第一前磨牙是口腔中位于尖牙与第一磨牙之间的牙齿,上下颌各一对,是正畸治疗中常涉及的关键牙齿之一,其解剖位置特殊,牙冠形态呈“立方形”,颊舌尖高度相近,牙根多为单根,约60%有分叉,这种结构特点使其在正畸移动中需精细控制,避免牙根吸收或邻牙损伤,从功能上看,第一前磨牙参与切割食物、维持牙弓形态及咬合稳定,其位置异常可能影响咀嚼效率和颞下颌关节健康,因此在正畸治疗中,无论是拔除还是保留,均需综合评估患者口腔状况。
在正畸治疗中,第一前磨牙的决策(拔除或保留)直接关系到治疗方案的成败,拔除第一前磨牙的常见适应症包括:严重牙列拥挤(拥挤度≥8mm),需通过减数获得间隙;前牙深覆盖(覆盖≥8mm),需大量内收前牙改善侧貌;上下牙弓宽度不调,如狭窄牙弓需扩弓减数;或第一前磨牙本身存在严重龋坏、根尖周炎等无法保留的病变,而保留第一前磨牙的情况则多为:牙列轻度拥挤(拥挤度<8mm),可通过扩弓或邻牙代偿解决;上下牙弓长度协调,无需大量间隙;或患者因美观、心理因素拒绝拔牙,具体决策需结合头影测量数据(如ANB角、SNA角)、模型分析及患者诉求制定,下表为拔除与保留的常见考量因素:

| 拔除第一前磨牙的适应症 | 保留第一前磨牙的适应症 |
|---|---|
| 严重牙列拥挤,需减数获得间隙 | 轻度拥挤,可通过扩弓或邻牙倾斜代偿 |
| 前牙深覆盖,需内收前牙改善突度 | 上下牙弓长度协调,无需大量间隙 |
| 第一前磨牙本身存在严重病变(如残根、骨内埋伏) | 第一前磨牙牙体牙周健康,可参与功能 |
| 上下牙弓宽度不调,需减数协调 | 患者拒绝拔牙,接受代偿性治疗 |
若第一前磨牙需保留并参与移动,正畸医生需重点关注其控制技巧,由于第一前磨牙牙根常有分叉,移动时需避免过度倾斜或旋转,通常采用0.018英寸或0.022英寸的方丝弓托槽,通过弓丝的“转矩控制”实现牙根稳定——唇向移动时需施加根舌向转矩(-7°至-10°),防止牙根吸收;近中移动关闭间隙时,需配合“停止曲”或“滑动法”,确保牙冠沿理想路径移动,避免邻牙(如尖牙或第二前磨牙)牙根损伤,第一前磨牙常作为支抗牙,用于稳定后牙段,此时需加强支抗控制,如使用种植体支抗(微种植钉)避免后牙前移,确保前牙内收效率。
治疗过程中,第一前磨牙也可能出现并发症:一是牙根吸收,多因矫治力过大或移动方向不当,需定期拍摄CBCT监测牙根长度;二是牙龈萎缩,尤其唇向移动后,因牙槽骨改建不足导致,需在移动中控制牙根位置,避免唇侧骨板过薄;三是邻牙损伤,如第二前磨牙牙根吸收,通常与第一前磨牙旋转移动有关,需通过精确的牙根定位移动预防,为减少并发症,医生需遵循“轻力矫治”原则,每3-6个月复查调整,同时加强患者口腔卫生指导,避免正畸过程中出现牙龈炎或釉质脱矿。
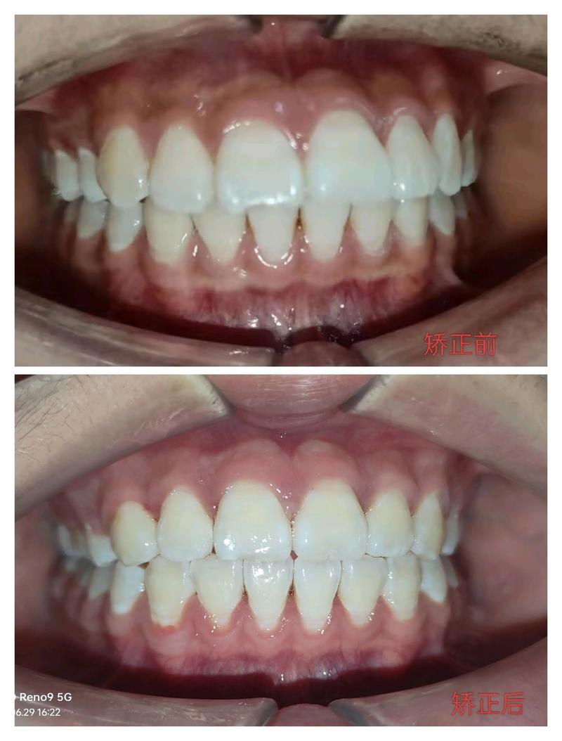
第一前磨牙在正畸治疗中兼具“间隙提供者”与“功能维持者”的双重角色,其处理需兼顾解剖特点、功能需求及美学目标,通过科学的决策、精细的移动控制及并发症预防,可最大限度发挥其在牙列矫正与咬合重建中的重要作用,帮助患者获得稳定、健康的口腔功能与美观的微笑。
FAQs
Q1:正畸中第一前磨牙拔除后对脸型影响大吗?
A:影响程度取决于拔除数量和面型基础,单侧拔除对脸型影响较小,双侧拔除可能通过内收前牙改善突面型(如“龅牙”患者),但若患者本身面型正常,过度拔除可能导致面型凹陷,医生会通过头影测量评估软组织侧貌,确保拔牙后鼻唇颏关系协调,避免负面影响。

Q2:第一前磨牙在移动过程中出现疼痛怎么办?
A:轻微疼痛属正常现象,是牙齿移动的生理反应,可服用非甾体抗炎药(如布洛芬)缓解,避免咀嚼过硬食物,若疼痛持续加重或伴牙龈肿胀、咬合痛,可能为牙根吸收或咬合创伤,需及时复诊拍摄X光片,调整矫治力或咬合关系,避免损伤加重。

