成人牙齿正畸效果是许多关注口腔健康与美观的成年人关心的话题,随着正畸技术的进步和社会对口腔健康的重视,越来越多成年人通过正畸治疗改善牙齿排列、咬合功能及面部美观,但成人正畸效果并非单一维度,而是涉及口腔健康、功能改善、美学提升及心理状态等多方面的综合体现,其效果好坏受多种因素影响,需科学认识与合理期待。
成人正畸效果的具体体现
成人正畸的核心目标是实现“功能与美学的统一”,效果可从以下四方面综合评估:

美观改善:从“牙齿参差”到“笑容自信”
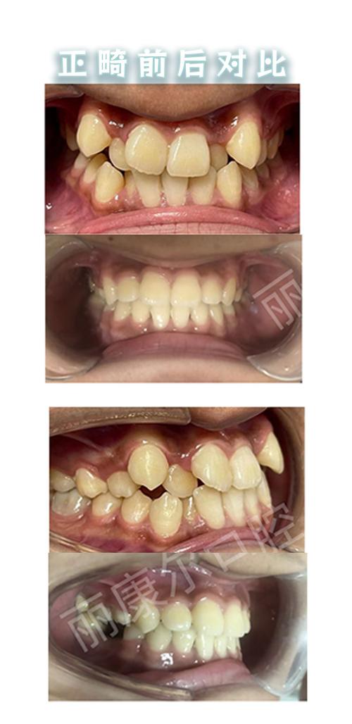
牙齿排列不齐(如拥挤、稀疏、龅牙、地包天等)是成年人正畸的主要诉求之一,通过矫正,牙齿可排列成整齐的弧线,中线对齐,微笑曲线自然,显著提升面部美观度,前牙拥挤的患者矫正后,笑容更开朗;深覆合、深覆盖者,侧面部轮廓更协调;牙缝过大者,闭口时更自然,这种改善不仅体现在静态微笑,还动态影响说话、进食时的表情管理,帮助成年人建立社交自信。
咬合功能:从“咀嚼障碍”到“高效舒适”
错颌畸形(如反颌、锁颌、开颌等)常导致咀嚼效率低下、牙齿磨耗不均,甚至引发颞下颌关节紊乱(TMD),成人正畸通过调整咬合关系,使上下牙齿尖窝相对、接触面积增大,咀嚼力分布更均匀,长期偏侧咀嚼的患者矫正后,双侧肌肉功能恢复平衡,关节弹响、疼痛等症状可能缓解;后牙锁颌者,可避免食物嵌塞和邻牙龋坏,提升生活质量。
口腔健康:从“清洁死角”到“维护便利”
牙齿拥挤、重叠易形成清洁死角,导致菌斑堆积,引发龋齿、牙周炎等问题,成人正畸将牙齿排列整齐后,牙面、邻间区更易清洁,牙刷、牙线可充分接触,降低牙周病风险,对于已有轻度牙周炎的患者,正畸过程中通过牙周联合治疗(如洁治、刮治),可控制炎症进展,甚至改善牙龈萎缩状况,为牙齿长期稳定提供健康基础。
心理状态:从“自卑回避”到“积极乐观”
牙齿问题常影响成年人的心理状态,部分人因牙齿不齐不敢大笑、说话,甚至产生社交焦虑,正畸改善牙齿外观后,这种心理障碍会逐渐消除,患者更愿意参与社交活动,心理状态更积极,研究表明,正畸治疗后的成年人自我认同感、生活满意度均有显著提升,这种心理层面的改善是效果的重要组成部分。

影响成人正畸效果的关键因素
成人正畸效果并非“千人一面”,而是受个体差异、治疗方式及患者配合度等多因素综合影响:
年龄与口腔基础条件
虽然成年人骨骼停止发育,但只要牙周健康(无严重牙周炎、牙槽骨吸收),正畸同样可行,成年人的颌骨可塑性较青少年差,治疗周期可能更长(通常1.5-3年),且需更关注牙周健康维护,若存在龋齿、牙周炎、缺牙等问题,需先完成基础治疗(如补牙、牙周治疗、种植牙修复等),再开始正畸,否则可能影响效果稳定性。
正畸方案与技术选择
现代正畸技术多样,不同方案适用于不同情况:
- 传统托槽矫正:适用范围广,性价比高,但对美观有一定影响;
- 隐形矫正(如隐适美、时代天使):美观舒适,可自行摘戴,适合对美观要求高的成年人,但需严格佩戴时间(每天22小时以上);
- 舌侧矫正:托槽粘在牙齿内侧,完全隐形,但技术难度高、费用昂贵,需医生经验丰富;
- 正畸联合正颌手术:针对严重骨骼性错颌(如重度地包天、面部不对称),需先通过正畸调整牙齿位置,再通过手术改善骨骼关系,效果显著但创伤较大。
