牙齿正畸过程中,橡皮筋(也称“牵引圈”)是不可或缺的辅助工具,它通过施加持续、轻柔的力,帮助牙齿在牙槽骨中缓慢移动,调整咬合关系、关闭间隙、纠正中线偏移等问题,虽然看似不起眼,但橡皮筋的正确使用直接影响正畸效果和治疗周期,因此患者需充分了解其作用、类型、佩戴方法及注意事项,才能更好地配合治疗,达到理想矫治目标。
橡皮筋在正畸中的作用机制
牙齿正畸的核心原理是利用矫治器(如托槽、弓丝)施加外力,引导牙槽骨改建,使牙齿移动至理想位置,而橡皮筋的作用在于提供“额外牵引力”,解决单纯依靠弓丝难以调整的复杂问题,其作用机制主要体现在三个方面:

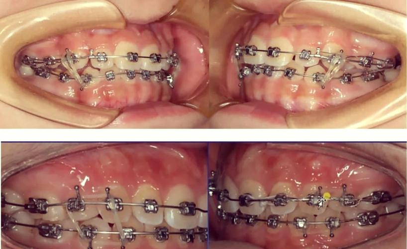
- 调整咬合关系:通过牵引上下颌牙齿,纠正“深覆合”(上牙盖下牙过多)、“深覆盖”(俗称“龅牙”)、“反合”(俗称“地包天”)等异常咬合,II类牵引(上颌向后牵引、下颌向前牵引)可纠正上颌前突,III类牵引则用于改善下颌前突。
- 关闭拔牙间隙:正畸治疗中常因牙齿拥挤需拔除前磨牙,拔牙后的间隙需通过牵引牙齿向移动关闭,橡皮筋能精准控制牙齿移动方向,避免间隙两侧牙齿倾斜。
- 纠正中线偏移:若上下颌牙齿中线不一致(如上颌中线右偏、下颌中线左偏),可通过交叉牵引(左侧上牙与右侧下牙牵引,或反之)调整牙齿位置,使中线对齐。
橡皮筋的力值通常较小(一般在50-350g之间),持续作用才能激活牙槽骨的改建过程——若力值过大或中断,可能导致牙根吸收、牙齿松动等风险,持续轻力”是正畸治疗的核心原则。
橡皮筋的类型与适用场景
根据牵引方向、形态和材质,橡皮筋可分为不同类型,医生会根据患者具体问题选择合适类型,以下是常见分类及用途:
(一)按牵引方向分类
| 牵引类型 | 作用 | 适用场景 | 常见例子 |
|---|---|---|---|
| 颌内牵引 | 单一牙弓内牙齿相互牵引(如尖牙向远中移动) | 关闭拔牙间隙、纠正牙齿扭转 | 尖牙远中牵引(将尖牙向口腔后方移动,为前牙排齐腾出空间) |
| 颌间牵引 | 上下颌牙齿相互牵引 | 纠正上下颌咬合关系(如II类、III类错合)、中线偏移 | II类牵引:上颌第一磨牙的牵引钩挂至上颌弓丝,下颌第一磨牙的牵引钩挂至下颌弓丝,形成“上后牙-下前牙”的牵引方向;III类牵引则方向相反 |
| 颌外牵引 | 利用头部或外部支点进行牵引 | 纠正严重颌骨畸形(如上颌发育不足、下颌发育过度) | 头帽颏兜牵引:通过头帽固定于头部,颏兜连接下颌牙齿,抑制下颌生长或促进上颌生长 |
(二)按形态与直径分类
- 短方形(1/4英寸):最常用,适用于上下颌小范围牵引,如纠正前牙咬合。
- 长方形(3/16英寸):牵引距离较长,适用于磨牙间牵引或关闭大间隙。
- 圆形:用于需要多方向牵引的复杂病例,如牙齿倾斜角度较大时。
(三)按材质分类
- 乳胶材质:弹性好、成本低,但部分患者可能过敏(表现为口腔黏膜红肿、瘙痒),过敏者需改用非乳胶材质。
- 非乳胶材质:如聚氨酯材质,弹性略低于乳胶,但无过敏风险,适合敏感患者。
正确佩戴橡皮筋的方法与注意事项
橡皮筋的效果取决于“正确佩戴”和“持续作用”,患者需严格遵循医嘱,避免因操作不当影响治疗进度,以下是关键步骤和注意事项:
(一)佩戴步骤
- 确认牵引方向:医生会在矫治器上粘贴“牵引钩”(或利用托槽本身的钩子),需明确橡皮筋应挂在“上颌哪颗牙的钩子”与“下颌哪颗牙的钩子”上,避免方向错误(如II类牵引方向反了会导致“龅牙”加重)。
- 取用橡皮筋:用干净的手指从包装中取出1-2根橡皮筋(避免拉扯过度导致变形),若需同时佩戴多根(如纠正中线),需按医生指定的位置和顺序佩戴。
- 挂钩操作:将橡皮筋的一端挂在上颌牵引钩上,另一端轻轻拉伸至下颌牵引钩,确保橡皮筋无扭曲、无松弛(理想状态是橡皮筋被轻微拉伸,但不过度紧绷)。
- 检查佩戴效果:佩戴后轻轻咬合,确认橡皮筋未脱落、牙齿无明显异常疼痛(轻微酸胀属正常现象)。
(二)佩戴要求
- 时间保证:每天需佩戴至少20-22小时(除吃饭、刷牙外),若中断超过4小时,牙齿可能发生轻微“反弹”,影响整体进度。
- 更换频率:每餐后更换新橡皮筋(食物残渣易附着在橡皮筋上,滋生细菌且降低弹性),若橡皮筋断裂或丢失,需立即补戴(建议随身携带备用橡皮筋)。
- 清洁与饮食:佩戴橡皮筋前需刷牙、用牙线清洁牙齿,避免食物残渣滞留;饮食避免过硬、黏性食物(如坚果、口香糖),防止橡皮筋断裂或托槽脱落。
(三)常见误区
- 误区1:“感觉不疼就不用戴”——牙齿移动的“酸胀感”是力值有效的标志,但无痛感不代表牙齿已停止移动,擅自停戴会导致间隙关闭缓慢、咬合关系紊乱。
- 误区2:“可以自行调整牵引方向”——不同错合类型需不同牵引方案,自行调整可能导致牙齿移动方向错误(如将II类牵引改为III类牵引,加重反合)。
- 误区3:“橡皮筋越紧效果越好”——橡皮筋力值需严格控制,过度牵引会导致牙根吸收、牙齿松动,甚至损伤牙槽骨。
橡皮筋佩戴中的常见问题及应对
(一)口腔溃疡或黏膜损伤
橡皮筋牵引钩可能摩擦口腔黏膜(尤其是颊侧、舌侧),导致溃疡,应对方法:使用正畸保护蜡(将蜡包裹在牵引钩上,减少摩擦),或用棉签蘸取少量溃疡散涂抹于患处,避免溃疡扩大,若溃疡频繁发作,可联系医生调整牵引钩位置。

