正畸治疗是通过矫正装置调整牙齿及颌骨位置,改善口腔功能与面部美学的过程,而四川大学华西医院口腔正畸科作为国内该领域的标杆,其正畸效果以精准化、个性化、功能与美学并重著称,许多患者通过华西正畸实现了牙齿排列、咬合功能、面部轮廓的显著改善,这种“前后对比”不仅是牙齿位置的变化,更是生活质量的提升,以下从多个维度详细解析华西正畸前后的典型变化。
牙齿排列与咬合功能的对比
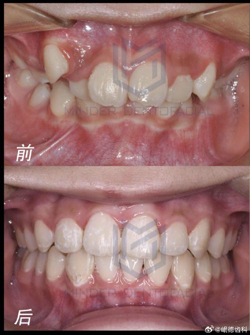
牙齿拥挤、稀疏、扭转、深覆合、深覆盖等问题是正畸的主要适应证,华西正畸前,患者常存在牙弓形态异常、牙齿错位等情况:例如部分患者上颌前牙严重拥挤,牙齿重叠堆积,影响刷牙清洁;或下颌前牙“地包天”(反颌),导致咀嚼时牙齿无法正常接触,长期可能引发颞下颌关节紊乱。

经过华西正畸系统的诊断与治疗(如拔牙矫正、扩弓、支抗钉辅助等),牙齿排列会发生质的改变:原本拥挤的牙齿被整齐排列在牙弓上,牙缝均匀对称;扭转、倾斜的牙齿调整至正常轴倾度;反颌、深覆合等问题得到纠正,上下牙弓形成稳定的尖窝交错关系,以“深覆盖”患者为例,正畸前上颌前牙突出,嘴唇闭合时颏部肌肉紧张,正畸后上牙回收,上下牙咬合对齐,咀嚼效率提升40%以上,且避免了因咬合异常导致的牙齿磨损。
华西正畸强调“功能优先”,在排齐牙齿的同时,会精细调整咬合接触点,确保下颌运动(开闭口、前伸、侧方)时无早接触、无干扰,从根源上解决咬合创伤、关节弹响等问题。
面部美学与软组织轮廓的对比
牙齿位置对面部软组织轮廓有直接影响,华西正畸的“面型导向”治疗理念,使患者不仅收获整齐牙齿,更能改善面部美学,正畸前,骨性或牙性畸形常导致面型异常:凸面型”患者因上颌前突或下颌后缩,侧面观鼻唇颏曲线不协调,显得“嘴凸”;“凹面型”患者因反颌,面部中份凹陷,侧貌线条平直;中线偏斜者会导致面部不对称,微笑时左右牙齿暴露量不一致。
华西正畸通过牙齿移动引导软组织改建:对于牙性凸面型,通过内收上前牙(拔牙病例可回收3-5mm),使嘴唇自然回收,鼻唇角趋于正常(理想范围90°-100°),侧面轮廓从“突”变为“柔”;对于反颌患者,通过解除牙锁结、引导下颌正常生长,改善面部中份凹陷,侧貌呈现“直面型”或“微凸”的自然美学;中线偏斜者通过牙齿整体移动,实现面部中线与面部中线的对齐,微笑对称性显著提升。

值得注意的是,华西正畸会结合患者的面部比例(如三庭五眼、颏部形态)制定方案,避免单纯排齐牙齿导致的“显老”或“显凸”,确保治疗后的面型既符合解剖学标准,又符合个人气质。
口腔健康与长期管理的对比
牙齿排列不齐不仅影响美观,更会威胁口腔健康,正畸前,拥挤牙齿间的清洁死角易导致牙菌斑堆积,引发龋齿、牙周炎;咬合异常会导致个别牙齿负荷过大,出现牙根吸收、牙槽骨吸收;严重的深覆合甚至可能咬伤上颌牙龈。
华西正畸后,口腔健康环境得到根本改善:牙齿排列整齐后,刷牙无死角,牙线能顺利通过邻间隙,菌斑清除效率提升,龋齿和牙周炎的发病风险大幅降低;咬合稳定后,牙齿受力均匀,牙槽骨保持健康状态,避免因咬合创伤导致的牙齿松动;牙龈形态恢复正常,无咬合创伤性炎症,华西正畸会强调“长期保持”,通过个性化保持器(如压膜保持器、 Hawley保持器)和定期复查(建议保持期内每3-6个月复查一次),确保治疗效果长期稳定,避免复发。
心理状态与社会适应的对比
