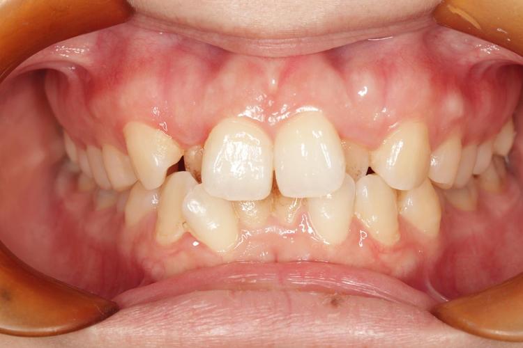
牙齿拥挤度是口腔正畸学中常见的错颌畸形类型,指牙弓内牙齿数量、体积与牙弓长度不匹配,导致牙齿排列紊乱、相互重叠或扭转,从正畸临床角度看,拥挤度不仅影响牙齿美观,还可能引发口腔健康问题,因此准确评估和矫治对口腔功能与面部美观的恢复至关重要。
根据严重程度,牙齿拥挤通常分为三度:轻度拥挤(拥挤度<4mm),表现为牙齿轻微重叠或扭转,对咬合功能影响较小;中度拥挤(拥挤度4-8mm),可见明显牙齿错位,可能伴随局部咬合紊乱;重度拥挤(拥挤度>8mm),牙齿严重重叠或唇(颊)舌向错位,常伴有牙弓狭窄、前牙深覆颌等问题,甚至影响颌骨发育,拥挤可发生于牙弓的任何区域,以前牙区最为常见,直接影响笑容美观;后牙区拥挤则可能导致咀嚼效率下降,食物嵌塞风险增加。

牙齿拥挤的危害具有隐匿性和渐进性,短期内可能表现为清洁困难,牙缝间食物残渣堆积,引发龋齿、牙龈炎;长期可导致牙周支持组织破坏,出现牙槽骨吸收、牙齿松动,拥挤牙齿的异常接触会改变咬合力传导路径,诱发颞下颌关节紊乱综合征,表现为关节弹响、疼痛、张口受限等,从心理层面看,前牙拥挤可能降低患者社交自信,尤其对青少年群体易产生自卑情绪。
正畸医生通过多维度评估明确拥挤度及病因,临床检查中,医生会通过视诊观察牙齿排列、咬合关系,用游标卡尺测量模型上的牙弓长度与牙齿宽度差值;影像学检查如全景片可排除多生牙、埋伏牙等先天因素,头颅侧位片则能分析颌骨与牙齿的比例关系;数字化技术(如口内扫描)通过3D模型重建,可精确计算每颗牙齿的拥挤量,并模拟矫治后的牙齿移动效果,为方案设计提供数据支持,具体评估方法如下:
| 评估方法 | 临床意义 | |
|---|---|---|
| 临床模型分析 | 测量牙弓长度与牙齿所需宽度,计算差值 | 直观判断拥挤量,制定矫治方案(如是否拔牙) |
| X线头影测量 | 分析牙槽骨、颌骨发育情况,测量牙齿倾斜度 | 评估骨骼因素对拥挤的影响,判断矫治难度 |
| 数字化扫描 | 3D重建牙颌模型,模拟牙齿移动路径 | 精确计算拥挤度,预测矫治效果,辅助隐形矫治方案设计 |
矫治牙齿拥挤的核心原则是“解除拥挤、排齐牙齿、稳定咬合”,轻度拥挤可通过扩大牙弓(如使用螺旋扩弓器)或邻面去釉(磨除少量牙釉质,为牙齿移动创造空间)解决;中度至重度拥挤则常需结合拔牙矫治,通过拔除第一前磨牙等非功能牙,为牙齿排齐提供充足空间,矫治器选择上,传统固定矫治器(金属/陶瓷托槽)适用范围广,能精确控制牙齿移动;隐形矫治器则凭借美观、便捷的优势,受到成年患者青睐,尤其适合轻度至中度拥挤病例,无论选择何种方式,矫治后均需佩戴保持器,防止牙齿复发移位。
相关问答FAQs:
Q1:牙齿拥挤不矫正会有什么后果?
A1:牙齿拥挤不矫正可能导致多方面问题:口腔清洁困难易引发龋齿和牙周病;牙齿异常磨损可能降低咀嚼效率;长期拥挤可能改变面部肌肉张力,影响侧面轮廓;严重时还可能诱发颞下颌关节紊乱,导致张口疼痛、弹响等。
Q2:牙齿拥挤矫正一定要拔牙吗?
A2:并非所有拥挤都需要拔牙,是否拔牙取决于拥挤程度、牙弓大小、面部突度等因素,轻度拥挤可通过扩弓、去釉等非拔牙方式解决;中重度拥挤或伴有牙弓狭窄、面部前突时,拔牙能为牙齿排齐提供空间,改善咬合关系和面部美观,具体方案需医生综合评估后确定。
