进口前牵装置正畸是针对上颌骨发育不足导致的骨性III类错颌(俗称“地包天”)的矫治技术,通过外部牵引装置施加持续、温和的牵引力,引导上颌骨向前生长,改善上下颌骨关系,纠正前牙反颌,促进面部对称与协调,与传统的正畸治疗不同,前牵装置主要作用于骨骼层面,而非单纯移动牙齿,因此对生长发育期的儿童和青少年效果尤为显著,进口前牵装置通常指由国外知名厂商生产、采用先进材料和设计理念的矫治系统,其在生物相容性、精准度和患者舒适度等方面具有独特优势。
适用人群
进口前牵装置主要适用于8-14岁的儿童和青少年,处于混合牙列或早期恒牙列阶段,此时上颌骨仍处于生长发育活跃期,骨骼改建能力强,矫治效果更理想,临床表现为上颌骨发育不足、下颌骨相对前突,表现为前牙反颌(“地包天”)、下颌前伸、面中1/3凹陷、侧貌突度不足等,部分患者可能伴有上牙列拥挤、后牙反颌等问题,需结合正畸治疗综合改善。

进口前牵装置的优势
与国产传统前牵装置相比,进口装置在材料、设计、精准度等方面具有显著优势,材料上,进口装置多采用医用级钛合金、高弹性树脂或生物相容性高分子材料,质地轻便、无毒无味,减少口腔黏膜刺激和过敏反应;设计上,结合数字化技术(如3D打印、CAD/CAM)实现个性化定制,贴合患者面部轮廓,牵引方向和力量更精准;部分进口装置配备可调节牵引力的配件,医生可根据患者生长反应动态调整,避免过度牵引或力量不足,以下是进口与国产前牵装置的核心参数对比:
| 对比维度 | 进口前牵装置 | 国产传统前牵装置 |
|---|---|---|
| 材料选择 | 医用钛合金、生物树脂 | 普通不锈钢、塑料 |
| 设计方式 | 数字化定制(3D打印) | 标准化批量生产 |
| 牵引精准度 | 可调节方向和力量(±5g) | 固定方向和力量 |
| 舒适度 | 轻量化、贴合面部,压疮风险低 | 体积较大,易摩擦皮肤 |
| 生物相容性 | 通过FDA/CE认证,低致敏性 | 部分产品生物相容性数据不足 |
| 适用年龄范围 | 8-14岁(生长发育活跃期) | 10-16岁(范围较窄) |
| 价格区间 | 8000-20000元 | 3000-8000元 |
常见类型及特点
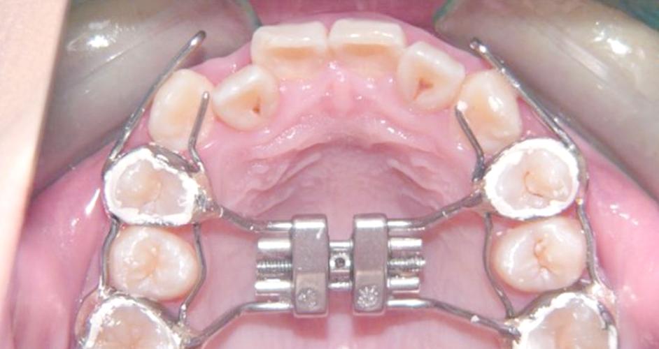
进口前牵装置根据佩戴方式和设计可分为三类:①面具式前牵装置:由面罩、额垫、颏垫和牵引弓组成,通过额部和颏部固定,力量经牵引弓传递至上颌牙弓或颌骨,适合年龄较小(8-10岁)、配合度低的儿童,佩戴时需家长协助调整,每日佩戴时间10-14小时,疗程通常为6-12个月。②头帽式前牵装置:结合头帽固定,牵引力通过头帽和口内装置(如上颌牙弓夹板)传递,稳定性强,适合需要长期佩戴的青少年(11-14岁),可同时进行上颌扩弓和前牵,纠正后牙反颌。③可摘式前牵装置:类似活动矫治器,患者可自行摘戴,兼顾美观和功能,适合对美观要求高、配合度好的患者,但需注意佩戴时间,避免影响效果。
临床应用流程
①诊断与评估:通过X线头影测量(SNA角、SNB角、ANB角等)、口腔模型、面部照片等明确上颌发育不足的程度,排除骨性融合等禁忌症;②方案设计:根据患者年龄、错颌类型和生长发育潜力,确定牵引方向(与眶耳平面呈30°-45°)、牵引力(每侧300-500g)和佩戴时间;③装置制作:采用数字化扫描获取口腔数据,3D打印定制个性化面罩/头帽,口内部分通过牙模制作牙弓夹板;④佩戴指导:医生演示正确佩戴方法,调整松紧度(以能插入1-2指为宜),指导清洁(用软毛刷蘸清水清洁,避免浸泡);⑤定期复诊:每4-6周复诊一次,检查牵引效果(测量SNA角变化、前牙覆颌覆盖改善情况)、调整牵引力、处理并发症(如皮肤压疮、牙齿酸痛);⑥保持与巩固:疗程结束后,佩戴保持器(如Hawley保持器)维持效果,同时定期复查至颌骨发育稳定。
注意事项
①年龄控制:最佳矫治年龄为8-14岁,超过16岁上颌骨发育基本停止,需配合正颌手术;②佩戴时间:每日需保证10-14小时,避免自行缩短时间影响疗效;③清洁保养:每日清洁装置,避免食物残渣堆积引起口腔异味或感染;④皮肤护理:面罩/头帽接触部位皮肤易出现压疮,可垫棉垫缓冲,避免长时间压迫;⑤饮食注意:佩戴期间避免食用过硬、黏性食物,防止装置损坏或脱落;⑥定期复诊:切勿因症状改善而擅自停戴或延长复诊间隔,以免导致复发或骨骼损伤。

进口前牵装置正畸以其精准、舒适、高效的优势,成为上颌发育不足骨性III类错颌的首选矫治方法,通过科学选择适应症、规范操作流程和加强患者管理,可有效改善面部侧貌,纠正咬合关系,为患者的口腔健康和心理健康奠定基础,早期干预是关键,家长应关注孩子的颌骨发育情况,及时就医评估。
FAQs
-
进口前牵装置和传统前牵装置的主要区别是什么?
答:进口前牵装置在材料、设计、精准度和舒适度上更具优势,材料上采用医用级钛合金、生物树脂等,生物相容性更好;设计上通过数字化技术个性化定制,牵引方向和力量可精准调节;舒适度上轻量化、贴合面部,减少压疮风险;进口装置通常配备更完善的配件和临床支持,适合不同年龄段和错颌类型,但价格相对较高。 -
佩戴进口前牵装置期间需要注意哪些问题?
答:首先需保证每日佩戴时间10-14小时,避免自行缩短;其次要注意装置清洁,每日用软毛刷蘸清水清洁,避免浸泡;同时关注皮肤护理,面罩接触部位出现压疮时及时垫棉缓冲或复诊调整;饮食上避免过硬、黏性食物,防止装置损坏;最后必须定期复诊(每4-6周),医生会检查牵引效果并调整方案,切勿因症状改善而擅自停戴或延长复诊间隔。