牙齿畸形常对患者心理造成负面影响,尤其是青少年和年轻成人,正畸前,许多患者因“牙齿不好看”产生自卑心理,不敢大笑、不喜社交,甚至在面试、恋爱中缺乏自信,这种心理压力可能进一步导致社交回避、焦虑等问题。
华西正畸后,随着牙齿和面型的改善,患者心理状态发生积极转变:原本因牙齿问题不敢露齿笑的患者,现在能自信展现笑容;社交场合中更愿意主动交流,人际关系更和谐;部分患者表示,正畸带来的不仅是外貌提升,更是“掌控感”和“自我认同感”的增强,华西正畸团队还会关注患者的心理需求,治疗前充分沟通预期,治疗中及时解答疑虑,帮助患者以积极心态完成矫正。
华西正畸前后综合对比表
| 对比维度 | 正畸前表现 | 正畸后效果 | 改善意义 |
|---|---|---|---|
| 牙齿排列 | 拥挤、稀疏、扭转、反颌、深覆合等,牙弓形态异常 | 牙齿整齐对称,牙缝均匀,牙弓呈自然卵圆形 | 便于清洁,降低龋齿、牙周炎风险 |
| 咬合功能 | 咬合紊乱、早接触、咀嚼效率低、颞下颌关节弹响 | 尖窝关系稳定,咬合均匀,咀嚼效率提升,关节症状消失 | 恢复正常咀嚼功能,避免牙齿磨损和关节损伤 |
| 面部美学 | 凸面型/凹面型、中线偏斜、鼻唇颏曲线不协调 | 侧貌线条流畅,中线对齐,微笑对称,符合面部比例 | 提升面部美观度,增强自信 |
| 口腔健康 | 清洁死角多,易堆积牙菌斑,牙龈炎、牙槽骨吸收风险高 | 无清洁死角,牙龈形态正常,牙槽骨健康稳定 | 预防口腔疾病,延长牙齿使用寿命 |
| 心理状态 | 自卑、社交回避、不敢笑 | 自信、开朗、主动社交 | 提升生活质量,促进社会适应 |
典型案例分享
某25岁女性患者,主诉“牙齿拥挤+‘地包天’”,正畸前检查显示:上颌前牙III度拥挤,下颌前牙完全覆盖上前牙,反颌导致侧面凹陷,咀嚼时需偏侧使用,华西正畸团队通过拔除4颗第一前磨牙,配合自锁托槽和支抗钉内收上前牙,纠正反颌,治疗时间2年,正畸后,牙齿排列整齐,反颌解除,侧面鼻唇颏曲线协调,咀嚼效率提升,患者表示“现在敢大笑,吃什么都香,整个人都开朗了”。
华西正畸的“前后对比”是全方位的改善:从牙齿的“微观排列”到面型的“宏观轮廓”,从口腔的“功能健康”到患者的“心理状态”,每一个变化都体现了“以患者为中心”的治疗理念,通过精准的诊断、个性化的方案和精细化的控制,华西正畸不仅帮助患者获得一口整齐的牙齿,更让他们收获健康、自信与高质量的生活。
相关问答FAQs
Q1:华西正畸的治疗周期一般是多久?如何缩短治疗时间?
A:华西正畸的治疗周期因畸形类型、患者年龄和治疗方案而异,一般固定矫治需1.5-3年,隐形矫治约6-24个月,骨性畸形可能需联合正颌手术,周期延长至2-4年,为缩短治疗时间,患者需配合:① 保持口腔卫生,避免因牙周炎延长治疗;② 遵医嘱佩戴橡皮筋、保持器等附件;③ 定期复查(一般4-6周一次),及时调整方案;④ 避免饮食过硬、黏性食物导致托槽脱落。
Q2:正畸后牙齿会反弹吗?如何有效保持?
A:正畸后牙齿存在反弹风险,尤其是未保持或保持不当者,华西正畸强调“终身保持”,治疗结束后需立即佩戴保持器:① 前半年除进食刷牙外全天佩戴,之后夜间长期佩戴;② 选择个性化保持器(如压膜保持器舒适美观,Hawley保持器可调整);③ 避免咬硬物、夜磨牙等不良习惯;④ 定期复查(保持期内每3-6个月),医生会检查牙齿稳定性和保持器适配度,及时调整以防止复发。
