牙齿矫正(正畸治疗)是口腔医学中常见的修复手段,主要通过移动牙齿、调整咬合关系及颌骨位置来改善口腔功能和面部美观。“突嘴”(医学上常称为“前牙深覆盖”或“双颌前突”)是常见的就诊诉求之一,许多患者希望通过矫正改善嘴唇前凸、侧面轮廓不流畅的问题,矫正牙齿究竟能否改善突嘴?其效果又受哪些因素影响?本文将从原理、适用情况、潜在风险及应对策略等方面展开详细分析。
牙齿矫正改善突嘴的基本原理
牙齿矫正的核心机制是通过施加持续、轻柔的生物力,引导牙齿在牙槽骨内缓慢移动,同时刺激牙槽骨改建(吸收一侧、增生另一侧),最终达到调整牙齿位置、协调颌骨关系的目的,针对突嘴问题,矫正的效果主要取决于突嘴的成因——是牙齿本身前移(牙齿性突嘴),还是颌骨发育过度(骨性突嘴),或是两者并存(混合型突嘴)。

牙齿性突嘴:矫正效果显著
牙齿性突嘴的主要特征是上颌或下颌牙齿整体向唇侧倾斜或前移,但颌骨大小和位置基本正常,这种情况通常由不良习惯(如吮指、咬唇、口呼吸)、替牙障碍(如乳牙早失导致邻牙前移)或牙齿拥挤导致的前牙代偿性前突引起。
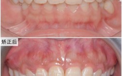
矫正时,正畸医生会通过“拔牙减径”(如拔除前磨牙)为内收牙齿提供空间,再借助种植钉、支抗钉等辅助装置,将前牙整体向舌侧移动,从而减少嘴唇的突度,通过调整后牙位置,建立稳定的咬合关系,避免复发,此类患者的矫正效果通常较好,嘴唇周围软组织也会随牙齿内收而改善,侧面轮廓更自然。
骨性突嘴:矫正效果有限,需联合治疗
骨性突嘴的根源是颌骨发育异常,如上颌骨前突(“凸嘴”)、下颌骨前突(“地包天”的反向表现)或双颌前突(上下颌均前突),这类患者的牙齿位置可能正常,但颌骨整体靠前,导致面部中份或下份前凸。
单纯的牙齿矫正无法改变颌骨大小和位置,因此对骨性突嘴的改善效果有限,对于青少年患者(生长发育高峰期),可通过功能性矫治器(如FRⅢ矫治器、双颌垫矫治器)引导颌骨向正常方向生长;对于成年骨性突嘴患者,若症状较轻,可通过正畸治疗调整牙齿代偿(如将过度前倾的牙齿直立),轻微改善软组织突度;若症状严重,则需联合正颌手术(如上颌骨LefortⅠ型截骨术、下颌骨矢状劈开术),通过移动颌骨位置从根本上解决问题,再配合正畸精细调整咬合。
混合型突嘴:需综合评估方案
临床上,多数突嘴患者属于牙齿性与骨性并存的混合型,矫正前,医生需通过头影测量(X线头颅侧位片分析)、模型分析、临床检查等手段,明确牙齿和颌骨的占比,若以牙齿性为主,可通过正畸内收牙齿改善;若骨性成分占比较高,则需考虑正畸-正颌联合治疗,避免单纯正畸导致“面型凹陷”等不良后果。
矫正牙齿可能导致“突嘴”的误区与风险
尽管矫正牙齿多数情况下能改善突嘴,但部分患者矫正后可能出现“突嘴加重”或“效果不理想”的情况,通常与以下因素相关:

