牙齿矫正作为一种成熟的口腔治疗技术,已被广泛应用于解决牙齿排列不齐、咬合异常等问题,帮助无数人获得整齐的牙齿和健康的口腔功能,如同任何医疗行为一样,牙齿矫正并非100%成功,临床中确实存在少数失败案例,这些失败可能表现为效果不持久、功能未改善,甚至出现并发症,给患者带来额外的困扰,了解失败案例的具体表现、原因及预防措施,对选择矫正方案和维护矫正效果至关重要。
牙齿矫正失败的主要表现
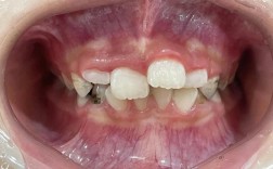
牙齿矫正的“失败”并非单一概念,而是涉及功能、美观、健康等多维度的结果未达预期,以下是临床常见的失败表现:

矫正效果不理想或复发
这是最直观的失败类型,指牙齿未按预期排列或矫正后短时间内出现反弹,患者希望通过矫正关闭门牙缝隙,但治疗后缝隙依然存在;或原本排齐的牙齿在保持器佩戴不当后,逐渐移回原位,甚至出现“比矫正前更乱”的情况,复发可能涉及单个牙齿错位,也可能表现为全牙列的稳定性丧失。
咬合功能异常
牙齿矫正的核心目标之一是建立健康的咬合关系,但部分患者可能出现咬合紊乱,矫正后上下牙齿咬合时无法紧密接触(咬合过浅),导致咀嚼效率下降;或咬合时某颗牙齿承受过大力量(咬合创伤),引发长期疼痛、牙齿松动,甚至颞下颌关节紊乱(如张口弹响、关节疼痛)。
口腔健康问题
矫正过程中若护理不当,可能引发新的口腔疾病,佩戴固定矫正器时清洁不到位,导致托槽周围龋齿、牙龈炎或牙周炎;或因矫正力度过大,加速牙根吸收(牙根长度变短),影响牙齿长期稳固性;少数患者还可能出现牙槽骨吸收,导致牙龈萎缩、牙齿“变长”。
美观效果未达预期
部分患者矫正后虽功能正常,但美观效果不理想,矫正后牙齿形态异常(如“三角牙”)、颜色不协调;或因医生对笑线设计不当,导致露龈笑(微笑时牙龈暴露过多)、中线偏斜(上下牙列中线不一致)等问题,影响面部美观。

矫正器相关并发症
部分失败案例与矫正器本身或佩戴过程相关,隐形矫正器因贴合度不足,导致牙齿移动偏差;或固定矫正器的托槽、弓丝频繁脱落,延长矫正时间,甚至影响最终效果;少数患者对矫正器材料过敏,出现口腔黏膜溃疡等不适。
以下表格总结了牙齿矫正常见失败类型的具体表现及案例简述:
| 失败类型 | 具体表现 | 案例简述 |
|---|---|---|
| 效果不理想/复发 | 牙齿未排齐、缝隙未关闭,或矫正后牙齿移位 | 患者矫正结束后1年,前牙缝隙重新出现,因未按要求佩戴保持器 |
| 咬合功能异常 | 咬合疼痛、咀嚼无力、颞下颌关节弹响 | 矫正后后牙咬合过深,导致张口时关节疼痛,咬合效率下降50% |
| 口腔健康问题 | 龋齿、牙龈炎、牙根吸收、牙龈萎缩 | 佩戴固定矫正器2年,因清洁不到位,出现6颗牙邻面龋,需治疗后重新修复 |
| 美观效果未达预期 | 露龈笑、中线偏斜、牙齿形态异常 | 矫正后微笑时牙龈暴露过多,患者对美观不满,需联合牙周手术改善 |
| 矫正器并发症 | 托槽频繁脱落、隐形矫正器贴合不良、黏膜过敏 | 隐形矫正患者因牙模制作误差,矫正器与牙齿间隙过大,牙齿移动偏离计划方向 |
牙齿矫正失败的主要原因分析
失败案例的出现并非单一因素导致,而是患者、医生、矫正器及维护环节共同作用的结果,以下从核心维度分析原因:
患者因素:依从性与口腔卫生是关键
- 口腔卫生维护不当:矫正期间牙齿清洁难度增加,若患者未掌握正确的刷牙方法(如使用巴氏刷牙法、牙线、冲牙器),易导致菌斑堆积,引发龋齿、牙周炎,进而影响牙齿移动和稳定性。
- 未遵医嘱佩戴矫正器/保持器:隐形矫正需每日佩戴20-22小时,若患者自行缩短时间;或固定矫正期间频繁啃食硬物(如坚果、骨头),导致托槽脱落、弓丝变形,均会影响矫正效果,矫正结束后,保持器是防止复发的重要工具,若未按要求佩戴(如夜间不戴、过早丢弃),牙齿在牙周组织改建后极易移位。
- 不良口腔习惯未纠正:部分患者存在吐舌、咬唇、夜磨牙等习惯,若矫正期间未进行行为干预,牙齿会因长期异常力量而移位,抵消矫正效果。
- 生长发育因素:青少年患者若处于快速生长发育期,颌骨的异常生长可能导致牙齿二次错乱;成人患者可能因骨性畸形(如下颌后缩)仅通过矫正无法解决,需配合正颌手术。
医生因素:方案设计与操作技术是核心
- 矫正方案设计不当:医生未充分评估患者口腔情况(如骨性畸形、牙周健康状况、关节问题),盲目选择矫正方式(如骨性畸形患者仅做矫正而非手术),或未考虑牙齿移动的生物力学原理,导致计划与实际偏差。
- 操作技术不规范:矫正力度过大或过小,前者可能引发牙根吸收、牙周损伤,后者则延长矫正时间;托槽粘贴位置错误,导致牙齿移动方向偏差;隐形矫正的附件设计不合理,影响牙齿三维移动精度。
- 沟通与预期管理不足:医生未充分告知患者矫正风险、周期及可能的效果限制,导致患者期望过高;或未强调矫正后保持的重要性,患者因缺乏认知而疏于维护。
矫正器因素:选择与质量不容忽视
- 矫正器类型选择不当:复杂错颌畸形选择简易隐形矫正器,或对材料过敏的患者未更换矫正器类型,均可能影响效果。
- 矫正器质量问题:个别非正规厂家生产的隐形矫正器厚度、弹性不达标,或固定矫正器的弓丝材质不合格,无法提供持续、稳定的矫治力。
矫正后维护因素:保持期是“最后一公里”
矫正结束后,牙齿周围的牙周组织仍处于改建状态,需通过保持器维持稳定,若患者未定期复查、保持器丢失或损坏后未及时补做,牙齿会在1-2年内逐渐复发,这也是矫正失败最常见的原因之一。

