在进行牙齿矫正(正畸)的过程中,部分患者可能因之前做过烤瓷牙修复而面临“拆烤瓷牙”的问题,烤瓷牙作为一种常见的牙齿修复方式,通过将金属基底与瓷粉结合,覆盖在缺损或变色牙齿表面,以恢复功能与美观,但当牙齿排列不齐、咬合异常等问题需要通过正畸改善时,烤瓷牙的存在可能成为阻碍,因此拆烤瓷牙往往是正畸前的重要步骤,本文将详细拆解拆烤瓷牙与正畸的关系、流程、风险及注意事项,帮助患者全面了解这一过程。
为什么正畸前可能需要拆烤瓷牙?
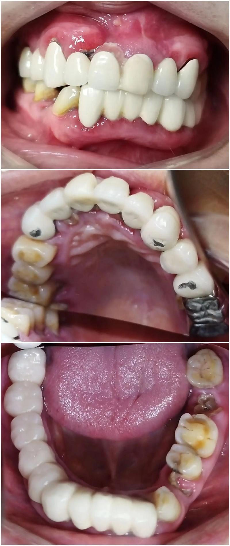
烤瓷牙的核心特点是“固定且不可移动”,其通过粘接剂与天然牙体紧密结合,形成一个整体,而正畸的核心原理是“通过外力引导牙齿在牙槽骨中缓慢移动”,重新排列位置,这两者的特性存在根本矛盾,具体体现在以下三方面:

烤瓷牙阻碍牙齿移动
正畸过程中,牙齿需要在牙槽骨内发生生理性移动,包括牙根的吸收与重建,若牙齿表面覆盖烤瓷牙,相当于给牙齿穿了一层“铠甲”,外力无法直接传递到牙根,导致牙齿无法按预期方向移动,前牙烤瓷牙可能阻碍内收,后牙烤瓷牙可能影响压低或伸长,最终导致矫正效果不佳,甚至出现牙齿“假性移动”(即烤瓷牙与下方牙体脱位,而非牙齿本身移动)。
烤瓷牙增加正畸风险
烤瓷牙与天然牙的粘接强度有限,在正畸过程中,持续的正畸力可能导致粘接剂失效,引发烤瓷牙脱落,若脱落时患者误吞,可能造成消化道损伤;若烤瓷牙边缘卡在邻牙,还可能压迫牙龈,引发炎症,烤瓷牙的材料(如金属基底)与天然牙的弹性模量不同,在受力时形变量不一致,长期可能造成牙根吸收、牙根尖周损伤等问题。
烤瓷牙影响正畸方案设计
正畸医生需要通过精确的牙齿移动调整咬合关系、改善面型,若保留烤瓷牙,医生无法准确评估牙齿的真实位置、牙根方向及牙周状况,可能导致方案设计偏差,烤瓷牙的厚度可能掩盖实际牙体缺损,正畸后牙齿移动到位,但剩余牙体无法支撑新的修复体,最终导致治疗失败。
拆烤瓷牙的流程与风险控制
拆烤瓷牙并非“简单拆除”,而是需要结合正畸需求的专业操作,流程严谨且需规避风险。

术前评估:明确“是否必须拆”
并非所有烤瓷牙都需要拆除,医生会通过以下综合判断:
- 烤瓷牙位置与数量:单颗前牙烤瓷牙若不影响牙齿移动路径(如无需大幅度内收),可考虑保留;但后牙烤瓷牙或连冠多颗烤瓷牙,通常需拆除,以免影响咬合调整。
- 烤瓷牙与牙体的结合情况:通过X线片检查烤瓷牙下方牙体是否有龋坏、隐裂或牙根吸收,若牙体健康且粘接紧密,评估是否可耐受正畸力。
- 正畸难度:简单正畸(如轻微排齐)可能无需拆牙;复杂正畸(如拔牙矫正、骨性畸形矫正)则必须拆除烤瓷牙,确保牙齿自由移动。
拆除方法:选择“最小损伤”方案
拆除烤瓷牙需在保护牙体前提下进行,常用方法如下:
| 拆除方法 | 操作原理 | 优点 | 缺点 | 适用情况 |
|---|---|---|---|---|
| 高速手机去冠法 | 用金刚砂车针沿烤瓷牙与牙体粘接剂界面磨除,避免损伤牙本质层 | 精准度高,可控制磨除深度 | 对医生技术要求高,耗时较长 | 烤瓷牙与牙体粘接紧密者 |
| 超声波去冠法 | 利用超声波振动破坏粘接剂与牙体间的结合力,减少机械磨除 | 对牙体损伤小,效率较高 | 设备成本高,需配合冷却水 | 烤瓷牙边缘密合度较好者 |
