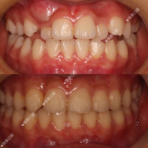
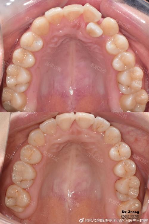
错合畸形是口腔临床常见的疾病,指儿童在生长发育过程中,由先天遗传因素或后天环境因素导致的牙齿、颌骨、颅面之间的位置关系异常,不仅影响面部美观,还可能造成咀嚼功能下降、发音障碍、牙周组织损伤甚至心理健康问题,在错合畸形的诸多表现中,磨牙相关问题尤为突出,二者常相互影响,而正畸治疗则是纠正错合、缓解磨牙症状的核心手段。
错合畸形与磨牙的关联机制
错合畸形涵盖多种类型,如牙齿拥挤、牙列稀疏、深覆合、深覆盖、反合(俗称“地包天”)、锁合等,这些异常咬合状态会直接或间接引发磨牙行为,磨牙分为白天清醒时的紧咬牙和夜间睡眠时的磨牙症,后者发生率更高且危害更隐蔽,从病理机制看,错合与磨牙的关系主要体现在以下三方面:

咬合干扰与神经肌肉代偿
正常咬合中,上下牙齿的尖窝交错应形成稳定的接触点,当存在错合(如个别牙齿早接触、锁合、深覆合导致下颌被迫后退)时,咬合平衡被打破,为寻求更舒适的咬合位置,咀嚼肌(如咬肌、颞肌)会不自主收缩,试图通过磨耗牙齿来调整咬合关系,长期形成磨牙习惯,深覆合患者下颌前伸受限,后牙区咬合过紧,夜间睡眠时肌肉松弛,下颌无意识运动导致磨牙。
颞下颌关节紊乱(TMD)的连锁反应
错合畸形常伴随颞下颌关节(TMJ)负荷异常,如关节盘位置偏移、关节周围肌肉张力失衡,关节紊乱会通过神经反射引发肌肉痉挛,而磨牙既是肌肉痉挛的表现,又会进一步加重关节负担,形成“错合→TMD→磨牙→加重错合”的恶性循环,临床数据显示,约60%的TMD患者伴有磨牙症,而其中70%存在不同程度的错合畸形。
精神与生理因素的交互作用
错合畸形可能因外观异常导致患者产生焦虑、自卑等负面情绪,而精神压力是诱发磨牙的重要诱因,错合引起的咀嚼效率下降、消化不良等,也可能通过神经内分泌系统影响睡眠质量,间接加重夜间磨牙,这种“心理-生理-咬合”的交互作用,使错合与磨牙的关系更为复杂。
错合畸形伴磨牙的正畸治疗策略
正畸治疗通过移动牙齿、调整颌骨位置、协调肌肉功能,从根本上纠正错合畸形,从而缓解或消除磨牙症状,治疗需结合错合类型、磨牙严重程度、患者年龄等因素制定个性化方案,核心目标包括:建立稳定咬合、平衡肌肉张力、保护牙周组织及颞下颌关节。

