牙齿正畸后的图片是整个矫正过程中最具直观意义的成果展示,它不仅记录了牙齿从错乱到整齐的蜕变,更反映了咬合功能、面部美学及口腔健康的全面改善,这些图片通常包括正畸前后的对比照、不同阶段的牙齿变化图、咬合关系调整细节图,甚至可能涉及面部轮廓的优化效果,通过观察这些图片,患者能直观感受矫正的价值,医生也能借此评估治疗效果并为其他案例提供参考。
正畸前后对比图的核心要素
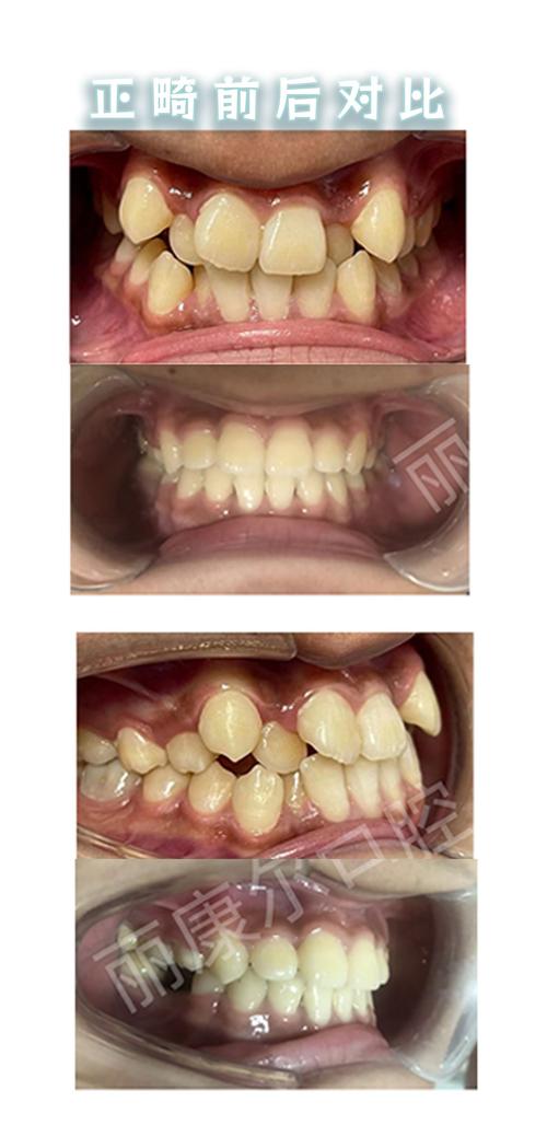
正畸后的对比图是理解矫正效果的关键,核心要素可围绕“牙齿排列”“咬合关系”“面部美学”“口腔健康”四个维度展开。

牙齿排列:从“混乱”到“有序”的视觉转变
正畸前,牙齿常表现为拥挤、稀疏、扭转或异位(如虎牙外突、埋伏牙未萌出),对比图中,正畸后的牙齿会呈现“整齐排列”的状态:牙弓弧度自然,牙齿大小与形态协调,无明显扭转或间隙,拥挤不齐的牙齿通过扩弓、拔牙等手段调整后,会从“参差不齐”变为“如队列般整齐”;稀疏的牙齿则通过关闭间隙实现紧密接触,这一变化不仅是美观的提升,也为后续咬合功能的恢复奠定基础。
咬合关系:从“异常”到“精准”的功能重建
咬合关系的改善是正畸的核心目标之一,对比图中需重点关注“覆合覆盖”“中线对齐”“尖窝关系”三项指标。
- 覆合覆盖:正畸前可能存在深覆合(上牙过度覆盖下牙)、深覆盖(“龅牙”)或反合(“地包天”),正畸后,上下牙弓的垂直和水平关系应恢复正常:覆合在1-3mm范围内,覆盖不超过3mm,反合则解除为正常覆盖。
- 中线对齐:正畸前若存在中线偏斜(如上下牙弓中线不一致),正畸后需通过牙齿移动实现中线与面部中线(鼻尖、唇珠中点)对齐,提升面部对称性。
- 尖窝关系:理想的咬合是上牙尖与下牙窝紧密嵌合,正畸后可通过精细调整实现“尖窝相对”,避免早接触(个别牙齿先接触导致咬合创伤)和咬合干扰。
面部美学:从“失衡”到“协调”的轮廓优化
牙齿位置的改变会直接影响面部软组织形态,对比图中可观察到“微笑曲线”“唇部突度”“面下1/3高度”的变化。
- 微笑曲线:正畸后牙齿排列整齐,牙龈暴露量适中(上牙暴露2-3mm,下牙暴露1-2mm),微笑时呈现自然的“弧线”,而非“牙龈外露”或“牙齿缺失”的尴尬。
- 唇部突度:对于“龅牙”患者,正畸后牙齿内收,嘴唇不再前突,侧面轮廓从“凸面型”变为“直面型”或“微凸面型”;“地包天”患者则通过牙齿外推改善唇部凹陷,侧面轮廓更柔和。
- 面下1/3高度:咬合打开后(如深覆合矫正),面下1/3高度增加,面部比例更协调,避免因咬合过深导致的“短面”外观。
口腔健康:从“隐患”到“洁净”的功能保障
正畸后的图片还能反映口腔健康状态的改善,

- 清洁难度降低:拥挤不齐的牙齿易嵌塞食物,导致龋齿、牙周炎;正畸后牙齿排列整齐,牙间隙正常,牙刷、牙线能彻底清洁,减少菌斑堆积。
