正畸治疗是口腔医学中通过外力装置调整牙齿位置、改善咬合关系及面部美观的重要手段,而橡皮链作为正畸临床中常用的辅助工具,与种植体支抗的结合应用,为复杂错颌畸形的矫正提供了更高效、精准的解决方案,本文将围绕正畸治疗中橡皮链与种植体支抗的作用机制、协同应用场景、临床优势及注意事项展开详细阐述。
正畸治疗与橡皮链的基础作用
正畸治疗的核心在于通过持续、可控的力引导牙齿在牙槽骨内移动,最终实现牙齿排列整齐、咬合功能稳定及面部协调,在这一过程中,正畸医生需借助各类矫治装置(如托槽、弓丝、支抗等)传递力量,而橡皮链(elastic chain)作为一种弹性材料,由医用高分子聚合物制成,具有轻力、持续的特点,是传递间歇性或持续性力量的关键工具。

橡皮链的主要作用包括:关闭拔牙后的间隙、内收前牙、调整牙齿扭转、纠正中线偏移等,根据牙齿移动需求,医生可选择不同规格的橡皮链(如不同直径、弹性模量),通过连接托槽上的钩状结构或种植体附件,将力量作用于目标牙齿,其优势在于力量柔和且衰减缓慢(通常可维持1-2周有效力值),减少牙根吸收、疼痛等不良反应,同时操作简便,患者可部分自行更换(需医生指导)。
种植体支抗:正畸中的“稳定基石”
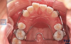
传统正畸治疗中,支抗的控制是难点——若支抗不足,可能导致目标牙齿移动时,支抗牙发生不希望的位置改变(如内收前牙时后牙前移,占据拔牙间隙),种植体支抗(orthodontic implant anchorage)的出现,通过将微型种植体(直径1.5-3.0mm)植入牙槽骨,为正畸提供“绝对支抗”,有效解决了这一难题。
种植体支抗的原理是:种植体与周围骨组织形成骨结合(osseointegration),稳定性远大于天然牙,可在正畸过程中几乎不发生移位,从而将矫治力精准传递至目标牙齿,其植入部位灵活,常见于上颌后牙区(如颧牙槽嵴、磨牙后区)、下颌骨体部等,根据治疗需求可选择临时性(治疗结束后取出)或永久性(留作修复使用)种植体。
种植体支抗的应用范围广泛:包括但不限于上颌前牙内收、下颌磨牙压低、骨性开合的矫正、种植体修复前的间隙调整等,尤其适用于常规支抗难以满足的复杂病例。

橡皮链与种植体支抗的协同应用:高效精准的牙齿移动
当橡皮链与种植体支抗结合时,二者优势互补:种植体支抗提供稳定的“固定点”,橡皮链则作为“力的传递媒介”,实现高效、可控的牙齿移动,以下是常见的协同应用场景及操作逻辑:
关闭拔牙间隙,实现前牙内收
适用病例:因牙列拥挤或前突拔除前磨牙后,需集中关闭拔牙间隙,内收前牙改善面型。
操作方法:在上下颌后牙区(如第二磨牙远中)植入微型种植体作为支抗,使用橡皮链一端连接种植体头部附件,另一端连接尖牙或前牙托槽的钩状结构,通过橡皮链的回缩力(约50-200g,根据牙齿移动需求调整)持续牵引前牙向远中移动,种植体支抗确保后牙几乎不前移,拔牙间隙被完全用于前牙内收,矫正效率显著提升(传统方法需6-12个月,结合种植体支抗可缩短至3-6个月)。
纠正中线偏移,调整牙齿对称性
适用病例:因乳牙早失、牙周病或不良习惯导致牙齿中线偏斜(如上颌中线偏离面部中线2mm以上)。
操作方法:在偏移侧的对颌后牙区植入种植体支抗,橡皮链连接种植体与偏移侧中切牙托槽,通过持续牵引力将牙齿移动至正确中线位置,种植体支抗提供的稳定支抗,可避免邻牙干扰,确保中线纠正的精确性(误差可控制在1mm以内)。
压低伸长牙齿,改善咬合关系
适用病例:因个别牙齿伸长导致深覆合、开合,或种植修复前需调整邻牙高度以获得共同就位道。
操作方法:在伸长牙齿的根方牙槽骨植入种植体,橡皮链以垂直向角度连接种植体与伸长牙齿托槽,施加持续压低力(约100-150g),种植体支抗提供垂直向稳定支抗,避免牙齿压低时邻牙倾斜,同时减少牙根吸收风险。