诊断:全面评估错合与磨牙的因果关系
治疗前需通过临床检查、影像学检查及功能分析明确诊断:
- 临床检查:记录牙齿拥挤度、 Spee曲线深度、覆合覆盖情况、早接触点、磨耗面形态等;
- 影像学检查:拍摄全景片、头颅侧位片(分析颌骨关系、关节位置)、CBCT(评估骨量及牙根吸收情况);
- 功能分析:使用肌电图(EMG)检测咀嚼肌张力,咬合记录纸分析咬合接触点,必要时进行睡眠监测以明确磨牙频率及强度。
矫治时机:青少年与成人的差异
- 青少年患者:处于生长发育高峰期,骨改建能力强,可通过功能矫治器(如Activator、Twin Block)引导颌骨生长,纠正骨性错合,同时通过肌肉训练减少磨牙,针对II类错合(下颌后缩)伴磨牙患者,可使用前方牵引装置促进下颌发育,改善咬合关系后磨牙症状多会自然缓解。
- 成人患者:生长发育已完成,治疗以牙齿移动为主,需兼顾牙周健康及关节稳定,对于严重磨牙导致牙齿重度磨耗者,需先制作咬合板(如 stabilization splint)解除肌肉痉挛,再进行固定矫治或隐形矫治,通过排齐牙齿、调整咬合平面建立长期稳定的咬合关系。
矫治方法:根据错合类型选择技术
针对不同错合类型,正畸治疗可采用多种技术手段,以下是常见错合与磨牙的矫治策略对比:
| 错合类型 | 典型表现 | 正畸治疗方法 | 磨牙缓解机制 |
|---|---|---|---|
| 牙列拥挤 | 牙齿错位排列,无足够间隙 | 扩弓(快速扩弓/慢速扩弓)、拔牙矫治(通常拔除前磨牙) | 排齐牙齿后,消除咬合干扰,建立正常尖窝关系,减少肌肉代偿性收缩 |
| 深覆合 | 上前牙覆盖下前牙牙冠1/3以上 | 平导、摇椅弓、多用唇弓等压低上前牙或升高后牙 | 打开咬合,解除下颌前伸限制,改善后牙区咬合接触,降低夜间磨牙频率 |
| 反合(地包天) | 下前牙咬在上前牙唇侧 | 功能矫治器(如FRⅢ型)固定矫治(配合颌间牵引) | 纠正下颌过度前伸,调整上下颌骨位置关系,恢复咬合平衡,减轻关节及肌肉负担 |
| 锁合 | 上下后牙颊舌侧相互嵌锁无法咬合 | 分期矫治(先解除锁结,再排齐)、颌间牵引 | 消除锁合导致的咬合障碍,允许下颌正常运动,减少因 restricted movement 引起的磨牙 |
辅助治疗:多学科协作提升疗效
对于重度磨牙或错合复杂的患者,正畸治疗需联合多学科手段:
- 咬合板治疗:在正畸前期或中期佩戴,通过升高咬合、分离牙齿接触,降低肌肉兴奋性,缓解磨牙症状;
- 牙周治疗:对于伴有牙周炎的成人患者,需先控制炎症(洁治、刮治),待牙周稳定后再开始正畸,避免牙齿松动加重;
- 心理干预:针对因焦虑、压力引发的磨牙,配合认知行为疗法或放松训练,从心理层面减少磨牙诱因。
正畸治疗中的注意事项
- 保持阶段的重要性:正畸拆除矫治器后,牙齿及颌骨仍处于改建期,需佩戴保持器(如 Hawley 保持器、透明保持器)至少1-2年,防止错合复发,同时避免磨牙习惯再次出现。
- 口腔卫生维护:矫治期间牙齿表面粘接托槽,易堆积食物残渣,需加强刷牙(使用正畸专用牙刷)及牙线清洁,预防龋坏和牙周炎,否则可能影响治疗效果及牙齿健康。
- 定期复查:治疗期间每4-6周复查一次,调整矫治力;治疗后每年至少复查一次,监测咬合稳定性及磨牙症状变化,及时处理复发倾向。
相关问答FAQs
Q1:磨牙患者做正畸能彻底解决磨牙问题吗?
A:正畸治疗对因错合畸形引发的磨牙有显著改善效果,但能否“彻底解决”需结合病因,若磨牙主要由错合(如咬合干扰、关节紊乱)导致,通过正畸建立稳定咬合后,磨牙症状可基本消失或明显减轻;但若磨牙与精神压力、焦虑、睡眠障碍等非错合因素相关,正畸虽能改善咬合,仍需配合心理干预或药物治疗才能达到理想效果,临床数据显示,约70%的错合相关磨牙患者经正畸治疗后磨牙频率降低50%以上。

Q2:成人错合畸形伴磨牙,正畸治疗风险比青少年大吗?
A:成人正畸治疗确实面临一定挑战,但并非“风险更大”,而是需更全面的评估和精细化的方案设计,与青少年相比,成人患者可能存在牙周萎缩、牙根吸收、骨量不足等问题,治疗前需进行完善的牙周检查及骨量评估;成人生长发育停止,骨改建速度较慢,治疗时间可能延长(通常1.5-3年),且对颞下颌关节的保护要求更高,但随着正畸技术(如隐形矫治、微种植体支抗)的发展,成人错合伴磨牙的治疗效果已接近青少年,关键在于选择有经验的正畸医生并严格遵循治疗计划。