如何预防牙齿矫正失败?
虽然失败案例存在,但通过科学管理和规范操作,大部分风险可规避,以下关键措施能显著降低失败概率:
选择正规机构与专业医生
优先选择具备正规资质的口腔医院或诊所,医生需具备正畸专科背景(如硕士以上学历、正畸专科培训经历),矫正前可通过查看医生案例、患者评价了解其经验,并与医生充分沟通,确认方案是否包含风险评估、应急预案。
矫正前进行全面评估
医生需通过口腔检查、X光片(曲面断层片、头颅侧位片)、CT等,评估患者的牙齿排列、颌骨关系、牙周状况、关节健康等,排除矫正禁忌证(如严重牙周炎、未控制的糖尿病),成人患者需告知全身病史(如心脏病、骨质疏松症),避免治疗风险。
严格遵循医嘱,做好日常维护
- 口腔卫生:矫正期间使用正畸专用牙刷(如小头牙刷)、牙线、冲牙器,每日至少刷牙3次,饭后及时清洁托槽周围;定期进行牙周检查(每3-6个月一次),预防龋齿和牙周炎。
- 矫正器佩戴:固定矫正器避免啃食硬物、黏性食物(如口香糖、 caramel);隐形矫正器需按时佩戴,避免自行延长摘戴间隔;若托槽、弓丝脱落,及时联系医生处理。
- 不良习惯纠正:吐舌、咬唇等习惯可通过行为训练或辅助装置(如舌刺)纠正;夜磨牙患者需佩戴夜磨牙垫,保护牙齿和矫正器。
重视矫正后保持
矫正结束后,医生会根据患者情况设计保持器(如透明保持器、 Hawley保持器),需严格按要求佩戴(通常前6个月全天佩戴,之后仅夜间佩戴),并定期复查(每3-6个月一次),检查保持器贴合度及牙齿稳定性,保持器至少需佩戴2年,部分复杂病例需长期甚至终身佩戴。
失败后的处理方法
若不幸出现矫正失败,不必过度焦虑,及时采取补救措施仍可改善效果:
- 效果不理想/复发:轻度的牙齿移位可通过调整保持器或短期二次矫正改善;严重复发需重新设计矫正方案,必要时结合正畸手术。
- 咬合功能异常:通过调颌(精细打磨咬合高点)、修复治疗(如全冠修复)改善咬合关系;若伴有关节紊乱,需联合口腔颌面外科治疗。
- 口腔健康问题:龋齿需及时充填;牙周炎需进行牙周基础治疗(洁治、刮治);牙根吸收严重者,需评估牙齿保留价值,必要时拔除后修复。
- 美观问题:可通过牙齿贴面、树脂修复改善形态;中线偏斜严重者,需重新矫正调整。
牙齿矫正失败案例确实存在,但并非普遍现象,其发生与患者依从性、医生专业度、矫正器质量及维护管理密切相关,通过选择正规机构、充分沟通、严格遵医嘱和重视保持期,大部分风险可有效规避,矫正不仅是牙齿的移动,更是医患共同协作的过程,唯有双方共同努力,才能实现功能与美观的双重目标。
相关问答FAQs
问题1:矫正失败后可以二次矫正吗?难度会比第一次大吗?
答:二次矫正通常是可行的,尤其对于轻度复发或效果不理想的情况,但难度是否增加需根据具体情况判断:若首次矫正导致牙根吸收、牙周损伤等,二次矫正需更谨慎评估;若患者口腔条件良好,仅因保持不当复发,二次矫正难度与首次相当,二次矫正前需进行全面检查(包括牙根长度、牙周健康状况),必要时更换矫正方式(如首次固定矫正,二次可尝试隐形矫正),并严格遵医嘱以降低风险。
问题2:矫正后多久算“稳定期”?过了稳定期还会复发吗?
答:矫正后的“稳定期”通常指矫正结束后1-2年,此时牙周组织改建基本完成,牙齿位置趋于稳定,但稳定期并非“绝对安全”,若患者未长期佩戴保持器、存在不良习惯或口腔问题(如牙周炎),仍可能在稳定期后复发,即使度过稳定期,也建议定期复查(每年1次),并遵医嘱决定是否继续夜间佩戴保持器,以维持矫正效果。
