口腔正畸一类牵引是正畸治疗中针对安氏一类错颌畸形(磨牙关系中性,即上颌第一磨牙近中颊尖咬合于下颌第一磨牙颊沟)的常用辅助技术,主要通过持续、定向的牵引力调整牙齿位置、改善咬合关系及面部协调性,其核心原理是利用生物力学机制,通过弹性牵引材料(如橡皮链、镍钛拉簧)产生50-100g的轻柔持续力,作用于目标牙齿及牙周组织,牵引力刺激牙周韧带中的成骨细胞和破骨细胞活性,引导牙槽骨改建:牵引侧骨质增生,压力侧骨质吸收,从而使牙齿缓慢移动至理想位置,同时调整牙弓形态和垂直向关系。
一类牵引的适应证广泛,主要针对安氏一类错颌中伴随的牙齿、咬合及功能问题,常见类型包括:深覆盖(上颌前牙唇向突出,下颌位置正常)、深覆颌(上颌牙冠覆盖下颌牙冠过多,垂直向异常)、开颌(部分前牙或后牙无咬合接触,可能因不良习惯或垂直距离不足导致)、牙齿中线偏斜(上下颌牙中线不一致,常由左右牙齿移动量差异引起)及双牙弓前突(上下颌前牙均唇向突出,影响美观及唇部功能),不同适应证的牵引组合和目标需根据患者具体情况设计,例如深覆盖可能需上颌尖牙与下颌第一前磨牙牵引,而深覆颌可能需通过后牙垂直牵引打开咬合。

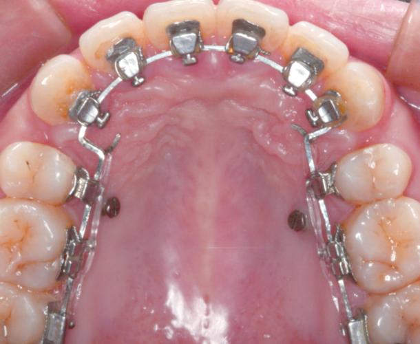
操作过程中,首先需进行充分的口腔准备,包括洁牙、控制牙周炎症,确保牙齿移动的健康基础,医生会根据错颌类型选择牵引装置(如橡皮链适用于需要持续轻力,镍钛拉簧适用于需要较大或特定方向力),并通过粘接在牙齿上的托槽或额外粘贴的牵引钩固定牵引端,牵引方向需精确设计,例如纠正中线偏斜时,牵引方向应指向理想中线;改善深覆颌时,牵引方向需向后下方以压低上前牙或伸长下后牙,患者需严格配合,每日佩戴牵引装置20-22小时,摘戴时间不超过2小时,每2-4周复诊更换牵引材料(橡皮链弹性疲劳后力度衰减,需定期更换),同时避免咀嚼过硬食物,防止托槽脱落。
治疗期间需特别注意口腔卫生维护,使用正畸专用牙刷、牙线及冲牙器,彻底清洁牙齿及托槽周围,避免食物残滞引发龋齿或牙周炎,定期复诊(通常4-6周一次)至关重要,医生会检查牙齿移动进度、牵引力度是否合适,并根据实际情况调整方案,若出现牙齿酸痛(初期正常反应,可服用止痛药缓解)、黏膜溃疡(可用正畸保护蜡覆盖托槽边缘)或托槽脱落,需及时与医生沟通处理,避免影响治疗效果。
相关问答FAQs
Q:口腔正畸一类牵引一般需要佩戴多久?
A:牵引时间取决于错畸形的严重程度、牙齿移动速度及患者配合情况,轻度错颌(如单纯中线偏斜)可能需6-8个月,中重度错颌(如深覆盖、深覆颌)通常需9-12个月,治疗过程中需定期拍摄X光片检查牙根位置及牙槽骨改建情况,达到目标后可逐步减少牵引频率,保持器巩固治疗以防复发。

Q:一类牵引期间出现牙齿剧烈疼痛或松动加重怎么办?
A:初期佩戴牵引后3-5天牙齿轻微酸痛属正常现象,一般可自行缓解,若疼痛持续加剧或牙齿异常松动(可自行晃动超过1mm),可能提示牵引力过大或存在牙周组织损伤,需立即复诊,医生会调整牵引力度或暂停牵引,评估牙周状况(如通过牙周探诊、X光片检查牙根吸收情况),必要时进行牙周治疗或修改方案,避免造成不可逆损伤。

