牙齿作为面部解剖结构的重要组成部分,不仅承担咀嚼、发音等生理功能,还通过支撑唇颊部软组织、维持颌骨正常位置,对面部轮廓(如侧脸线条、正面饱满度、对称性)有着深层影响,矫正牙齿(正畸治疗)通过移动牙齿位置、调整咬合关系,不仅改善口腔健康,还可能带来脸型的微妙或显著改变,这种改变并非“整容式”重塑,而是源于牙齿-颌骨-软组织的协同调整,其效果受多种因素影响,理解其机制和规律,有助于理性看待正畸的面型改善作用。
牙齿与脸型的关联:从解剖结构到面部轮廓
面部轮廓的稳定性依赖于“骨骼-牙齿-软组织”的动态平衡,牙齿位于上下颌骨的牙槽骨中,其排列位置直接影响牙槽骨的形态,而牙槽骨又是颌骨的一部分,颌骨的发育方向又与牙齿的咬合刺激密切相关,上前牙牙根紧邻上颌骨前壁,牙齿前突时会带动牙槽骨前移,导致上颌骨前突、上唇前翘;反之,牙齿后缩可能导致上颌骨发育不足、面中份凹陷,牙齿的咬合关系决定了咀嚼肌(如咬肌、颞肌)的张力,长期咬合紊乱(如深覆颌、反颌)可能导致肌肉异常发力,进而影响面部对称性和线条流畅度,唇颊部软组织(如嘴唇、颊脂肪垫)需依靠牙齿支撑,牙齿排列不齐或位置异常会导致软组织失去依托,出现“瘪嘴”“鼓腮”等问题。

矫正牙齿改变脸型的核心机制
矫正牙齿通过“生物力学改建”实现牙齿移动,进而调整颌骨位置、肌肉平衡和软组织形态,具体机制包括以下三方面:
牙齿位置调整:直接改变牙槽骨形态
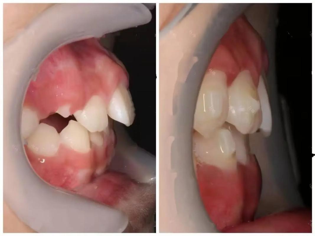
牙齿移动时,牙槽骨会发生“吸收与重建”:施压侧牙槽骨吸收,牵引侧牙槽骨增生,从而调整牙齿在颌骨中的位置,拔牙矫正(如拔除第一前磨牙)通过为前牙内收提供空间,改善“龅牙”问题,上前牙牙根后移带动牙槽骨改建,使上唇支撑更自然,侧脸下唇回收,颏部形态更突出,对于牙列拥挤患者,排齐牙齿可解除牙齿对唇颊软组织的挤压,使唇部软组织更平整,避免因牙齿拥挤导致的“凸嘴”假象。
咬合关系重建:调整颌骨与肌肉平衡
咬合是上下颌牙齿的接触关系,异常咬合(如深覆盖、反颌、开颌)会导致颌骨受力不均,进而影响颌骨发育和肌肉功能,矫正通过调整牙齿咬合,使咬合力沿牙长轴均匀传递,避免颌骨受到异常牵引,反颌(“地包天”)患者,下颌牙列长期覆盖上前牙,可能导致下颌过度前突、面中份凹陷;矫正通过将上前牙前移、下前牙后移,或配合颌间牵引,调整上下颌骨的相对位置,使下颌后退,面中份前凸,侧面线条更柔和,咬合改善后,咀嚼肌(如咬肌)异常紧张得到缓解,避免因肌肉肥大导致的面部“宽大”问题。
软组织适应性改变:唇颊形态的自然调整
牙齿位置变化后,唇颊部软组织会随之发生适应性调整,但这种调整受软组织厚度、弹性等因素影响,上前牙内收后,上唇支撑减少,若患者上唇较薄,可能明显改善“龅嘴”外观;若上唇较厚或软组织弹性差,改善效果则相对有限,对于开颌患者,矫正后后牙咬合升高,下面部高度增加,颊部软组织被拉伸,微笑时露齿更自然,避免“瘪嘴”导致的面下1/3凹陷。