- 牙周组织健康:正畸前因咬合创伤导致的牙龈萎缩、牙槽骨吸收,在矫正后得到改善,牙龈形态粉红坚韧,牙周袋深度恢复正常(<3mm)。
不同阶段的牙齿变化图:动态展示矫正进程
正畸后的图片不仅包含最终效果,还可通过“阶段性对比图”展示牙齿的动态移动过程,帮助患者理解矫正原理和医生的治疗逻辑。
初期调整图(1-3个月):解锁与移动
初期阶段,牙齿处于“解锁”状态,主要进行初步排齐和整平,对比图中可见:
- 拥挤缓解:通过拔牙或扩弓,为牙齿移动提供空间,扭转的牙齿开始扶正,严重拥挤的牙齿出现初步间隙。
- 咬合打开:对于深覆合患者,使用摇椅弓或平导打开咬合,解除下牙被上牙覆盖的状态,面下1/3高度轻微增加。
- 疼痛与不适:此阶段牙齿移动较快,患者可能感到酸胀,但图片显示牙齿已开始向目标位置移动。
中期排齐图(6-12个月):精准定位
中期是牙齿“排齐与整平”的关键阶段,对比图中可见:
- 牙弓形态形成:牙齿按照预定的牙弓形态排列,左右对称,前后无扭转,牙弓宽度、长度恢复正常。
- 间隙关闭:若涉及拔牙,此时开始通过滑动法或关闭曲法关闭拔牙间隙,牙齿向中间移动,恢复牙列完整性。
- 咬合初步建立:上下牙齿开始建立初步接触,但可能尚未达到理想的尖窝关系,需进一步精细调整。
精细调整图(12-18个月):细节打磨
精细调整阶段,医生会针对咬合细节进行优化,对比图中可见:

- 尖窝关系优化:通过调整个别托槽位置或使用橡皮筋牵引,使上牙尖与下牙窝精准嵌合,避免咬合干扰。
- 中线对齐:若存在中线偏斜,通过单侧牙齿移动或颌间牵引实现上下牙弓中线与面部中线对齐。
- 牙龈形态恢复:牙齿稳定后,牙龈因长期受压导致的轻微萎缩开始修复,牙龈乳头(牙缝间的牙龈)逐渐充填,形态更自然。
保持期稳定图(拆除矫治器后):巩固成果
拆除矫治器后,需通过“保持期对比图”观察牙齿稳定性,此时牙齿已处于新的位置,牙槽骨完成改建,牙龈形态稳定,对比图中可见:
- 牙齿位置维持:牙齿保持整齐排列,无复发倾向(如拥挤、扭转重新出现)。
- 咬合关系稳定:覆合覆盖正常,咀嚼功能良好,无颞下颌关节不适。
- 面部效果持久:微笑曲线、唇部突度等面部美学效果维持,无反弹。
常见正畸效果图的类型及应用场景
真实病例对比图
由医生拍摄的正畸前后口内照、面部照,是最具参考价值的图片,口内照包括正面、侧面、咬合面三个角度,清晰展示牙齿排列和咬合变化;面部照则包含自然微笑、放松状态下正面及侧面轮廓,直观体现面部美学改善,此类图片常用于医生案例展示、患者沟通和学术交流。
3D数字化模拟图
通过口内扫描或CBCT数据生成的三维模型,可模拟牙齿移动的全程效果,患者术前即可通过“虚拟正畸”看到预期效果,帮助制定治疗方案(如是否拔牙、是否需要种植体支抗),此类图片适用于对矫正效果有较高要求的患者,也可作为术中参考,确保移动方向与模拟一致。
