深覆盖是口腔正畸中常见的错畸形类型,主要表现为上前牙唇向过度突出,下颌位置相对后缩,上下牙弓前后关系异常,不仅影响面部美观(如“凸嘴”畸形),还可能导致咀嚼功能下降、发音不清、颞下颌关节紊乱等问题,在正畸矫治中,平导作为一种常用的辅助矫治器,通过改变咬合关系、引导颌骨生长,在深覆盖的矫治中发挥着重要作用。
深覆盖的形成与平导的矫治原理
深覆盖的形成原因复杂,可分为骨性因素和牙性因素,骨性因素主要与上颌骨发育过度、下颌骨发育不足或两者兼有关,常与遗传、儿童期不良习惯(如吮指、口呼吸、咬唇)相关;牙性因素则多表现为上前牙唇倾、下前牙舌倾,或牙弓长度不协调,平导(全称“平面导板矫治器”)的矫治原理核心在于“咬合打开”与“颌位引导”:通过树脂垫抬高后牙咬合平面,使前牙脱离锁结关系,下颌可自由向前滑动至对刃或浅覆位置,同时咀嚼肌收缩时产生的力能刺激下颌骨向前生长,或通过牙齿移动(如上前牙内收、下前牙唇倾)改善上下牙弓的前后关系,平导还能打开深覆合(常与深覆盖并存),避免上前牙咬伤下牙龈,为后续牙齿移动创造条件。
平导的适用人群与制作流程
并非所有深覆盖患者都适合使用平导,其适用人群需满足一定条件:青少年功能性下颌后缩(无明显骨性畸形,下颌可前伸至对刃位)、混合期或恒牙早期患者(牙列尚未完全稳定,颌骨生长潜力大)、成人轻度骨性深覆盖(不愿接受正颌手术,可通过掩饰性矫治改善)、伴有深覆合的深覆盖患者(平导可同时打开咬合,解决前牙咬合创伤)。
平导的制作需严格遵循临床流程,具体步骤及注意事项如下表所示:
| 步骤 | 注意事项 | |
|---|---|---|
| 临床检查 | 评估深覆盖类型(骨性/牙性)、测量覆盖量(上前牙唇向突出度)、检查不良习惯(如口呼吸、吮指)。 | 需拍摄X线片(头颅侧位片)判断颌骨关系,排除正畸禁忌证(如严重牙周病、未控制的龋齿)。 |
| 取模 | 用藻酸盐或硅橡胶材料制取上颌牙列印模,记录正中咬合位。 | 印模需完整覆盖上颌牙列及腭部,边缘清晰,避免气泡变形,确保咬合关系准确传递。 |
| 设计与制作 | 技师根据模型设计平导:厚度以打开后牙咬合3-5mm为宜(前牙可离开2-3mm),范围覆盖后牙区(从第一前磨牙到第一磨牙),腭部形成光滑平面,避开腭部黏膜敏感区(如腭中缝)。 | 树脂材料需选用生物相容性好的热凝树脂,厚度均匀,边缘圆钝,避免刺激黏膜。 |
| 试戴与调整 | 患者试戴平导,检查边缘密合度(无翘动)、咬合接触点(后牙均匀接触,前牙无早接触)、舒适度(无压痛、异物感)。 | 若出现黏膜压痛,需打磨对应区域;若咬合接触不均,需添加树脂调整,确保下颌可自由前伸。 |
| 粘固与佩戴 | 通常用玻璃离子水门汀将平导暂时粘固于上颌后牙,或设计为可摘戴式(用卡环固位)。 | 粘固时需隔离唾液,避免粘接剂污染牙面;可摘式平导需指导患者正确摘戴(先取后牙卡环,再取前牙部分)。 |
平导戴用期间的注意事项
平导的矫治效果与患者的配合密切相关,戴用期间需严格遵循以下事项:
- 饮食管理:避免咀嚼过硬(如坚果、骨头)、黏性(如口香糖、年糕)食物,防止树脂垫断裂或卡环变形;进食后需取下平导,用清水漱口,避免食物残渣堆积。
- 口腔卫生:每天至少用牙刷、牙膏清洁平导2次(早晚各1次),可配合义齿清洁剂浸泡(浸泡时间不超过30分钟,避免树脂变色);戴用平导时,需加强后牙区清洁,使用牙线或冲牙器清除邻面菌斑。
- 复诊与调整:按医嘱定期复诊(通常2-4周1次),医生会检查牙齿移动情况、平导磨耗程度及咬合关系,必要时调整或更换平导;若出现平导断裂、严重不适或口腔黏膜溃疡,需立即复诊处理。
- 适应与不适处理:初戴1-3天可能出现异物感、轻微疼痛(因咬合改变导致肌肉酸痛),可服用布洛芬等止痛药缓解;说话、发音可能暂时受影响,建议通过练习(如朗读绕口令)加速适应;若疼痛加剧或出现持续黏膜溃疡,需复诊检查平导是否过高或边缘粗糙。
平导矫治的效果与维持
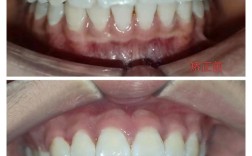
平导的矫治效果取决于患者年龄、畸形类型及配合程度:青少年功能性深覆盖患者,通常戴用6-12个月可显著改善深覆盖(下颌前移3-5mm,覆盖减少2-4mm);成人或复杂病例疗程可能延长至12-18个月,矫治结束后,需佩戴保持器(如Hawley保持器、透明保持器)至少1年,避免不良习惯复发(如夜间口呼吸),定期复查(每6个月1次),防止深覆盖复发。
相关问答FAQs
问题1:戴平导期间出现说话不清、口水增多怎么办?
解答:初戴平导时,舌体和口腔肌肉需适应新的咬合关系,可能出现暂时性说话不清(如“s”“z”音发音困难)、口水增多(因唾液分泌反射性增加),属于正常现象,通常1-2周后逐渐适应,建议每天练习发音(如反复说“四”“十”“吃”等绕口令),减少紧张情绪;避免频繁吞咽口水,可轻吞或用纸巾擦拭嘴角,若2周后仍无改善,需复诊检查平导是否过高或边缘刺激舌体,医生可适当打磨调整。
问题2:平导需要每天戴多久?一般戴多久能看到效果?
解答:平导通常需全天佩戴(每天不少于20小时),仅在吃饭、刷牙、清洁平导时取下,以保证持续的矫治力,具体疗程因人而异:青少年功能性深覆盖患者,戴用3-6个月可见下颌前移、深覆盖改善;6-12个月可基本纠正;成人或伴有骨性因素的患者,需延长至12-18个月,期间需每2-4周复诊,医生通过检查牙齿移动、咬合关系及X线片评估进展,必要时调整平导设计,切勿自行缩短戴用时间,否则会影响矫治效果,甚至导致复发。
