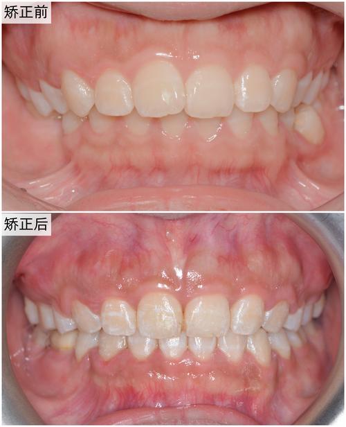
牙齿正畸中的“收缩牙弓”是指通过正畸手段减小牙弓的宽度和长度,以调整牙齿排列、改善咬合关系及面部美观的治疗方式,牙弓是牙齿排列形成的弓形结构,分为上牙弓和下牙弓,其大小与形态直接影响牙齿的整齐度、咬合功能及面部轮廓,当牙弓过大、牙齿排列拥挤或前牙前突时,收缩牙弓成为重要的治疗目标,通过重新分配牙弓空间,使牙齿移动至理想位置,从而达到功能与美观的统一。
收缩牙弓的核心目的
收缩牙弓并非单纯缩小牙弓,而是基于个体口腔情况,通过精准控制牙齿移动,实现牙弓与颌骨、面部软组织的协调,其主要目的包括:

- 解决牙齿拥挤:牙弓空间不足时,牙齿会排列不齐(如重叠、扭转),收缩牙弓可释放足够空间,使牙齿整齐排列,轻度拥挤可通过少量缩小牙弓间隙解决,重度拥挤则需结合拔牙为内收牙齿提供空间。
- 改善前牙前突:上颌前牙突出(俗称“龅牙”)常因牙弓长度或宽度过大导致,通过收缩牙弓并内收前牙,可减少嘴唇前突,改善侧貌美观。
- 调整咬合关系:牙弓宽度异常可能导致深覆合、深覆盖或反颌(地包天),收缩牙弓可协调上下牙弓的匹配度,使上下牙齿咬合接触更稳定,咀嚼功能更高效。
- 为修复治疗创造条件:部分患者因牙齿缺失导致邻牙倾斜,牙弓形态紊乱,收缩牙弓可排齐牙齿,为种植牙或烤瓷牙修复提供基础。
- 适应颌骨发育限制:对于颌骨发育不足但牙弓过大的患者(如“骨性龅牙”代偿),收缩牙弓可协调牙弓与颌骨的关系,避免过度代偿导致的牙齿问题。
收缩牙弓的常用方法及特点
收缩牙弓需根据患者年龄、拥挤度、颌骨条件等选择个性化方案,临床常用方法如下:
(一)拔牙矫治(核心方法)
原理:通过拔除部分牙齿(通常为第一或第二前磨牙),为内收牙齿提供“间隙”,利用拔牙间隙缩小牙弓长度并调整牙齿位置。
适用情况:
- 中重度牙弓拥挤(拥挤度>4mm);
- 前牙前突明显(上颌突距>8mm);
- 上下牙弓宽度不协调,需通过拔牙调整咬合。
优势:效果稳定,可显著改善拥挤和前突,为牙齿内收提供充足空间。
注意事项:需严格把握拔牙适应证,避免过度拔牙影响面部丰满度;治疗后需保持器维持,防止复发。
(二)非拔牙矫治(轻度病例适用)
- 扩大牙弓与收缩牙弓结合:
对于轻度牙弓宽度不足导致的拥挤,可先通过扩弓(如螺旋扩弓器、快速扩弓器)增加牙弓宽度,再通过内收牙齿缩小牙弓长度,实现“扩-收”平衡。 - 推磨牙向后:
利用矫治器(如摆式矫治器、磁力装置)将上颌第一磨牙向远中移动,增加牙弓后段长度,为前牙内收提供空间,间接实现牙弓长度收缩。
适用情况:轻度拥挤、磨牙前移不足、牙弓宽度基本正常。
优势:保留自然牙列,避免拔牙创伤。
局限性:仅适用于轻度病例,对中重度拥挤效果有限。
(三)支抗控制技术
原理:支抗是正畸治疗中“抵抗牙齿移动的支撑结构”,收缩牙弓时需通过强化支抗,避免后牙前移导致间隙丢失,常用支抗控制方法包括:
- 种植钉支抗:在颌骨内植入微型种植体,作为“移动牙齿的锚点”,精准控制前牙内收和后牙稳定,是目前最有效的支抗手段之一。
- 口外弓:通过头帽和口外弓装置,利用外部力量抑制上颌磨牙前移,适用于青少年患者。
