正畸治疗作为改善牙齿排列和咬合功能的重要手段,已被越来越多的人接受,但并非所有案例都能达到理想效果,临床中,正畸失败案例时有发生,不仅影响患者美观和功能,还可能带来额外的健康风险和经济负担,这些失败案例的表现、原因各不相同,深入分析其共性特征,对提升正治疗效果、规避风险具有重要意义。
正畸失败的常见表现
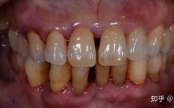
正畸失败通常指治疗后未达到预期目标,甚至出现新的问题,从临床观察来看,主要表现为以下几类:
一是咬合功能异常,部分患者治疗后存在咬合干扰,如前牙深覆合、深覆盖未完全纠正,后牙咬合不平衡,导致咀嚼效率下降,严重时可能出现颞下颌关节紊乱(TMD),表现为关节弹响、疼痛、张口受限等,有患者因正畸后后牙咬合过高,前牙无法接触,长期导致关节区肌肉疲劳,甚至出现头痛。
二是牙齿排列与美观问题,最直观的是牙齿排列不整齐,如“扇形”未改善、牙齿扭转未纠正、中线偏斜等;部分患者出现牙龈萎缩、牙根暴露,或因牙槽骨吸收导致牙齿松动,影响美观和口腔健康。
三是口腔健康并发症,正畸过程中若口腔卫生维护不当,易引发龋齿、牙周炎;部分患者因牙齿移动过快或施力不当,导致牙根吸收,表现为牙齿松动、牙冠变短,甚至影响牙齿寿命。
四是治疗效果不稳定,治疗后牙齿复发移位,如原本排齐的牙齿再次拥挤,或矫正后的咬合关系逐渐改变,多与保持器佩戴不当、不良习惯未纠正有关。

正畸失败的原因分析
正畸失败是多种因素综合作用的结果,可从医生、患者、技术三个维度进行剖析:
医生因素:方案设计与操作规范是核心
医生的专业水平和责任心直接影响治疗效果,常见问题包括:
- 诊断不全面,方案设计不合理,部分医生未充分进行术前检查(如头影测量分析、牙周状况评估、关节检查),忽视患者的骨性因素、牙周条件或不良习惯(如吐舌、夜磨牙),导致方案与实际需求不匹配,对于骨性反颌患者,仅通过正畸排齐牙齿而未配合外科治疗,最终无法纠正咬合关系;对于牙周炎患者未先控制炎症即开始正畸,可能加重牙槽骨吸收。
- 操作技术不规范,托槽粘贴位置偏差、弓丝选择不当、加力方式错误等,均会影响牙齿移动方向和效果,托槽粘贴过高可能导致牙齿倾斜移动而非整体移动,造成“台阶”现象;关闭拔牙间隙时施力过大,可能引起牙根吸收或牙龈萎缩。
- 沟通不足,风险告知不到位,部分医生未向患者充分说明治疗风险、预期效果及配合要求,导致患者期望过高或依从性差,治疗中出现问题后难以协调解决。
患者因素:依从性与口腔卫生是关键
正畸治疗需医患密切配合,患者的主观因素不可忽视:
- 口腔卫生维护不当,正畸过程中牙齿表面托槽、弓丝等附件增多,清洁难度加大,若患者未掌握正确的刷牙方法(如使用巴氏刷牙法、牙间刷、冲牙器),易导致食物残渣堆积,引发釉质脱矿(表现为牙齿白斑)、龋齿甚至牙周炎,进而影响牙齿稳定性和治疗效果。
- 依从性差,隐形矫正需每日佩戴20小时以上,传统矫正需按要求佩戴橡皮筋、头帽等装置,部分患者因美观、疼痛等原因自行减少佩戴时间,甚至不按时复诊,导致牙齿移动不足或方向偏差,有患者因担心“钢牙”影响社交,频繁复诊调整托槽位置,最终延长治疗周期且效果不佳。
- 不良习惯未纠正,吐舌、咬唇、口呼吸、夜磨牙等习惯会导致牙齿受力异常,即使正畸排齐后,若不纠正习惯,牙齿仍可能复发移位。
