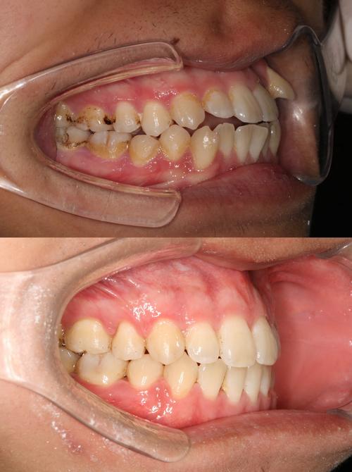
南宁医科大正畸依托广西医科大学附属口腔医院的强大医疗资源,是区域内颇具权威性的正畸诊疗中心,汇聚了一批临床经验丰富的正畸专家团队,配备了先进的数字化正畸设备,如口内扫描仪、CBCT、3D打印技术等,为不同年龄段的患者提供个性化的牙齿矫正解决方案,无论是青少年常见的牙列拥挤、龅牙、地包天,还是成人复杂的骨性错颌、颞下颌关节紊乱等问题,南宁医科大正畸均能通过科学的诊断和精准的方案设计,帮助患者实现牙齿排列整齐、咬合功能改善及面部美学优化的多重目标。
在矫正技术方面,南宁医科大正畸涵盖多种主流方式,满足不同患者的需求,传统金属托槽矫正技术成熟、性价比高,适用于各类错颌畸形;陶瓷托槽与牙齿颜色相近,兼顾美观与稳固,受到青少年及成人患者的青睐;隐形矫正采用透明牙套,可自行摘戴,不影响美观和日常饮食,尤其适合对美观要求高的职场人士和成年患者;舌侧矫正则将托槽隐藏在牙齿内侧,达到“完全隐形”的效果,但对医生技术要求极高,南宁医科大正畸的专家团队已熟练掌握该技术,为追求极致美观的患者提供选择,不同矫正方式的特点对比如下:

| 矫正类型 | 特点 | 适用人群 | 价格范围(万元) | 优势 | 劣势 |
|---|---|---|---|---|---|
| 传统金属托槽 | 金属托槽固定,结实耐用,价格低廉 | 各类错颌畸形,预算有限者 | 2-2.5 | 技术成熟,性价比高 | 美观度较差,易刮嘴 |
| 陶瓷托槽 | 托槽为透明陶瓷材质,美观度较高 | 对美观有要求,青少年及成人 | 0-3.5 | 美观性较好,强度适中 | 略高于金属,部分材质易染色 |
| 隐形矫正 | 透明牙套,可自行摘戴,舒适度高 | 轻中度错颌,成人及职场人士 | 0-5.0 | 隐形美观,方便清洁,可摘戴 | 价格较高,严重错颌效果受限 |
| 舌侧矫正 | 托槽粘贴于牙齿内侧,完全隐形 | 对美观要求极高,经济条件好者 | 0-8.0 | 完全隐形,矫正效果精准 | 价格昂贵,清洁难度大,适应期长 |
南宁医科大正畸的诊疗流程严谨规范,患者首次就诊需进行全面检查,包括口腔检查、X光片拍摄(曲面断层片、头颅侧位片)、口内扫描或取模等,医生会结合患者的牙齿情况、骨骼发育、面部美学等因素制定个性化方案,方案确定后,患者可选择合适的矫正方式,医生将进行矫治器的粘接或佩戴,并详细说明注意事项,矫正期间需定期复诊(一般4-6周一次),医生会根据牙齿移动情况调整矫治力,确保矫正进程顺利,矫正结束后,需佩戴保持器以维持效果,防止复发。
选择南宁医科大正畸的优势在于其专业的医疗团队和先进的诊疗理念,专家团队由教授、副教授及主治医师组成,多数成员拥有国内外知名院校的进修经历,擅长处理复杂正畸病例;数字化技术的应用实现了从检查到方案设计的全程精准化,患者可在术前通过3D动画模拟矫正后的效果,提升治疗体验,医院注重患者的舒适度和安全性,采用进口材料和无菌操作流程,严格把控治疗质量。
正畸期间,患者需特别注意口腔卫生,使用正畸专用牙刷、牙线或冲牙器清洁牙齿,避免托槽周围食物残留;饮食上避免过硬、黏性食物(如坚果、口香糖),防止矫治器脱落;若出现托槽松动、钢丝刺嘴等情况,需及时复诊处理,成人患者若有牙周疾病,需先进行牙周治疗待稳定后再开始正畸;青少年患者则需在家长监督下养成良好的口腔习惯和复诊依从性。
相关问答FAQs
Q1:正畸过程中牙疼正常吗?如何缓解?
A:正畸初期(戴牙后1周内)及每次复诊加力后3-5天,牙齿可能出现轻微酸胀疼痛,属于正常现象,是牙齿移动的生理反应,此时可温盐水漱口,避免咀嚼过硬食物,若疼痛剧烈影响进食,可遵医嘱服用布洛芬等止痛药,通常疼痛会逐渐缓解,无需过度担心。

Q2:成年人矫正和青少年矫正有什么区别?
A:成年人矫正与青少年矫正的主要区别在于骨骼条件:青少年处于生长发育期,骨骼改建能力强,部分骨性错颌可通过生长改良治疗避免手术;成年人骨骼已停止发育,严重骨性问题可能需联合正颌手术,但配合度高、口腔卫生习惯较好,矫正效果更稳定,成人矫正周期可能稍长(一般1.5-3年),且需关注牙周健康状况,必要时先治疗牙周病再开始矫正。