示意图与动画图
医生绘制的牙齿移动示意图或动画,用于解释矫正原理,通过箭头标注牙齿移动方向,展示拔牙间隙的关闭过程、颌间牵引的力线分布等,此类图片虽非真实案例,但能帮助患者理解“牙齿如何从A点到B点”,提升治疗配合度。
如何解读正畸后的图片
观察正畸后的图片时,需结合“专业指标”和“个体差异”综合判断,避免盲目追求“网红牙”等不切实际的效果。
关注专业指标,而非单纯“整齐”
牙齿整齐是基础,但更重要的是咬合功能是否正常:中线是否对齐、覆合覆盖是否在正常范围、有无咬合创伤、牙龈是否健康,部分患者追求“牙齿过度内收”导致“牙根暴露”,虽然牙齿整齐,但却损伤了牙周健康,这是不可取的。
考虑个体差异,尊重原始条件
每个人的牙齿原始情况、骨骼条件、面部基础不同,矫正效果也会存在差异,骨骼性“龅牙”(上下颌骨前突)仅通过正畸无法完全改善,可能需要联合正颌手术;而牙性“龅牙”通过正畸内收牙齿即可获得显著改善,解读图片时需结合患者的原始条件,判断效果是否达到“预期目标”而非“完美标准”。
动态对比,观察长期稳定性
正畸后的效果需通过“保持期”观察,短期内牙齿整齐可能因牙周组织未完全改建而存在“反弹风险”,对比图中若包含保持期(如拆除矫治器后6个月、1年)的图片,更能体现矫正效果的稳定性。
正畸前后对比核心指标表
| 对比维度 | 正畸前表现 | 正畸后表现 |
|---|---|---|
| 牙齿排列 | 拥挤/稀疏、扭转、间隙 | 整齐有序、牙弓形态饱满 |
| 咬合关系 | 深覆合/深覆盖、反合、中线偏移 | 尖窝相对、中性咬合、中线对齐 |
| 面部美学 | 嘴唇突度异常、面部不对称 | 嘴唇协调、面部轮廓更和谐 |
| 口腔健康 | 易嵌塞食物、牙周炎风险高 | 易清洁、牙周组织健康 |
相关问答FAQs
Q1:正畸后牙齿会反弹吗?如何预防?
A:正畸后牙齿存在反弹风险,主要原因是牙周组织改建未完成、不良习惯(如咬唇、吐舌)未纠正、未按要求佩戴保持器,预防措施包括:① 保持器终身佩戴(前6个月24小时佩戴,之后夜间长期佩戴);② 避免咬硬物、用牙开瓶等;③ 纠正不良口腔习惯;④ 定期复查(每3-6个月一次),医生会及时调整保持器或处理早期复发迹象。
Q2:正畸后效果能维持多久?需要终身戴保持器吗?
A:正畸效果的维持时间因人而异,通常与患者年龄、原始错颌类型、保持器佩戴情况相关,青少年患者因生长发育活跃,复发风险较高,需更严格佩戴保持器;成人患者若牙周健康、无不良习惯,保持期效果可长期稳定,理论上,保持器需终身佩戴(尤其是夜间),因为牙齿终身存在移动趋势,终身佩戴是维持效果的根本保障,若因特殊原因无法长期佩戴,需至少佩戴2年,并定期复查评估稳定性。
