上牙槽骨突出通常表现为上颌牙齿及牙槽骨向前凸出,可能伴随“龅牙”外观、露龈笑或咬合异常等问题,不仅影响面部美观,还可能导致发音不清、咬合创伤等口腔功能问题,正畸治疗是改善上牙槽骨突出的常用手段,通过牙齿移动和牙槽骨改建,可协调上下颌关系,恢复面部美观与咬合功能,但正畸治疗需结合具体病因、骨性程度及患者需求制定个性化方案,治疗过程也需严格遵循医嘱以确保效果。
上牙槽骨突出的正畸治疗核心逻辑
上牙槽骨突出可分为牙性、骨性及混合性三类,牙性突出主要因牙齿排列异常(如前牙拥挤、前突)导致,通过正畸移动牙齿位置即可改善;骨性突出则与颌骨发育异常有关,单纯正畸效果有限,可能需联合正颌手术;混合性需综合评估牙齿与颌骨的协同调整,正畸治疗的本质是通过施加持续、轻柔的生物力,引导牙齿在牙槽骨内缓慢移动,同时刺激牙槽骨改建(受压侧骨吸收,牵引侧骨新生),最终实现牙齿排列整齐、咬合协调及面部软组织形态的改善。

常见正畸方法及适用情况
针对上牙槽骨突出的正畸方法多样,需根据患者年龄、骨性程度、美观需求及经济条件选择:
-
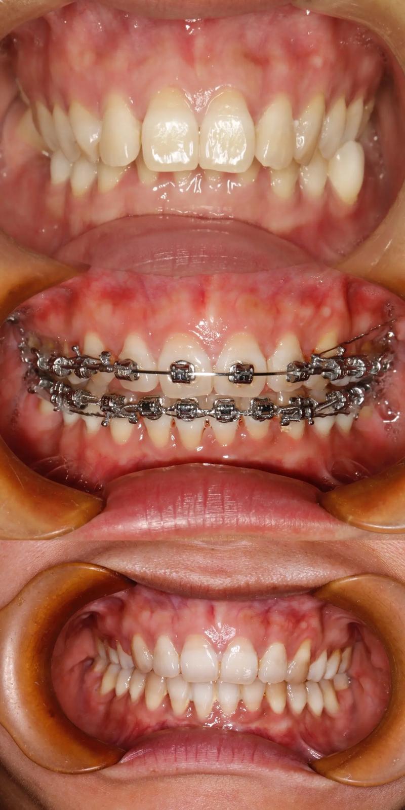
传统固定矫正:通过金属托槽、弓丝等施加矫治力,适合各类牙性及轻度骨性突出,优点:矫治力精准可控,对复杂病例(如牙齿严重拥挤、扭转)效果好;缺点:美观性差,口腔清洁难度大,复诊间隔(4-6周)较短。
-
陶瓷托槽矫正:托槽为透明陶瓷材质,接近牙齿颜色,兼顾美观与矫治效果,适合对美观有要求的中轻度患者,缺点:陶瓷材质脆性较高,避免咬硬物;价格略高于传统金属托槽。
-
隐形矫正:通过一系列透明牙套逐步移动牙齿,可自行摘戴,美观性和舒适度高,适合轻度牙性突出及成人患者,优点:不影响社交,口腔清洁方便;缺点:对骨性掩饰效果有限,需患者严格佩戴(每天20小时以上),复杂病例可能需联合附件或辅助支抗。
(图片来源网络,侵删) -
舌侧矫正:将托槽粘贴在牙齿舌侧面,完全隐形,适合对美观要求极高的患者,优点:美观性最佳;缺点:技术难度高,费用昂贵(约为传统矫正的3-5倍),初期发音不适,清洁难度大。
正畸治疗流程与关键阶段
上牙槽骨突出的正畸治疗需系统化、分阶段进行,具体流程如下:
| 治疗阶段 | 时间周期 | 注意事项 | |
|---|---|---|---|
| 初诊检查与评估 | 1-2周 | 口腔检查(牙齿、牙周、咬合)、X线片(头颅侧位片、曲面断层片)、模型分析、面部美学评估 | 提供既往病史(如牙周病、颞下颌关节紊乱),明确治疗预期 |
| 方案设计与沟通 | 1-2周 | 结合检查结果制定方案(是否拔牙、是否支抗、选择矫治器类型),与患者确认治疗目标、周期及费用 | 充分沟通风险(如牙根吸收、牙龈退缩),签署知情同意书 |
| 主动矫治期 | 1-3年 | 粘贴托槽/佩戴隐形牙套,定期复诊调整矫治力,解决牙齿移动中的问题(如扭转、间隙关闭) | 保持口腔卫生(使用正畸牙刷、冲牙器),避免过硬、黏性食物,按时复诊 |
| 保持期 | 5-2年 | 拆除矫治器,佩戴保持器(活动保持器或固定保持器),防止复发 | 初期需全天佩戴,后期逐渐减少至夜间佩戴,定期复查保持器效果及牙齿稳定性 |
正畸治疗的注意事项
- 口腔卫生维护:矫治期间托槽/牙套易堆积食物残渣,需使用正畸专用牙刷、牙线、冲牙器每日清洁,预防龋齿、牙龈炎及牙周炎。
- 饮食调整:避免啃咬硬物(如坚果、螃蟹壳)、黏性食物(如口香糖、年糕),防止托槽脱落或弓丝变形;隐形矫正需摘下牙套进食,避免染色。
- 复诊依从性:严格按照医生时间复诊(通常4-6周一次),间隔过长可能导致牙齿移动失控,延长治疗时间;若托槽脱落,需及时联系医生处理。
- 保持器佩戴:保持期是防止复发的重要阶段,需严格佩戴,即使感觉牙齿稳定后也不可随意停戴,否则可能因牙齿记忆导致反弹。
相关问答FAQs
Q1:上牙槽骨突出正畸一定能改善吗?
A:需根据突出类型判断,牙性突出通过正畸可显著改善;轻度骨性突出可通过正畸“掩饰治疗”(如内收牙齿、代偿性调整)改善外观;中重度骨性突出单纯正畸效果有限,需联合正颌手术(如上颌骨后退术)才能从根本上改善颌骨关系,正畸常作为术前术后辅助治疗。
Q2:正畸过程中出现牙龈肿痛怎么办?
A:正畸初期牙齿移动可能暂时压迫牙龈,导致轻微肿痛,通常3-5天可缓解,若肿痛持续或伴随牙龈出血、溢脓,需警惕牙周炎,可能因口腔卫生不佳导致,应加强清洁并复诊,医生会进行专业洁治及牙周治疗,若托槽边缘刺激牙龈,可使用正畸蜡覆盖托槽缓解不适,必要时复诊调整托槽位置。