| 去冠器撬除法 | 将去冠器插入烤瓷牙边缘,通过杠杆力撬动,使粘接剂断裂 | 无需磨除,操作快速 | 易损伤牙龈或邻牙,仅适用于松动烤瓷牙 | 烤瓷牙已部分松动或粘接剂老化者 |
拆除过程中,医生需持续喷水降温,避免牙髓因过热受损;若发现牙体龋坏或隐裂,需同步进行根管治疗或牙体修复。
拆除后处理:为正畸创造条件
烤瓷牙拆除后,牙体表面可能残留粘接剂或出现敏感,需进行以下处理:
- 牙体清洁与抛光:用器械彻底清除残留粘接剂,避免刺激牙龈;用抛光杯打磨牙体表面,减少菌斑附着。
- 临时修复(必要时):若前牙烤瓷牙拆除后影响美观,可制作临时树脂冠,既保护牙体又维持外观;后牙若缺损较大,需临时冠恢复咬合,避免邻牙倾斜。
- 牙髓敏感处理:对敏感牙齿,使用脱敏牙膏或进行脱敏治疗,必要时进行牙髓活力测试,判断是否需要根管治疗。
正畸前的综合准备与注意事项
拆烤瓷牙后,需等待牙体状况稳定(通常1-2周),再启动正畸治疗,期间需重点关注以下问题:
牙周健康评估
烤瓷牙边缘若长期压迫牙龈,可能引发牙龈萎缩、牙周袋形成,正畸前需进行牙周治疗(如洁治、刮治),确保牙周组织健康,否则正畸过程中可能加重炎症,导致牙槽骨吸收。
牙体强度检查
拆除烤瓷牙后,若剩余牙体组织较少(如薄壁弱尖),需先进行牙体加固(如嵌体、纤维桩修复),避免正畸过程中牙体折裂,磨牙烤瓷牙拆除后,若牙冠剩余高度不足2mm,需先制作桩核,再粘接托槽。
正畸方案个性化设计
结合拆牙后的牙体条件,医生会调整正畸方案:
- 托槽粘接位置:避开牙体缺损区域,若牙体过小,可使用间接粘接技术,确保托槽精准定位。
- 正畸力控制:对牙体薄弱的牙齿,减小正畸力(如使用轻力弓丝),避免牙根吸收或牙体损伤。
- 修复时机规划:正畸结束后,需等待牙齿位置稳定(通常6-12个月),再根据最终牙齿形态制作永久修复体(如全瓷冠、贴面),避免修复体与牙齿不匹配。
拆烤瓷牙后修复的时机与选择
正畸完成后,牙齿排列整齐,咬合关系改善,此时需根据牙体缺损情况选择修复方式:
- 轻微缺损:可选用树脂贴面,美观且磨除牙体少,适合前牙美学修复。
- 严重缺损:需制作全瓷冠或烤瓷冠,恢复牙齿功能与形态;若牙根治疗后牙体薄弱,需联合桩核修复,增强固位力。
- 多牙连续缺损:可考虑贴面桥或全瓷桥,避免单冠修复导致的邻接不良。
相关问答FAQs
Q1:拆烤瓷牙后牙齿敏感,正畸过程中如何缓解?
A:拆烤瓷牙后牙本质暴露,易出现冷热敏感,正畸期间可通过以下方式缓解:① 使用脱敏牙膏(如含硝酸钾、氟化物成分)刷牙;② 避免过冷、过热饮食,减少刺激;③ 正畸医生可在托槽周围涂布脱敏剂,或调整弓丝力度,避免牙齿移动过快;若敏感严重,需暂停正畸,进行牙髓活力检查,排除牙髓炎可能。
Q2:正畸后修复体可以选择和之前一样的烤瓷牙吗?
A:不建议优先选择烤瓷牙,烤瓷牙的金属基底可能透出灰色,影响前牙美观;且金属离子可能刺激牙龈,导致牙龈黑线,正畸后修复推荐全瓷冠(如氧化锆、玻璃陶瓷),其生物相容性更好、色泽更自然,且对核磁共振无影响,尤其适合前牙美学区域,若后牙对强度要求高,可选择高氧化锆全瓷冠,兼顾强度与美观。
