正畸治疗作为改善口腔功能与面部美观的重要手段,近年来在深圳等一线城市受到广泛关注,即便是像深圳北大口腔这样在业内具有一定知名度的机构,也难免出现正畸失败的案例,给患者带来生理与心理的双重困扰,本文将从失败原因、典型案例、风险规避及维权途径等方面,详细分析“深圳北大正畸失败”这一问题,为潜在患者提供参考。
正畸失败并非单一因素导致,而是多环节问题叠加的结果,医生资质与经验是核心影响因素,部分正畸医生虽持有执业资格,但缺乏处理复杂病例的能力,例如对骨性畸形、牙周病合并正畸等特殊情况判断不足,深圳北大口腔作为连锁机构,医生团队流动性可能较大,若患者接诊的医生临床经验不足,易在方案设计阶段出现偏差,如拔牙位置选择错误、支抗设计不当等,最终导致牙齿排列不齐、咬合紊乱等问题,方案设计缺陷是直接诱因,个性化方案需结合患者的颌面条件、牙周健康状况、骨骼发育情况等综合制定,但部分机构可能为追求效率套用模板,忽视患者个体差异,对于骨性II类错颌患者,若未配合正畸-正颌联合治疗,单纯通过正畸移动牙齿可能无法改善侧貌,甚至加重“凸嘴”问题,技术操作环节的疏漏也不容忽视,如托槽粘贴位置偏差、弓丝弯制精度不足、复诊调整力度过大等,均可能引发牙根吸收、牙槽骨损伤等并发症。

患者自身配合度同样是影响治疗效果的关键,正畸治疗周期通常为1-3年,期间需严格佩戴矫治器、保持口腔卫生、定期复诊,部分患者因工作繁忙或忽视医嘱,延长复诊间隔,导致牙齿移动失控;或清洁不到位引发龋齿、牙周炎,进而影响牙齿稳定,深圳北大口腔作为高端机构,患者对治疗效果预期较高,若沟通不足导致患者对治疗周期、潜在风险认知不足,易在效果未达预期时产生“失败”的主观感受。
机构管理层面的漏洞也可能加剧问题,术前检查不全面,未发现患者存在的颞下颌关节紊乱、埋伏牙等潜在风险;术后跟踪机制缺失,对患者出现的疼痛、关节弹响等症状未及时干预;或在纠纷发生时推诿责任,缺乏有效的售后处理流程。
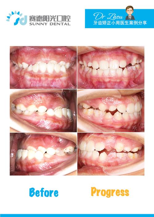
以深圳北大口腔某患者案例为例:25岁女性患者因牙齿拥挤选择该机构进行正畸,医生设计拔除四颗前磨牙的方案,治疗过程中患者多次反馈“咬合不适”,但医生解释为“正常调整期”,拆除矫治器后,患者发现牙齿中线偏移0.5cm,后牙咬合过紧,且出现颞下颌关节弹响疼痛,后续影像学检查显示,部分牙根吸收达1/3,牙槽骨厚度减少,与机构沟通时,对方称“个体差异”拒绝赔偿,患者不得不通过法律途径维权,耗时近两年才获得部分赔偿。
为更直观呈现正畸失败的表现及原因,以下为常见失败类型统计表:

| 失败类型 | 具体表现 | 可能原因 |
|---|---|---|
| 牙齿排列不齐 | 牙齿扭转、间隙残留、拥挤未改善 | 方案设计错误、托槽粘贴偏差、患者未佩戴橡皮筋 |
| 咬合功能障碍 | 咬合过深/过浅、关节弹响、咀嚼疼痛 | 支抗控制不足、咬合平面设计错误、未处理关节问题 |
| 牙周组织损伤 | 牙龈萎缩、牙槽骨吸收、牙齿松动 | 口腔卫生差、正畸力过大、未治疗牙周炎 |
| 美观效果不达标 | 中线偏移、侧貌改善不明显、笑容弧度不协调 | 医生审美偏差、方案个性化不足、患者沟通不充分 |
| 牙根吸收 | 牙根长度缩短、牙齿敏感 | 力度过大、治疗时间过长、个体易感性 |
面对正畸失败风险,患者需提前做好规避措施,选择机构时,应核查《医疗机构执业许可证》及医生的《医师资格证书》《医师执业证书》,优先选择有正畸专业培训背景(如中华口腔医学会正畸专业委员会认证)且案例丰富的医生,术前沟通需充分,明确治疗方案、预期效果、潜在风险及费用构成,并要求签订知情同意书,将关键条款(如失败责任划分、赔偿方案)书面化,治疗过程中,严格遵医嘱佩戴矫治器,保持口腔卫生(使用正畸专用牙刷、水牙线),出现异常疼痛、松动或关节不适及时复诊,拆除矫治器后,必须佩戴保持器,并按医嘱定期复查,这是维持效果的关键环节。
若不幸遭遇正畸失败,维权需遵循合法途径,收集完整证据,包括病历资料(含术前检查、方案设计、治疗记录、影像学报告)、沟通记录(微信聊天、录音)、费用凭证、治疗前后对比照片等,与机构管理层协商,明确诉求(如退款、赔偿修复治疗费、精神损害抚慰金等),并要求书面记录协商过程,若协商无果,可向深圳市卫生健康委员会医政医管处投诉,或申请第三方医疗事故技术鉴定(通过当地医学会或司法鉴定机构),明确机构是否存在过错及责任比例,对鉴定结果不服的,可向法院提起医疗损害赔偿诉讼,通过法律途径维护权益。
相关问答FAQs
深圳北大正畸失败如何收集有效证据?
答:收集证据需全面且注重细节,医疗证据方面,要求机构提供完整病历(含X光片、模型、治疗记录),若机构拒绝,可向卫健委申请调取;沟通证据方面,保存与医生的微信聊天记录、电话录音(建议提前告知录音目的,确保合法);费用证据方面,保留缴费发票、刷卡记录等,可拍摄牙齿、面部状态的照片和视频,记录疼痛、关节弹响等症状,并请第三方见证,若出现牙根吸收、骨损伤等问题,及时到其他三甲医院复查并保存新的诊断报告,这些均是维权的关键依据。
正畸失败后能否要求全额退款和赔偿?
答:能否全额退款及赔偿需根据机构过错程度确定,若机构存在明显过错(如方案设计错误、操作违规导致牙根吸收),根据《民法典》第1218条,患者可要求机构退还已支付费用,并赔偿修复治疗费(如重新正畸、牙周治疗)、误工费、交通费等直接损失;若造成严重功能障碍或精神损害,还可主张精神损害抚慰金,若机构仅存在轻微瑕疵(如美观效果略差但功能正常),可能需按责任比例部分退款,建议通过医疗事故鉴定明确责任比例,再与机构协商或通过诉讼确定赔偿金额,避免盲目诉求。

