口腔直丝弓正畸技术作为现代正畸领域的核心方法之一,以其高效、精准的特点广泛应用于各类错颌畸形的矫正,随着数字化医疗的发展,相关教学视频、病例展示视频等资源逐渐成为正畸医生、医学生及患者了解该技术的重要途径,这类视频通过直观的视觉呈现,系统化地展示了直丝弓技术的理论基础、操作细节及临床效果,为不同受众提供了便捷的学习与沟通工具。
直丝弓正畸技术的核心原理与视频价值
直丝弓矫治技术(Straight Wire Appliance, SWA)由美国正畸学家Andrew J. Stones等人在传统方丝弓技术基础上改良发展而来,其核心在于通过预成弓丝与标准托槽的设计,实现牙齿在三维空间上的精确移动,减少临床弯制弓丝的操作步骤,提升矫治效率,与传统方丝弓相比,直丝弓技术的托槽槽沟包含牙齿冠部的近远中倾斜、唇舌向倾斜及旋转角度等六维度生理数据,当弓丝入槽后,可自动产生矫治力,引导牙齿沿预设位置移动。

口腔直丝弓正畸视频的价值在于将抽象的理论知识转化为动态的可视化内容,对于正畸医生而言,视频可展示托槽定位、弓丝选择、结扎技巧等实操细节,帮助年轻医生快速掌握技术要点;对于医学生,视频是衔接理论与临床的桥梁,通过观察病例全程,理解生物力学原理在真实病例中的应用;对于患者,视频则能直观呈现矫治流程、预期效果及可能的风险,增强治疗依从性。
直丝弓正畸视频的关键内容模块
优质的口腔直丝弓正畸视频通常涵盖以下核心模块,确保内容的系统性与实用性:
基础理论与设备介绍
视频开篇需简明阐述直丝弓技术的核心原理,包括托槽的设计理念(如MBT直丝弓托槽的转矩、轴倾角参数)、弓丝的材料特性(如镍钛圆丝、不锈钢方丝的作用阶段)及辅助工具(如结扎丝、牵引钩、摇椅弓等),通过动画或实物展示,让观众理解不同部件的功能,例如镍钛圆丝的持续轻力、不锈钢方丝的精细调整作用等。
临床操作步骤演示
这是视频的核心部分,需按临床流程分步骤详解:

- 术前准备:包括口腔检查、模型分析、X线头影测量、方案设计等,强调数字化工具(如口扫、CBCT)在方案制定中的应用。
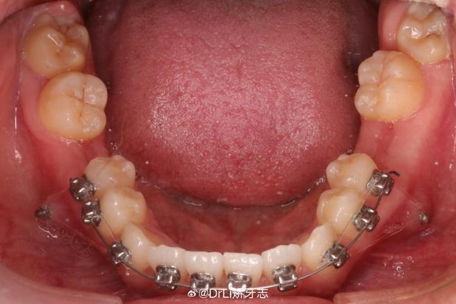
- 托槽粘接:演示托槽定位的关键标志点(如上颌中切牙切缘中点、下颌第一磨牙颊面管中心),结合口内视频展示酸蚀、涂粘接剂、放置托槽的细节,强调定位精度对矫治效果的影响。
- 弓丝更换与调整:从初始的镍钛圆丝开始,逐步展示更换为方丝、添加转矩、关闭间隙等操作,重点讲解弓丝入槽后的牙齿移动规律,如“滑动法关闭间隙”的力学原理。
- 精细调整与保持:矫治后期的颌间牵引、垂直向调整,以及保持器的佩戴方法,确保长期稳定性。
典型病例全程展示
通过完整病例(如牙列拥挤、深覆颌、反颌等),从初诊、方案设计、治疗过程到保持期跟踪,呈现直丝弓技术的应用效果,病例中需标注关键时间节点(如每3-4个月的复诊调整),对比治疗前后模型、面型及X线片,突出技术优势。
并发症处理与注意事项
视频需客观呈现常见问题及解决方法,如托槽脱落的应急处理、疼痛管理、牙根吸收的预防等,帮助医生规避风险,提升临床应变能力。
不同受众对视频的需求差异
口腔直丝弓正畸视频的受众可分为专业群体(医生、医学生)与非专业群体(患者、家属),其关注点存在显著差异,具体如下:
| 受众类型 | 视频形式偏好 | |
|---|---|---|
| 正畸医生 | 复杂病例处理技巧、疑难问题解决方案、新技术(如自锁托槽、隐形矫治联合应用) | 高清操作特写、专家解析、病例对比 |
| 医学生 | 基础理论、标准化操作流程、生物力学原理 | 动画演示+实操结合、分步骤讲解 |
| 患者/家属 | 治疗流程、疼痛感受、时间周期、费用、效果预期 | 通俗语言、患者视角、案例前后对比 |
视频制作的技术要点与质量把控
为提升视频的实用性与传播力,制作时需注重以下技术细节:

- 画面清晰度:采用4K分辨率摄像设备,配合口腔内窥镜镜头,确保托槽定位、弓丝细节等关键操作清晰可见;
- 真实性:以临床实拍为主,避免过度美化,客观呈现治疗中的正常反应(如初期酸胀感);
- 互动性:可添加字幕标注关键步骤、插入问答环节(如“为什么需要更换弓丝?”),增强观众参与感;
- 专业性:由资深正畸医生审核内容,确保理论准确、操作规范,避免误导。
临床应用中的注意事项
需强调的是,直丝弓正畸视频是辅助学习与沟通的工具,无法替代临床医生的个性化诊断与操作,正畸治疗需结合患者的口腔状况、骨骼条件、生长发育等因素制定方案,视频中展示的标准化流程仅作参考,实际操作中需灵活调整,患者观看视频后应与主治医生充分沟通,避免自行判断或模仿操作,以免造成不良后果。
相关问答FAQs
Q1:口腔直丝弓正畸视频适合哪些人群观看?
A1:口腔直丝弓正畸视频的受众广泛,正畸医生可通过视频学习技术细节、疑难病例处理;医学生能通过视频建立理论与实践的联系,掌握标准化操作流程;患者及家属则可了解治疗流程、预期效果及注意事项,缓解对正畸的焦虑,口腔医学教育者也可将视频作为教学素材,提升教学质量。
Q2:观看直丝弓正畸视频能完全掌握操作技术吗?
A2:不能完全掌握,视频虽能直观展示操作步骤,但正畸技术是高度依赖经验与手感的实践性学科,托槽定位的细微偏差、弓丝弯制的手感控制、患者个体差异的应对等,均需通过临床实操积累经验,建议初学者在观看视频后,在导师指导下进行模型操作、动物实验等模拟训练,逐步过渡到临床实践,避免直接在患者身上尝试。
