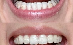
龅牙是常见的牙齿畸形问题,表现为上颌前突或牙齿前倾,不仅影响面部美观,还可能造成咬合功能障碍、发音问题,甚至引发自卑心理,随着牙齿正畸技术的发展,隐形矫正凭借其美观、舒适、便捷等优势,成为龅牙矫正的重要选择,本文将详细介绍隐形矫正龅牙的相关知识,帮助患者全面了解这一矫正方式。
龅牙的形成原因多样,包括遗传因素(如上颌骨发育过度、下颌骨发育不足)、不良口腔习惯(如吮指、咬唇、口呼吸)、替牙期障碍(如乳牙早失、恒牙萌出顺序异常)等,根据病因可分为牙性龅牙(主要表现为牙齿前倾,颌骨位置基本正常)和骨性龅牙(上下颌骨发育异常,需结合正畸-正颌联合治疗),隐形矫正主要适用于牙性龅牙及轻度骨性龅牙,通过佩戴透明隐形矫治器,逐步移动牙齿至理想位置,改善面部轮廓和咬合功能。

隐形矫正的核心优势在于其“隐形”与“便捷”,与传统金属托槽矫正相比,隐形矫治器采用医用高分子材料制成,透明轻薄,佩戴后不易被察觉,满足了患者对美观的高需求,尤其适合成人、演员、教师等对形象要求较高的人群,矫治器表面光滑,无托槽和弓丝刺激,口腔舒适度更高;可自行摘戴,不影响正常饮食、刷牙和牙线清洁,降低了口腔疾病风险,通过数字化技术,医生可在治疗前模拟牙齿移动全过程,让患者直观看到矫正效果,方案更具可预测性。
并非所有龅牙患者都适合隐形矫正,适应人群主要包括:12岁以上恒牙列早期的牙性龅牙患者;轻度骨性龅牙(通过正畸改善牙齿代偿性前突,改善侧貌);口腔卫生状况良好、能严格佩戴矫治器的患者;对美观有较高需求,无法接受传统矫正方式的人群,需要注意的是,重度骨性龅牙、牙周炎未控制患者、口腔卫生习惯极差者,需先进行正颌手术或牙周治疗,再评估是否适合隐形矫正。
隐形矫正龅牙的治疗流程严谨且数字化,具体步骤如下:
| 治疗阶段 | 周期 | |
|---|---|---|
| 初诊检查与评估 | 口内检查、取模(或口内扫描)、拍摄X光片(全景片、头颅侧位片),分析牙齿、颌骨、面部情况 | 1-2次,每次30分钟 |
| 方案设计与沟通 | 医生通过3D模拟软件设计牙齿移动方案,与患者讨论矫正效果、周期及费用,确定最终方案 | 1-2周 |
| 矫治器制作与交付 | 根据方案定制多副隐形矫治器,患者首次试戴,检查贴合度,交代佩戴注意事项 | 2-3周 |
| 主动矫正阶段 | 每天佩戴20-22小时,每1-2周更换一副矫治器,每6-8周复诊一次,医生检查进度并调整方案 | 6-18个月(根据龅牙程度) |
| 保持阶段 | 矫正结束后佩戴保持器(通常全天佩戴3-6个月,之后夜间长期佩戴),防止牙齿复发 | 长期 |
矫正过程中,患者需严格遵循医嘱:一是保证佩戴时间,每天不足20小时会延长矫正周期;二是注意口腔卫生,餐后摘下矫治器刷牙,避免食物残渣残留导致蛀牙;三是避免食用过硬、过黏食物(如坚果、口香糖),防止矫治器损坏;四是定期复诊,若出现矫治器破损、牙齿疼痛异常等情况,及时联系医生,初期佩戴可能出现轻微不适(如牙齿酸胀、说话暂时不清),通常1-2周可缓解,无需过度担心。

相关问答FAQs
Q1:隐形矫正龅牙需要多久?会不会复发?
A:隐形矫正龅牙的时间因人而异,一般牙性龅牙需6-12个月,轻度骨性龅牙可能需12-18个月,复发风险与保持器佩戴密切相关:矫正结束后前3个月需全天佩戴保持器,之后改为夜间长期佩戴,同时避免不良口腔习惯(如咬唇、吐舌),可有效降低复发概率。
Q2:隐形矫正过程中可以正常进食和刷牙吗?
A:可以,隐形矫治器可自行摘戴,进食时取下即可避免食物残留或损坏矫治器,不影响正常饮食(但建议避免过硬食物),刷牙时同样取下矫治器,采用巴氏刷牙法清洁牙齿,并用专用清洁剂或清水清洗矫治器,保持其透明度和卫生。

