在正畸学中,转矩(Torque)是控制牙齿唇舌向倾斜角度的核心生物力学机制,而正转矩(Positive Torque)特指牙冠相对于牙根向舌侧倾斜、牙根向唇侧移动的牙齿状态,这种控制是三维正畸治疗(近远中向、唇舌向、垂直向)中的关键环节,旨在通过精准的力学调控,实现牙齿在牙槽骨内的理想位置,从而改善咬合功能、面部美观及口腔健康。
正转矩的作用机制
牙齿的转矩控制本质是通过施加持续、轻柔的力,引导牙槽骨发生改建,当对牙齿施加正转矩力时,牙冠舌侧受到压力,牙根唇侧受到张力——压力侧牙槽骨发生吸收(破骨细胞活跃),张力侧则出现新骨沉积(成骨细胞活跃),这一过程需要时间,通常每月移动约1mm,且受个体差异(如年龄、骨密度、口腔卫生状况)影响,上颌前牙的正转矩可防止牙根过度唇倾,避免“扇形”外观(即牙根分散、牙冠聚拢的异常形态),同时为深覆合的矫正提供垂直向空间;下颌前牙的正转矩则能控制牙根舌向移动,避免与上前牙形成“剪刀咬合”(深覆合的一种类型)。
正转矩的临床应用场景
正转矩并非适用于所有病例,其应用需基于具体的错畸形类型和治疗目标,常见场景包括:
深覆合矫正
深覆合患者常伴上前牙牙根唇倾、牙冠过长,导致下前牙咬伤上前牙牙龈,通过正转矩压低上前牙牙冠,同时控制牙根向唇侧移动,可改善垂直向咬合关系,保护牙周组织,使用平导板打开咬合后,需配合上前牙的正转矩,防止牙根因压低力量而过度舌倾。
前牙美学区调整
排齐拥挤的前牙后,若牙根位置不佳(如唇倾导致牙根间距离过大),易形成“黑三角”(牙龈乳头退缩暴露牙缝),正转矩可引导牙根舌向移动,缩小牙根间距离,促进牙龈乳头恢复,改善前牙区美观,尤其对于上颌中切牙,正转矩能使牙冠更直立,避免“笑线”不协调(大笑时牙龈暴露过多)。
拔牙病例间隙关闭
在拔牙矫治(如上颌第一前磨牙拔除)中,前牙需后移并内收关闭间隙,若未控制转矩,前牙易发生牙根唇倾(“钟摆效应”),导致面型前突加重,正转矩可抵消内收时的唇倾力,维持牙根在牙槽骨内的中心位置,确保长期稳定性。
纠正正转矩不足的继发问题
部分患者因长期不良习惯(如吮指、咬唇)导致上前牙牙根唇倾、牙冠舌倾(即“负转矩”),表现为“开唇露齿”伴露龈笑,通过正转矩矫正,可恢复牙冠的正常倾斜度,改善唇齿关系。
正转矩的控制方法
正转矩的实现依赖于矫治器的设计和医生的操作精度,常用方法包括:
托槽预置转矩
直丝弓矫治器(如MBT、Roth系统)的托槽底板上已预设标准转矩值,医生需精准粘贴托槽(粘接高度、角度偏差需<0.5mm),使托槽的转矩槽方向与目标转矩一致,上颌中切牙的MBT托槽预置+7°正转矩,若牙根需额外唇向移动,可通过在托槽近中或远中垫少量树脂(如“转矩垫片”)调整转矩角度。
辅助弓丝与装置
对于复杂病例,需借助特殊弓丝或装置实现精准转矩控制:
- 转矩辅弓:使用TMA镍钛丝或不锈钢丝弯制特定形态(如“Ω曲”),插入托槽槽沟后产生持续转矩力,适用于牙根移动距离较大的情况。
- 弹性牵引:通过颌间牵引(如“III类牵引”纠正反颌)或颌内牵引(如“拉钩牵引”),间接调整牙齿转矩。