(二)橡皮筋断裂或频繁脱落
原因可能是橡皮筋老化(长时间未更换)、牵引钩位置不当或饮食不当,应对方法:每餐后更换新橡皮筋;避免用力啃咬硬物;若牵引钩变形或脱落,及时复诊调整。
(三)牙齿酸痛加重
佩戴初期牙齿轻微酸胀属正常现象,若疼痛持续超过3天或加重,可能是力值过大或橡皮筋方向错误,需立即复诊检查,切勿自行调整。
牙齿正畸中的橡皮筋虽小,却是调整咬合、关闭间隙的关键工具,患者需明确其作用机制,严格遵循医嘱佩戴(包括方向、时间、更换频率),同时注意口腔卫生和饮食禁忌,定期复诊(医生会根据牙齿移动情况调整牵引方案),只有医患密切配合,才能确保橡皮筋发挥最大效用,让牙齿在安全、可控的环境中移动至理想位置,最终收获整齐的牙齿和健康的咬合关系。
相关问答FAQs
Q1:橡皮筋必须24小时佩戴吗?可以只戴晚上吗?
A1:不建议,橡皮筋需每天佩戴至少20-22小时,除吃饭、刷牙外不可随意取下,若仅晚上佩戴,牙齿每天受力时间不足4小时,无法持续激活牙槽骨改建,会导致治疗周期延长(甚至延长数月),且可能影响咬合关系的最终矫正效果,医生会根据牙齿移动阶段调整佩戴时间,但“夜间佩戴”仅适用于极少数轻度过矫正病例,需严格遵医嘱。

Q2:橡皮筋断了怎么办?需要马上补戴吗?
A2:需立即补戴,橡皮筋断裂后牙齿会失去牵引力,若超过2小时未补戴,牙齿可能发生轻微“反弹”(如已关闭的间隙轻微 reopen,咬合关系回退),建议随身携带备用橡皮筋(复诊时向医生多领取),一旦断裂立即更换;若复诊时发现橡皮筋频繁断裂,需告知医生,可能是牵引钩位置异常或力值过大,需调整矫治器方案。
