再生;
- 即刻种植:对于新鲜拔牙窝(无急性感染、骨壁完整),可拔牙后立即植入种植体,结合骨增量技术,缩短治疗周期。
术后维护与风险预防:延长种植体使用寿命
种植牙虽为“人工牙”,但并非“一劳永逸”,需科学维护以避免并发症。
术后维护要点
- 口腔卫生:使用软毛牙刷、牙线、冲牙器清洁种植体周围,尤其邻面和牙龈缘,避免种植体周围炎(主要导致种植失败)。
- 饮食禁忌:术后1周内避免过硬、过热食物,骨结合期避免用种植牙咀嚼硬物(如坚果、螃蟹壳)。
- 定期复查:戴牙后每6个月复查1次,检查种植体稳定性、牙龈健康、咬合情况,每年拍摄1次X线片,观察骨吸收情况。
常见风险及预防
- 种植体周围炎:最常见并发症,由菌斑堆积导致,表现为牙龈红肿、出血、溢脓,骨吸收,预防:加强口腔卫生,定期洁治(超声洁治需避免损伤种植体表面)。
- 神经损伤:若种植体植入过深或位置偏斜,可能损伤颏神经,导致下唇麻木,预防:术前CBCT精准定位,术中控制种植体长度和角度。
- 种植体松动:多由咬合力过大、骨结合不良或感染导致,预防:避免咬硬物,控制全身疾病,术后遵医嘱用药。
相关问答FAQs
Q1:下切牙种植牙能用多久?会影响邻牙吗?
A:下切牙种植牙的使用寿命与多种因素相关:若患者口腔卫生良好、无全身疾病、咬合正常,种植体可使用10-20年以上,甚至终身,种植牙不损伤邻牙( unlike 活动假牙或固定桥无需磨除邻牙),且能维持牙槽骨量,避免邻牙倾斜和对颌牙伸长,对邻牙具有保护作用。
Q2:下切牙种植后牙齿发黑是什么原因?怎么办?
A:下切牙种植后牙冠发黑可能由以下原因导致:①牙冠边缘密合度差,导致食物残渣和色素渗入,刺激牙龈萎缩,暴露黑色的种植体基台;②牙冠材料为金属基底烤瓷冠,金属边缘氧化后透过牙龈呈现“灰线”;③牙龈萎缩导致种植体颈部暴露,处理方法:及时复查,医生会检查牙冠边缘和牙龈状况,若为边缘问题需重新制作牙冠(建议选择全瓷冠避免金属黑线);若为牙龈萎缩严重,需进行牙周治疗或牙龈移植术。