- 数字化舌侧托槽:舌侧矫治因托槽位置隐蔽,对转矩精度要求更高,通过CAD/CAM设计个性化托槽,可实现误差<0.1°的精准控制。
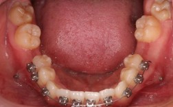
常见牙齿的正转矩参考值(以MBT系统为例)
| 牙齿位置 | 正转矩标准值(度) | 临床意义 |
|---|---|---|
| 上颌中切牙 | +7° | 防止牙根唇倾,改善深覆合 |
| 上颌侧切牙 | +7° | 协调中切牙转矩,避免黑三角 |
| 上颌尖牙 | +5° | 维持尖牙牙根位置,支持前牙区 |
| 下颌中切牙 | -1° | 控制牙根舌倾,保持咬合稳定 |
| 下颌侧切牙 | -1° | 与中切牙协同,防止反覆合 |
| 下颌尖牙 | -7° | 平衡上下颌转矩,避免咬合干扰 |
正转矩的注意事项
精度控制是核心
托槽粘贴角度偏差>2°或弓丝入槽不完全,会导致转矩失控,上颌中切牙托槽粘贴时若向远中旋转5°,实际转矩将变为+2°(+7°-5°),无法有效控制牙根唇倾,需通过口扫或模型分析辅助定位。
力量需轻柔持久
正转矩力过大(>150g)可能引发牙根吸收(尤其是成年患者),需定期拍摄根尖片监测;力量过小则无法有效移动牙根,通常使用0.016英寸或0.018英寸的不锈钢丝提供稳定转矩力,避免使用过细弓丝(如0.014英寸镍钛丝)导致的“转矩丢失”。
个体化调整
青少年患者骨改建活跃,转矩移动速度较快(每月1-1.5mm);成年患者骨密度高,需延长加力时间(每月0.5-1mm),并配合局部注射 corticosteroid 减少骨阻力,牙周病患者需先控制炎症,避免牙槽骨吸收加重导致牙齿松动。
口腔卫生维护
转矩移动期间,牙齿周围易堆积菌斑,引发牙龈炎、牙周炎,进而影响牙槽骨改建,需指导患者使用正畸牙刷、冲牙器,并定期进行牙周洁治(每3个月1次)。
数字化正畸中的正转矩进展
随着数字化技术发展,正畸治疗已进入“精准化时代”,通过口内扫描获取牙齿数据,结合3D模拟软件(如Insignia、OrthoInsight)可预测不同转矩方案下的牙齿移动效果,提前规避风险,对于骨性III类错颌患者,数字化模拟可显示正转矩对下前牙牙根位置的影响,避免过度舌倾导致牙根吸收,3D打印个性化托槽和隐形牙套(如隐适美)的“附件设计”,能更精准地传递转矩力,提升治疗效率。
相关问答FAQs
问:正转矩和负转矩有什么区别?
答:正转矩与负转矩是方向相反的转矩控制方式,正转矩指牙冠舌倾、牙根唇倾,主要用于改善深覆合、前牙美学问题及防止拔牙后牙根唇倾;负转矩则指牙冠唇倾、牙根舌倾,常用于矫正反颌(如“地包天”)、防止下前牙牙根吸收,或纠正上前牙过度舌倾,两者的适应症和力学方向完全不同,需根据错畸形类型选择。
问:正转矩治疗过程中需要注意什么?
答:首先需定期复诊(4-6周/次),医生会通过临床检查和X光片评估转矩控制效果,及时调整方案;其次避免咬硬物(如坚果、骨头),防止托槽脱落导致转矩丢失;再者保持口腔卫生,使用正畸专用工具清洁牙齿,预防牙龈炎;最后若出现牙齿剧烈疼痛、松动加剧或咬合异常,需立即就医,避免牙根吸收或牙周损伤。