磨牙前移与后牙支抗控制
适用病例:需集中前磨牙间隙进行修复,或避免磨牙前移影响咬合功能。
操作方法:在第二磨牙远中植入种植体,橡皮链连接种植体与第一磨牙托槽,通过橡皮链的牵引力控制第一磨牙前移速度,同时为前牙区矫正提供间隙,种植体支抗确保后牙前移量可控,避免过度前移导致咬合紊乱。
橡皮链联合种植体支抗的临床优势与注意事项
(一)核心优势
- 高效性:种植体支抗的“绝对稳定性”结合橡皮链的持续轻力,显著缩短牙齿移动周期,尤其适合复杂病例。
- 精准性:可精确控制牙齿移动方向(如垂直压低、水平内收)、力值大小及移动距离,减少误差。
- 舒适性:橡皮链力量柔和,相比传统颌间牵引(如头帽、口外弓),患者异物感更小,依从性更高。
- 适用性广:适用于青少年及成人患者,尤其适合常规支抗不足、牙周条件较差(如牙槽骨吸收)或拒绝手术的患者(微型种植体植入创伤小)。
(二)注意事项
- 种植体植入时机:一般选择在正畸开始后1-2周,待牙齿初步排齐后植入,避免影响后续牙齿移动;若需即刻种植(如即刻修复前正畸),需评估牙槽骨密度及稳定性。
- 橡皮链更换周期:橡皮链在口腔唾液中会逐渐老化、力量衰减(约2周衰减20%-30%),需定期复诊更换(通常1-2次/月),确保矫治力持续有效。
- 口腔卫生维护:种植体支抗周围及橡皮链易存留食物残渣,需加强口腔清洁(使用正畸专用牙刷、冲牙器),避免种植体周围炎或龋坏。
- 力值控制:橡皮链力量需个体化调整,过大的力(>200g)可能导致牙根吸收、疼痛或种植体松动;过小的力则无法有效移动牙齿。
- 并发症处理:若出现种植体松动、周围软组织红肿或橡皮链断裂,需及时复诊调整,必要时重新植入种植体。
橡皮链联合种植体支抗的应用场景与优势总结
| 应用场景 | 具体操作 | 核心优势 |
|---|---|---|
| 关闭拔牙间隙 | 种植体支抗植入后牙区,橡皮链连接种植体与前牙托槽,内收前牙 | 支抗稳定,间隙关闭效率高,后牙几乎不前移 |
| 纠正中线偏移 | 种植体支抗植入对颌后牙区,橡皮链牵引偏移牙齿至中线 | 精确控制,避免邻牙干扰,误差<1mm |
| 压低伸长牙齿 | 种植体植入伸长牙根方,橡皮链垂直向加压 | 垂直向支抗稳定,减少牙根吸收,改善深覆合/开合 |
| 磨牙前移控制 | 种植体植入第二磨牙远中,橡皮链连接第一磨牙,控制前移速度 | 避免磨牙过度前移,为前牙区间隙创造条件 |
相关问答(FAQs)
问题1:种植体支抗配合橡皮链移动牙齿过程中,会出现疼痛吗?如何缓解?
解答:种植体支抗植入后1-3天内,局部可能出现轻微疼痛、肿胀(类似拔牙后反应),通常可自行缓解;橡皮链牵引初期(3-5天),目标牙齿可能出现酸胀感,属正常生理反应,缓解方法包括:① 遵医嘱服用非甾体抗炎药(如布洛芬);② 避免用患侧咀嚼,选择软食;③ 保持口腔卫生,减少刺激,若疼痛持续加重或出现种植体松动,需及时复诊调整。
问题2:正畸结束后,种植体支抗需要取出吗?取出后会影响牙齿效果吗?
解答:临时性微型种植体支抗(直径<2.0mm)一般无需手术取出,医生会用专用器械将其旋出,创口小(约2-3mm),压迫止血后1-2周即可愈合,不会影响牙齿效果;若为大型种植体支抗(如颧种植体)或计划留作修复使用,则无需取出,种植体取出后,牙齿已通过正畸治疗稳定在目标位置,只要保持器佩戴规范(一般需夜间佩戴1-2年),效果可长期维持。
通过橡皮链与种植体支抗的协同应用,正畸治疗实现了从“经验性操作”向“精准化控制”的跨越,为各类错颌畸形的矫正提供了更优解,患者在治疗中需严格遵循医嘱,加强口腔维护,方能达到理想的治疗效果。
