虎牙,学名尖牙,是口腔中牙根最长、最粗壮的牙齿,位于口腔口角两侧,在牙弓中起到支撑口角、维持面部丰满度的作用,但当虎牙因牙列拥挤、萌出空间不足或颌骨发育异常等问题出现错位、扭转或过度突出时,不仅会影响面部美观,还可能造成咬合紊乱、口腔清洁困难等问题,此时正畸治疗中常需要通过拔除虎牙来为其他牙齿的排齐创造空间,拔除一颗虎牙进行正畸,是一个需要专业评估、精细操作和长期维护的系统过程,涉及术前检查、拔牙操作、正畸治疗及术后维护等多个环节,其最终目标是实现牙齿排列整齐、咬合功能稳定及面部美观协调。
拔虎牙正畸的常见原因与适用情况
并非所有突出的虎牙都需要拔除,正畸医生会结合患者的具体情况进行综合判断,常见的拔虎牙正畸适应症包括:

牙列严重拥挤
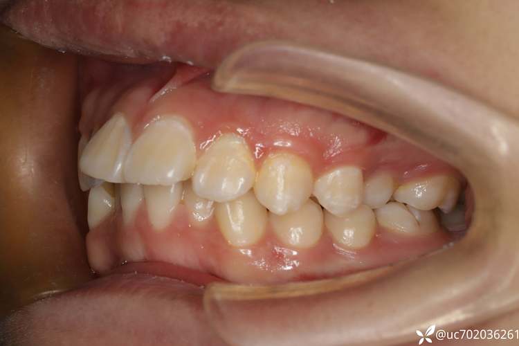
当颌骨空间不足,牙齿无法在牙弓内正常排列时,会导致牙齿拥挤、重叠,虎牙作为牙弓中较晚萌出的牙齿,常因“无位可去”而唇向突出,此时拔除一颗虎牙,可释放约7-10mm的间隙,为拥挤的牙齿提供排齐空间,避免“排齐后仍拥挤”或“过度磨改牙齿”的损伤。
牙齿前突(龅牙)
部分患者因上颌骨发育过度或下颌骨发育不足,导致牙齿整体向前突出,表现为“凸嘴”畸形,拔除一颗虎牙(通常为上颌虎牙)后,通过内收前牙,可改善牙齿前突程度,协调面部侧貌,使唇部丰满度更自然。
咬合紊乱与功能问题
虎牙错位可能导致咬合时早接触、干扰,甚至引起颞下颌关节紊乱(如张口弹响、疼痛),拔除虎牙后,通过调整牙齿位置,可建立稳定的咬合关系,改善咀嚼功能,避免长期咬合异常对口腔健康的损害。
虎牙本身病变或位置异常
若虎牙因外伤、龋坏等导致无法保留,或完全埋伏于颌骨内、萌出方向严重异常(如倒置、水平阻生),拔除后结合正畸治疗,可避免影响邻牙健康或引发囊肿等并发症。

拔虎牙正畸的详细治疗流程
拔虎牙正畸并非“拔牙即结束”,而是包含多个关键阶段的系统性治疗,每个阶段都需医患密切配合。
(一)术前检查与方案设计(1-2周)
这是治疗成功的基础,目的是全面评估口腔状况,制定个性化正畸方案。
- 临床检查:医生会检查牙齿排列、咬合关系、口腔卫生状况,判断是否存在牙周炎、龋齿等潜在问题(若有需先治疗再正畸)。
- 影像学检查:拍摄全景片(曲面断层片)观察牙根形态、牙槽骨情况及邻牙关系;拍摄头颅侧位片进行头影测量,分析骨骼、牙齿、软组织的协调性;必要时拍摄CBCT(锥形束CT),明确埋伏虎牙的位置与邻牙关系。
- 模型分析:取口腔模型,在模型上模拟牙齿移动过程,预测拔牙间隙的关闭效果及最终咬合状态。
- 方案沟通:医生结合检查结果,向患者说明拔牙的必要性、治疗周期、预期效果及风险,患者确认后签署知情同意书。
(二)拔牙操作与术后护理(1-3天)
拔牙是正畸过程中的关键步骤,需由口腔外科或正畸医生在无菌环境下操作,以减少创伤和并发症。
- 拔牙时机:通常在正畸治疗开始前1-2周拔牙,也可在戴矫治器后拔除(根据方案选择),拔除前会进行局部麻醉,确保无痛操作。
- 拔牙过程:对于萌出正常的虎牙,医生会先分离牙龈,用牙挺轻轻松动牙齿,再用牙钳完整拔除;对于埋伏虎牙,可能需要切开牙龈、去除部分骨组织后拔除,手术时间约30分钟-1小时。
- 术后护理:拔牙后咬棉卷30-40分钟止血,2小时内不进食,24小时内不刷牙不漱口(可冷敷面部减少肿胀),之后用软毛牙刷轻柔清洁口腔,避免触碰创口;饮食以温凉、软食为主(如粥、面条),避免过硬、过热食物;遵医嘱服用抗生素(若为复杂拔牙)或止痛药,术后1周拆线(若需缝合)。
(三)正畸治疗阶段(1.5-3年)
拔牙后,医生会利用释放的间隙,通过矫治器(如金属托槽、陶瓷托槽、隐形矫治器)逐步移动牙齿,实现排齐、整平、关闭间隙等功能。