方案设计不当:忽视病因与拔牙指征
将需要拔牙的牙齿性突嘴患者(如严重拥挤、前牙前突量过大)设计成不拔牙矫正,仅通过磨改牙齿邻面(片切)提供少量空间,导致牙齿无法充分内收,甚至可能因唇向移动前牙加重突嘴,对骨性突嘴患者强行正畸,试图通过“推磨牙向后”解决前突,可能因支抗不足导致后牙前移、前牙无法内收,反而加剧面凸。
矫治器选择与操作误差
传统矫正中,若托槽位置粘贴错误(如前牙托槽过于唇向),可能引导牙齿向错误方向移动;隐形矫正若附件设计不当或患者未按医嘱佩戴(每天佩戴时间不足20小时),也会导致牙齿移动偏离计划,影响突嘴改善效果。
矫正后复发:未坚持佩戴保持器
牙齿移动后,牙周组织(牙槽骨、牙龈、牙周膜)需要时间改建稳定,若矫正结束后未按医嘱佩戴保持器(尤其是夜间佩戴),或过早摘除保持器,可能导致前牙反弹至原位,再次出现突嘴,不良习惯(如咬上唇、吐舌)未纠正,也会增加复发风险。
不同类型突嘴的矫正效果对比
为更直观展示矫正对突嘴的改善效果,以下通过表格对比常见类型的特点及矫正策略:

| 突嘴类型 | 主要特征 | 矫正方案 | 预期效果 |
|---|---|---|---|
| 牙齿性突嘴 | 牙齿前倾/前移,颌骨位置正常;X线显示颌骨大小比例协调 | 拔牙正畸(内收前牙)、支抗钉辅助 | 前牙明显内收,嘴唇突度改善,侧面轮廓流畅 |
| 轻度骨性突嘴 | 上颌/下颌轻度前突,牙齿代偿性前倾;ANB角轻度异常 | 正畸调整牙齿代偿(直立前牙)、功能性矫治器(青少年) | 软组织突度轻微改善,需结合正颌手术更理想 |
| 重度骨性突嘴 | 颌骨明显前突,ANB角异常;牙齿位置基本正常 | 正畸-正颌联合治疗(手术移动颌骨+正畸精细调整) | 面型显著改善,突嘴基本纠正,咬合功能恢复 |
| 混合型突嘴(牙性为主) | 牙齿前突+轻度颌骨前突;前牙覆盖>7mm | 拔牙正畸+少量颌骨调整 | 牙齿内收为主,颌骨改善为辅,突嘴明显缓解 |
| 混合型突嘴(骨性为主) | 颌骨前突+牙齿代偿;SNA角/SNB角异常 | 正颌手术为主+正畸辅助 | 面型根本改善,突嘴问题解决 |
矫正牙齿与突嘴改善的关键
矫正牙齿能否改善突嘴,核心在于“明确病因”和“精准方案”,牙齿性突嘴通过正畸治疗通常可获得满意效果;骨性突嘴则需正畸与正颌联合,或根据严重程度选择保守改善,避免矫正后突嘴加重的关键在于:
- 专业评估:矫正前必须拍摄头颅侧位片、曲面断层片,进行头影测量分析,区分牙齿与骨性成分;
- 个性化方案:由经验丰富的正畸医生制定拔牙、支抗设计等计划,避免“一刀切”;
- 配合治疗:矫正中遵医嘱佩戴矫治器,纠正不良习惯;矫正后坚持佩戴保持器,定期复查。
相关问答FAQs
Q1:矫正牙齿真的会让嘴巴变突吗?
A:通常不会,但若存在以下情况可能导致突嘴加重:① 方案设计错误(如该拔牙未拔牙、骨性突嘴强行正畸);② 矫治器操作不当(如托槽位置错误);③ 矫正后未戴保持器导致复发,选择正规医疗机构和专业正畸医生,可最大限度避免此类风险。
Q2:骨性突嘴只能靠手术矫正吗?成年后还有非手术的改善方法吗?
A:重度骨性突嘴(如上颌前突>5mm)需通过正颌手术才能根本解决,成年后非手术改善方法有限,但可通过:① 正畸治疗调整牙齿代偿(如将前倾的前牙直立),轻微改善软组织突度;② 微整形(如颏部玻尿酸填充,视觉上平衡面中凸度);③ 修饰性化妆(通过阴影修饰侧面轮廓),这些方法效果有限,若追求显著改善,手术仍是首选。