方案选择需结合牙齿畸形类型、面部基础、经济预算及患者需求,由专业医生制定个性化方案。
患者配合度与维护意识
成人正畸效果“三分靠医生,七分靠患者”,矫正中需严格遵医嘱佩戴矫治器(如隐形牙套、橡皮筋),定期复诊(通常4-6周一次),避免食用过硬、黏性食物(如坚果、口香糖),防止托槽脱落,矫正后需终身佩戴保持器(初期每天24小时,后期逐渐减少至夜间佩戴),否则牙齿可能因复发力回到原始位置,导致效果前功尽弃。
成人正畸与青少年正畸的效果差异
成人正畸与青少年正畸因生理状态不同,效果表现存在一定差异:
- 骨骼调整能力:青少年处于生长发育期,可通过功能矫治器、扩弓等方式引导颌骨生长,改善骨骼性畸形;成年人骨骼已定型,严重骨骼问题需依赖正颌手术,单纯正畸对骨骼的改善有限。
- 治疗周期:青少年新陈代谢快,牙齿移动效率高,治疗周期通常1-2年;成年人牙齿移动速度较慢,且可能因牙周状况、工作繁忙等因素延长治疗周期。
- 美学需求:成年人对美观要求更高,更倾向于选择隐形、舌侧等美观性强的矫正方式;青少年可能更关注舒适度和便捷性。
常见误区与科学认知
“成年人正畸会掉牙,伤牙”
科学认知:正确操作的成人正畸不会导致牙齿脱落,相反,通过矫正改善牙齿排列,可减少牙周创伤,维护牙齿长期健康,但若本身存在严重牙周炎未控制,正畸可能加重炎症,因此需先治疗牙周病再矫正。
“矫正后一定会反弹,没用”
科学认知:牙齿矫正后存在复发趋势,主要与牙齿周围组织的记忆性、不良习惯(如咬唇、吐舌)及保持器佩戴不当有关,通过终身佩戴保持器、避免不良习惯,可有效降低复发风险,维持长期效果。
成人正畸常见问题及效果预期表
| 问题类型 | 常见情况 | 可能解决方案 | 效果预期 |
|---|---|---|---|
| 牙齿拥挤 | 前牙重叠、牙弓狭窄 | 拔牙矫正、非拔牙扩弓、邻面去釉 | 牙齿排列整齐,牙弓形态改善,咀嚼功能提升 |
| 牙缝过大 | 前牙稀疏、牙量小于骨量 | 关闭牙缝、修复体辅助 | 牙齿接触紧密,微笑美观度显著提升 |
| 深覆合/深覆盖 | 上前牙盖下前牙过多、龅牙 | 拔牙矫正、压低上前牙、升高后牙 | 咬合关系改善,面部凸度减轻,关节症状缓解 |
| 骨骼性错颌 | 重度地包天、面部不对称 | 正畸联合正颌手术 | 面型协调,咬合功能恢复正常 |
相关问答FAQs
Q1:成人正畸后牙齿会反弹吗?如何预防?
A1:成人正畸后存在一定复发风险,主要原因包括:①牙齿周围牙龈、牙槽骨的改建尚未完全稳定(通常需1-2年);②不良习惯(如咬唇、吐舌、夜磨牙)未纠正;③保持器佩戴不当,预防措施:①矫正结束后严格佩戴保持器(初期全天,后期夜间持续数年甚至终身);②定期复查(每3-6个月一次),及时发现复发迹象;③纠正不良习惯,必要时佩戴夜磨牙垫。
Q2:成人正畸需要拔牙吗?拔牙会影响脸型吗?
A2:是否拔牙需根据牙齿拥挤程度、面部突度、咬合关系等综合判断,对于中度以上拥挤、龅牙或需改善凸面型的患者,拔牙(通常拔除第一前磨牙)可为牙齿移动提供空间,使排列更稳定,面部更协调,拔牙后脸型变化取决于原始畸形类型:若本身存在凸嘴,拔牙后凸度可能减轻,脸型更柔和;若面部饱满,拔牙后可能更显精致,但不会导致“凹陷脸型”,医生会通过方案设计维持面部平衡。