- 腭杆/舌弓:连接左右后牙,增强支抗强度,防止牙齿在移动过程中发生倾斜。
(四)不同矫治器的应用
| 矫治器类型 | 收缩牙弓特点 | 适用人群 |
|---|---|---|
| 传统金属托槽 | 矫治力精准,可通过弓丝弯制实现牙弓三维控制(宽度、长度、转矩),适合复杂病例。 | 牙齿拥挤严重、需联合拔牙或支抗控制的患者。 |
| 陶瓷托槽 | 美观性优于金属托槽,力学性能接近,适合对美观有要求的患者。 | 轻中度拥挤、成人患者。 |
| 隐形矫治器 | 通过3D打印牙套序列实现牙齿移动,可精确设计牙弓收缩方案,方便清洁。 | 轻中度拥挤、依从性好的成人患者。 |
收缩牙弓的适用情况与诊断依据
并非所有牙齿问题都需收缩牙弓,需通过专业检查综合判断:
- 临床检查:测量牙齿拥挤度(牙弓 available space 所需 space)、检查咬合关系(如深覆合、深覆盖)、评估面部对称性。
- 影像学检查:
- X线头影测量:分析牙弓长度、宽度,判断上下牙弓协调性;
- 曲面断层片:观察牙根形态、牙槽骨情况,排除正畸禁忌证(如牙根吸收、严重牙周炎)。
- 模型分析:制作牙模,测量牙弓宽度(如尖牙间宽度、第一磨牙间宽度),计算所需间隙。
典型适用人群:
- 牙齿拥挤Ⅲ度(拥挤度>8mm);
- 上颌前牙前突,影响唇部闭合;
- 上下牙弓宽度不匹配,如上牙弓宽于下牙弓导致深覆盖;
- 部分骨性畸形患者(如上颌发育过度),需通过牙弓收缩代偿颌骨差异。
收缩牙弓的注意事项与风险
- 牙根吸收风险:牙齿移动过程中,牙根尖端可能出现少量吸收,通常轻微且不影响功能,但过度加力或移动距离过大可能加重吸收,需定期复查X线片。
- 复发风险:治疗后牙齿有回归原位的趋势,尤其是牙周组织改建未完成时,需严格佩戴保持器(通常保持2-3年,夜间长期佩戴)。
- 口腔卫生维护:矫治期间牙齿清洁难度增加,食物易嵌塞,需使用正畸牙刷、牙线、冲牙器,避免龋齿和牙周炎。
- 颞下颌关节(TMJ)影响:牙弓收缩可能改变咬合关系,部分患者可能出现关节弹响、疼痛,需及时调整矫治方案。
- 年龄因素:青少年患者骨改建活跃,治疗时间短(1.5-2年);成人患者骨密度高,移动速度较慢,需延长治疗时间(2-3年),且需评估牙周健康状况。
相关问答FAQs
Q1:收缩牙弓一定会拔牙吗?
A:不一定,是否拔牙需根据拥挤度、牙弓形态、面部美观等因素综合判断,轻度拥挤(拥挤度<4mm)可通过扩大牙弓、推磨牙向后等非拔牙方法解决;中重度拥挤(拥挤度>8mm)或前牙前突明显时,拔牙是提供内收空间的有效手段,能获得更稳定的治疗效果,正畸医生会通过模型测量、X线分析等制定个性化方案,并非“必须拔牙”。
Q2:收缩牙弓后牙齿会松动吗?会复发吗?
A:治疗中牙齿会出现生理性松动(牙根周围牙槽骨改建导致),这是正常现象,牙齿移动到位后会逐渐稳定,若治疗后未佩戴保持器或牙周健康不佳,牙齿可能复发(回到原位或排列不齐),保持器佩戴至关重要:通常拆除矫治器后需全天佩戴保持器6-12个月,之后夜间长期佩戴,同时定期复查口腔情况,可有效降低复发风险。