技术因素:材料选择与术后维护是保障
- 材料选择不当,对于重度拥挤患者选择直径过小的弓丝,无法提供足够的移动力量;或使用质量不佳的托槽,频繁脱落影响治疗进度。
- 数字化技术应用不足,部分传统正畸未借助3D打印、CBCT等数字化工具进行方案模拟,对牙齿移动路径、骨量判断存在误差,导致实际效果与预期偏差。
- 术后维护支持不足,拆除矫治器后,医生未根据患者情况个性化设计保持器(如透明压膜保持器、 Hawley保持器),或未指导患者正确佩戴(如夜间佩戴时间不足、未定期更换保持器),导致牙齿复发。
典型失败案例与处理建议
以下通过表格列举不同类型的正畸失败案例,分析其具体原因及处理方式:

| 案例类型 | 患者基本情况 | 失败原因分析 | 临床表现 | 处理建议 |
|---|---|---|---|---|
| 隐形矫正复发 | 28岁女性,深覆合 | 拆除矫治器后未坚持佩戴保持器,存在夜磨牙习惯 | 1年后后牙再次拥挤,前牙深覆合复发 | 重新制作保持器,配合夜磨牙垫,纠正不良习惯 |
| 传统矫正牙根吸收 | 35岁男性,拔牙矫正 | 医生关闭拔牙间隙时施力过大,未定期监测牙根长度 | 牙齿松动,咀嚼时酸痛,X线显示牙根吸收1/3 | 停止正畸治疗,牙周夹板固定,避免咬硬物,必要时根管治疗 |
| 骨性反颌矫正失败 | 20岁男性,骨性III类 | 医生未识别骨性因素,仅通过正畸排齐牙齿 | 矫治后侧貌仍凹陷,咬合关系未改善 | 正畸-正畸联合治疗(先正畸后正颌) |
| 牙周炎患者矫正加重 | 45岁女性,慢性牙周炎 | 术前未系统治疗牙周炎,正畸中未加强口腔卫生维护 | 牙龈萎缩,牙间隙增大,牙齿Ⅱ度松动 | 立即停止正畸,牙周系统治疗(洁治、刮治),待牙周稳定后再评估是否继续矫正 |
如何规避正畸失败风险
降低正畸失败风险需医患双方共同努力:
医生层面:需严格遵循诊疗规范,术前进行全面检查(包括口腔全景片、头影测量片、牙周检查、关节检查等),结合患者年龄、骨面型、牙周状况制定个性化方案;治疗中规范操作,定期拍摄X线片监测牙根长度和牙齿移动情况,加强与患者沟通,及时调整方案。
患者层面:选择正规医疗机构和有资质的医生,治疗中保持良好口腔卫生(使用正畸专用牙刷、牙线、冲牙器),严格遵医嘱佩戴矫治装置和保持器,及时纠正不良习惯,定期复诊(一般4-6周一次),发现问题及时与医生沟通。
相关问答FAQs
问题1:正畸失败后可以二次矫正吗?
解答:可以,但需满足一定条件,首先需明确失败原因,如牙根吸收严重、牙周条件差者需先治疗牙周疾病;其次需进行全面的术前评估,包括牙齿剩余骨量、关节状况等,判断是否具备二次矫正条件;二次矫正对医生技术要求更高,需选择经验丰富的医生制定详细方案,避免再次出现类似问题。
问题2:如何判断正畸医生是否靠谱?
解答:可从以下几个方面判断:一是查看医生资质,是否具备口腔正畸专科认证(如中华口腔医学会正畸专业委员会认证);二是了解医生经验,包括从业年限、案例数量(尤其是复杂案例);三是沟通态度,医生是否能耐心解释治疗方案、风险及预期效果,是否尊重患者意见;四是机构资质,选择正规口腔医院或有正规医疗资质的诊所,避免在无资质的美容机构进行正畸治疗。