- 戴矫治器:拔牙后1-2周,医生会在牙齿上粘贴托槽(或佩戴隐形矫治器),用弓丝连接牙齿,施加轻柔而持续的力,引导牙齿向目标位置移动。
- 复诊调整:通常每4-6周复诊一次,医生会检查牙齿移动情况,更换弓丝或调整矫治器力度,确保牙齿按计划移动,初期(1-2周)可能出现牙齿酸痛、口腔溃疡等不适,属于正常现象,一般可自行缓解。
- 间隙管理:拔牙间隙需通过“前牙内收+后牙前移”逐步关闭,而非简单“让邻牙填空”,医生会通过“滑动法”或“关闭曲法”精确控制牙齿移动速度,避免间隙关闭过快导致牙根吸收或咬合紊乱。
- 中期调整:当牙齿排齐、间隙关闭至1/2时,可能进行“颌间牵引”(用橡皮筋连接上下牙),调整咬合关系,确保上下牙齿尖窝相对、功能协调。
(四)保持阶段(至少2年)
正畸治疗结束后,牙齿仍处于“不稳定状态”,需通过保持器维持效果,防止复发。
- 保持器类型:常用 Hawley 保持器(金属丝+基托)或透明压膜保持器(隐形保持器),前者稳定性强,后者美观舒适。
- 佩戴时间:前6个月需全天佩戴(进食、刷牙时取下),之后夜间长期佩戴,至少持续2年,部分患者(如严重拥挤、骨性不调)需终身佩戴。
- 定期复查:保持期间每3-6个月复查一次,医生会检查保持器贴合度及牙齿稳定性,必要时调整或更换保持器。
拔虎牙正畸的效果与优势
拔除一颗虎牙进行正畸,虽会暂时失去一颗牙齿,但通过科学治疗可带来多方面的改善:
- 美观提升:牙齿排列整齐、前突改善后,面部侧貌更协调,笑容更自然自信,尤其对“凸嘴”或“地包天”患者效果显著。
- 功能恢复:咬合关系稳定后,咀嚼效率提高,颞下颌关节负担减轻,可缓解关节疼痛、弹响等问题。
- 口腔健康:拥挤牙齿排齐后,无清洁死角,降低龋齿、牙周炎风险;拔牙间隙关闭后,邻牙不会出现“缝隙过大”或“倾斜”等问题。
- 长期稳定:通过正畸治疗建立的咬合平衡,配合保持器维护,效果可长期保持,避免“复发”风险。
术前检查项目与目的
为明确拔牙正畸的可行性与方案,术前需进行全面检查,具体如下表所示:
| 检查项目 | 检查目的 | 常用方法 |
|---|---|---|
| 口腔临床检查 | 评估牙齿排列、咬合关系、口腔卫生、牙周状况 | 视诊、探诊、叩诊、咬合纸检查 |
| 影像学检查 | 观察牙根形态、牙槽骨高度、邻牙关系、埋伏牙位置(若有) | 全景片、头颅侧位片、CBCT(必要时) |
| 模型分析 | 模拟牙齿移动过程,预测间隙关闭效果与咬合状态 | 灌注石膏模型,在模型上进行测量与方案设计 |
| 头影测量分析 | 分析骨骼、牙齿、软组织的协调性,判断是否需结合正颌手术 | 在头颅侧位片上标记标志点,测量SNA、SNB、ANB等角度 |
| 全身健康状况评估 | 排除拔牙及正畸禁忌症(如未控制的糖尿病、出血性疾病、严重骨质疏松等) | 询问病史、血常规、凝血功能检查 |
常见风险与注意事项
拔虎牙正畸虽技术成熟,但仍需注意潜在风险及术后护理:
- 风险:包括拔牙后出血、感染(概率低,遵医嘱用药可避免)、邻牙松动(正畸过程中暂时性,牙槽骨改建后可恢复)、牙根吸收(正畸常见并发症,定期拍片监测,严重时需调整力度)。
- 注意事项:
- 口腔卫生:正畸期间食物易嵌塞,需使用正畸专用牙刷、牙线、冲牙器,每天至少刷牙3次,避免“托槽周围龋坏”。
- 饮食控制:避免啃硬物(如骨头、坚果、螃蟹壳)、黏性食物(如口香糖、年糕),防止托槽脱落或弓丝变形。
- 避免碰撞:运动时佩戴护齿套,防止矫治器损坏或牙齿外伤。
- 及时沟通:若出现剧烈疼痛、托槽脱落、牙齿松动异常等情况,需立即复诊处理。
相关问答FAQs
Q1:拔虎牙会导致脸塌吗?会不会显得衰老?
A:不会导致脸塌,反而可能改善面部美观,虎牙位于牙弓前部,牙根粗壮,但并非“支撑面部的主要支柱”,拔除虎牙后,其间隙会通过邻牙(如前牙、前磨牙)的移动逐渐关闭,牙槽骨也会随之改建,维持面部丰满度,相反,若虎牙过度突出导致“凸嘴”,拔除后内收前牙可使唇部位置更自然,改善“瘪嘴”或“嘴凸”的老态感,需注意,若拔牙后未及时关闭间隙或邻牙过度倾斜,可能出现“局部凹陷”,但正规正畸治疗会通过间隙管理避免此类问题。
Q2:拔虎牙正畸需要多久?成年人治疗会比青少年慢吗?
A:拔虎牙正畸的总时间因人而异,通常为1.5-3年,具体取决于牙齿拥挤程度、错位类型、患者年龄及配合度,成年人治疗确实可能比青少年稍慢(成年人牙槽骨改建速度较慢,牙齿移动效率低),但通过精细的方案设计和良好的配合(如保持口腔卫生、按时复诊),可将治疗时间控制在合理范围内,青少年因颌骨发育潜力大、代谢旺盛,牙齿移动更快,治疗周期通常较短(1.5-2年),无论年龄,治疗期间需严格遵医嘱,避免托槽脱落、口腔卫生不佳等影响进度的情况。