不同错颌畸形矫正后的脸型改变(典型类型分析)
错颌畸形类型多样,矫正后的脸型改变也存在差异,以下通过表格总结常见类型的矫正效果:
| 错颌类型 | 典型表现 | 矫正原理 | 脸型改变效果 |
|---|---|---|---|
| 深覆盖(龅牙) | 上前牙前突,上唇前翘,侧脸“突嘴”明显 | 上颌后移、下颌前移或内收上前牙(拔牙矫正) | 侧脸下唇回收,颏部形态更自然,上唇突度减小,面下1/3轮廓更清晰 |
| 反颌(地包天) | 下前牙覆盖上前牙,下颌前突,面中份凹陷 | 上颌前移、下颌后移或压低下前牙,配合颌间牵引 | 侧脸下颌后退,面中份前凸,侧面线条从“凹面型”转为“直面型”,面部对称性改善 |
| 深覆颌 | 上前牙覆盖下前牙过多,面下1/3高度不足,下颌后缩 | 压低上前牙、升高后牙或打开咬合(如使用平面导板) | 下面部高度增加,下颌缘线条更明显,避免“短脸”或“双下巴”假象 |
| 牙列拥挤 | 牙齿排列不齐,唇部鼓胀,侧面轮廓不流畅 | 排齐牙齿,解除拥挤(可能需拔牙提供间隙) | 唇部软组织平整,侧面轮廓更流畅,避免因牙齿拥挤导致的“凸嘴”假象 |
| 开颌 | 上下前牙无法咬合,面下1/3高度不足,微笑时露齿过多 | 压低后牙、升高前牙或关闭间隙,纠正不良习惯(如吐舌) | 下面部高度增加,微笑时上下唇闭合自然,避免“瘪嘴”和“露龈笑” |
影响矫正脸型改变的关键因素
矫正牙齿带来的脸型改变并非“千人一面”,其效果受以下因素显著影响:
原始错颌类型与严重程度
牙齿性错颌(如牙列拥挤、轻度深覆盖)主要涉及牙齿位置调整,脸型改变相对明显;骨骼性错颌(如严重上颌前突、下颌发育不足)需配合正颌手术,单纯正畸改善有限,轻度龅牙患者通过拔牙矫正内收前牙,侧脸改善显著;而严重骨骼性龅牙患者,需正畸-正颌联合治疗才能实现脸型重塑。
年龄与生长发育阶段
青少年处于生长发育高峰期,颌骨可塑性强,矫正可通过牙齿移动引导颌骨轻度改建(如利用生长潜力改善下颌后缩),脸型改变更显著;成年人颌骨已定型,正畸主要通过牙齿移动和牙槽骨改建调整脸型,效果相对局限,且软组织适应性较差,需更长时间适应。

矫正方案设计
拔牙与否、拔牙位置、是否使用种植支抗等方案直接影响脸型改变方向,拔牙矫正(拔除第一前磨牙)通过为前牙内收提供空间,可有效改善凸嘴;而非拔牙矫正适用于轻度拥挤或牙性前突,通过邻面去釉或扩大牙弓调整,脸型改变较温和,种植支抗的应用可实现更精准的牙齿移动(如整体内收前牙),减少对牙根和牙槽骨的损伤,保障脸型改善效果。
软组织特性
软组织厚度、弹性、肌肉张力等是影响脸型改变的重要因素,瘦削者(如颊部脂肪少、皮肤薄)牙齿移动后脸型改变更直观;而面部脂肪丰富者,软组织对牙齿移动的“缓冲”作用较强,改变可能相对隐蔽,上唇长度、唇部肌肉张力等也会影响唇部形态,例如上唇过长者,即使上前牙内收,上唇前突改善也可能有限。
注意事项:理性看待正畸的面型改善
矫正牙齿的核心目标是恢复口腔功能(咀嚼、发音)与健康(牙周健康、咬合稳定),脸型改善是伴随的“附加价值”,而非唯一目标,需注意以下几点:
矫非“整容”,效果有限
正畸无法改变颌骨基础大小(如下颌宽度、颧骨高度),也无法直接去除面部脂肪或改善皮肤松弛,对于严重的骨骼畸形(如上颌发育不足、下颌偏斜),需正畸-正颌联合治疗,单纯正畸无法实现“换脸”效果。
“牙套脸”是暂时现象
部分矫正者会出现“牙套脸”(表现为颊部凹陷、咬肌萎缩),主要因初期牙套佩戴影响咀嚼功能,咬肌暂时性萎缩所致,随着治疗推进、咀嚼功能恢复,咬肌会逐渐丰满,多数人在矫正结束后3-6个月内可恢复正常,无需过度担忧。
保持器是效果保障
矫正结束后,牙齿需经历“稳定期”(约1-2年),此时戴保持器至关重要,若未按医嘱佩戴保持器,牙齿可能复发(如前牙再次前突、牙列拥挤),导致脸型改变部分或完全消失。
相关问答(FAQs)
问题1:矫正牙齿后脸型改变是永久的吗?
解答:矫正牙齿带来的脸型改变,若源于牙齿位置和咬合关系的稳定改善,且长期保持(戴保持器),则效果通常是持久的,但需注意,软组织会随年龄增长自然松弛(如胶原蛋白流失、皮肤弹性下降),可能轻微影响脸型轮廓,但不会因矫正本身而“反弹”,若矫正后出现不良习惯(如咬唇、吐舌)或未按医嘱佩戴保持器导致牙齿复发,则脸型改变可能部分或完全消失。
问题2:成年人矫正牙齿对脸型改变和青少年有什么区别?
解答:成年人矫正与青少年矫正的脸型改变存在显著差异:① 骨骼适应性:青少年处于生长发育期,颌骨可塑性强,矫正可通过牙齿移动引导颌骨轻度改建(如上颌前移、下颌后退),脸型改变更显著;成年人颌骨已定型,正畸主要通过牙齿移动和牙槽骨改建调整,脸型改变相对局限(如内收牙齿改善凸嘴,但无法改变颌骨基础大小)。② 软组织反应:成年人皮肤弹性较差,肌肉和软组织适应牙齿移动的能力较弱,脸型改变更依赖牙齿位置调整(如拔牙矫正后颊部凹陷可能更明显);青少年软组织弹性好,适应性更强,脸型轮廓更易随牙齿移动而自然调整。③ 治疗目标:青少年矫正常兼顾功能与发育引导,脸型改善是长期发育的结果;成年人矫正更侧重解决现有问题(如咬合紊乱、牙齿拥挤),脸型改变是伴随效果,需结合个人需求制定方案。
