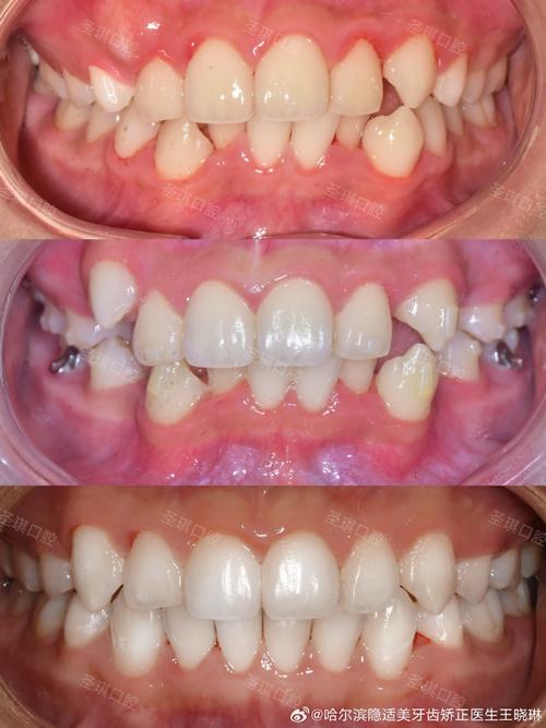
牙齿拥挤是口腔正畸中常见的错颌畸形类型,主要指牙齿在牙弓上的排列不齐,因牙量大于骨量,导致牙齿重叠、扭转或错位,不仅影响美观,还可能引发口腔健康问题,从临床来看,轻度拥挤通常表现为牙齿轻微重叠或排列不齐,中重度拥挤则可能出现“虎牙”外凸、前牙严重扭转等情况,需通过正畸治疗进行干预。
牙齿拥挤的形成原因复杂,既有先天因素,也有后天影响,先天因素中,遗传是主要原因之一,若父母存在牙颌畸形,子女出现拥挤的概率较高;颌骨发育不足(如下颌骨过小)或牙齿数量异常(如多生牙、先天缺失牙)也可能导致牙量与骨量不匹配,后天因素则包括不良口腔习惯,如儿童时期吮指、咬唇、口呼吸等,可能改变牙齿正常萌出方向;乳牙早失未及时处理,导致邻牙倾斜占据空间,恒牙萌出时位置不足;以及牙周病导致的牙齿松动移位等。

牙齿拥挤的危害不容忽视,影响口腔清洁,拥挤的牙齿间易堆积食物残渣和牙菌斑,刷牙难以彻底清洁,增加龋齿、牙周炎的风险;咬合功能异常,牙齿排列不齐可能导致咬合力量分布不均,长期可能引发颞下颌关节紊乱,出现张口疼痛、弹响等症状;对外观的影响可能带来心理压力,尤其对青少年而言,可能因牙齿不齐而自卑,影响社交和心理健康。
针对牙齿拥挤的正畸治疗,需根据拥挤程度、患者年龄、口腔状况等制定个性化方案,常见的矫正方式包括传统金属托槽矫正、陶瓷托槽矫正、隐形矫正以及自锁托槽矫正等,各类方法原理和特点如下表所示:
| 矫正类型 | 原理 | 优点 | 缺点 | 适用人群 |
|---|---|---|---|---|
| 传统金属托槽 | 通过粘接在牙齿上的金属托槽和弓丝,施加持续力量排齐牙齿 | 性价比高,技术成熟,适应症广 | 美观性差,口腔异物感强,需注意口腔卫生 | 各年龄段,尤其适合中重度拥挤患者 |
| 陶瓷托槽 | 材质为透明陶瓷,与牙齿颜色相近,原理同传统托槽 | 美观性较好,强度较高 | 价格较高,部分材质可能磨损牙齿 | 对美观要求较高的青少年及成人 |
| 隐形矫正 | 利用3D打印技术制作透明牙套,通过分阶段移动牙齿 | 美观舒适(可摘戴),便于清洁,可自行摘戴进食 | 价格高,依赖患者依从性,严重拥挤需配合其他治疗 | 轻中度拥挤,配合度高的成人及青少年 |
| 自锁托槽 | 托槽自带闭锁装置,减少弓丝与托槽摩擦力,牙齿移动效率更高 | 复诊间隔长(6-8周),可能缩短治疗时间,疼痛感较轻 | 价格较高,初期可能有不适感 | 对疼痛敏感或希望缩短治疗周期的患者 |
治疗过程中,患者需密切配合医生:治疗前需进行全面检查,包括口腔曲面断层片、头颅侧位片、口内取模等,以评估拥挤程度、牙根情况及颌骨关系;治疗中需注意口腔卫生,使用正畸专用牙刷、牙线、冲牙器清洁牙齿,避免托槽周围食物残留;避免啃咬硬物(如坚果、骨头),防止托槽脱落;按时复诊,医生会根据牙齿移动情况调整矫治力,治疗后需佩戴保持器,前半年需全天佩戴,之后逐渐减少夜间佩戴时间,防止复发。
牙齿拥挤的正畸治疗并非一蹴而就,通常需要1-3年时间,期间需耐心配合,通过科学矫正,不仅能排齐牙齿、改善美观,更能恢复口腔正常功能,降低口腔疾病风险,为长期口腔健康奠定基础。

相关问答FAQs
Q1:牙齿拥挤矫正一定要拔牙吗?
A:不一定,是否拔牙取决于拥挤程度、牙弓空间、患者面部比例等因素,轻度拥挤可通过扩大牙弓(如使用扩弓器)、推磨牙向远中移动等方式获得足够空间;中重度拥挤,若牙弓空间严重不足,且患者面部突度明显,可能需拔除1-4颗前磨牙(通常为第一或第二前磨牙)为剩余牙齿创造空间,医生会通过模型测量和X光片评估后制定方案。
Q2:矫正过程中牙齿疼痛正常吗?如何缓解?
A:正常,牙齿移动过程中牙周组织受到压力,可能出现3-5天酸痛,尤其在每次加力后1-2天最明显,缓解方法:避免咀嚼过硬食物,选择温凉软食(如粥、面条);遵医嘱服用非处方止痛药(如布洛芬);用温盐水漱口(一杯温水+半勺盐)缓解炎症;若疼痛剧烈或持续加重,需及时复诊检查矫治力是否过大。
