正畸治疗是通过矫正装置调整牙齿与颌骨位置,改善咬合功能与面部美观的医疗手段,但若方案设计不当、操作失误、患者配合不佳或术后维护不足,可能导致治疗失败,并引发一系列后遗症,影响口腔健康、咀嚼功能及心理健康,这些后遗症可能涉及牙齿、牙周、颞下颌关节等多个系统,需引起高度重视。
牙正畸失败的主要后遗症及表现
牙齿排列与咬合功能紊乱
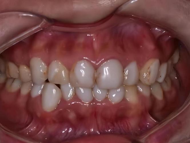
正畸失败最直接的后果是牙齿排列异常未纠正或出现新的问题,常见表现包括:牙齿反弹移位(如原本内收的门牙再次外凸、牙缝重新出现)、咬合干扰(后牙咬合时某颗牙齿过早接触,导致咀嚼受力不均)、深覆颌或深覆盖复发(上下牙垂直或水平覆盖关系未稳定)、开颌(上下牙无法正常咬合,出现缝隙)等,此类问题多因矫正方案中未充分考虑牙齿稳定性(如未解决骨性问题、支抗设计不足)、保持器佩戴时间不够或终身维护中断,导致牙齿在肌肉力量或咬合压力下逐渐移回原位。

牙周组织慢性损伤
牙齿移动过程中,若施力过大、移动速度过快,或患者口腔卫生维护不当,易引发牙周组织损伤,表现为牙龈萎缩(牙根暴露,牙齿敏感)、牙槽骨吸收(X光片可见牙槽骨高度降低)、牙周袋形成(牙龈与牙齿间缝隙加深,易藏食物残渣),严重时,牙齿因失去骨支持而松动,甚至脱落,正畸装置(如托槽、弓丝)若长期刺激牙龈,可能导致牙龈增生或炎症,进一步破坏牙周健康。
颞下颌关节紊乱(TMD)
颞下颌关节是连接下颌骨与颅骨的关节,负责张口、闭口等动作,正畸治疗若改变咬合关系(如咬合平面倾斜、后牙咬合过高),可能导致关节负荷异常,引发关节弹响、疼痛(张口或咀嚼时加剧)、张口受限甚至关节绞锁,长期TMD会影响进食、说话,甚至导致头痛、颈部疼痛等全身症状,此类后遗症多因正畸设计中未遵循“咬合稳定”原则,或过度追求牙齿排列美观而忽略关节适应性。
美观与心理问题
部分患者正畸后不仅未改善面型,反而出现新的美观缺陷,如“牙弓过窄导致牙齿外凸显嘴凸”“拔牙后邻牙倾斜致面部不对称”“牙龈暴露过多(露龈笑)”等,美观效果不理想易导致患者产生自卑、焦虑等心理问题,甚至对医疗行为产生抵触情绪,此类问题多因方案设计未结合患者面部比例、唇部形态,或医生审美与患者需求存在偏差。
牙根吸收与牙齿损伤
正畸移动牙齿过程中,牙根尖端可能出现吸收(牙根长度变短),严重时牙根呈“钝圆形”,影响牙齿稳定性,牙根吸收多与施力过大、移动速度过快、个体易感性(如部分患者牙根天生较细)有关,若矫正装置安装不当(如托槽粘贴位置错误),可能磨损牙釉质,甚至导致牙齿折裂。

牙正畸失败后遗症类型、原因及影响总结表
| 后遗症类型 | 具体表现 | 主要原因 | 潜在影响 |
|---|---|---|---|
| 牙齿排列与咬合紊乱 | 牙齿反弹、牙缝重现、咬合干扰、深覆颌/深覆盖复发 | 方案设计缺陷、支抗不足、保持器佩戴不当、肌肉力量不平衡 | 清洁困难、龋齿风险增加、咀嚼效率下降、颞下颌关节负担加重 |
| 牙周组织损伤 | 牙龈萎缩、牙槽骨吸收、牙周袋形成、牙齿松动 | 施力过大、口腔卫生维护差、牙周基础病未控制、移动速度过快 | 牙齿脱落风险增加、牙根敏感、牙周炎反复发作 |
| 颞下颌关节紊乱 | 关节弹响、疼痛、张口受限、关节绞锁 | 咬合关系异常、关节负荷过大、矫正未考虑关节适应性 | 生活质量下降、头痛、颈部疼痛、长期需理疗或手术治疗 |
| 美观与心理问题 | 面型不对称、露龈笑、嘴凸未改善或加重、患者对效果不满意 | 审美偏差、方案未结合面部比例、患者期望值过高 | 自卑、焦虑、社交障碍、对医疗信任度降低 |
| 牙根吸收与牙齿损伤 | 牙根变短、牙釉质磨损、牙齿折裂 | 施力不当、个体易感性、矫正装置安装错误 | 牙齿稳定性下降、敏感、使用寿命缩短 |
预防与应对建议
正畸失败后遗症的预防需贯穿治疗全程:术前需进行全面检查(包括口腔曲面断层片、头影测量、牙周状况评估),制定个性化方案;术中需精准控制施力,定期调整装置;术后需严格佩戴保持器(通常建议夜间佩戴至少2年,终身维护更佳),并定期复查(每年1-2次),若已出现后遗症,需根据具体情况采取针对性治疗:如排列紊乱可通过二次正畸或修复体调整;牙周问题需先进行牙周治疗,再考虑修复;TMD需咬合调整、理疗或关节专科治疗;牙根吸收严重者需拔牙后种植修复。
相关问答FAQs
问题1:正畸治疗后多久可能出现后遗症?如何早期发现?
答:后遗症出现时间因人而异,部分问题可能在矫正器拆除后短期内显现(如3-6个月内牙齿轻微移位),而牙周损伤、牙根吸收等可能需要1-3年逐渐显现,颞下颌关节紊乱甚至可能在治疗后数年因咬合疲劳而出现,早期发现需注意:① 定期复查(遵医嘱每3-6个月检查一次);② 自我观察(如牙齿是否有松动、牙龈是否出血肿胀、张口时关节是否弹响疼痛);③ 拍片检查(每年一次口腔全景片,观察牙根及牙槽骨状况)。
问题2:正畸失败的后遗症可以完全修复吗?治疗费用高吗?
答:后遗症能否完全修复取决于损伤程度,轻度问题(如牙齿轻微移位、咬合干扰)可通过调整保持器或简单修复改善;中度问题(如牙周炎、TMD)需综合治疗,可控制症状但可能无法完全逆转;重度问题(如严重牙根吸收、牙齿脱落)可能需种植牙等修复,效果较好但费用较高,治疗费用因方案复杂度差异较大,从数千元(如调整咬合)到数万元(如种植牙、二次正畸)不等,建议及时就医评估,尽早干预以降低治疗难度和成本。
