25岁矫正牙齿好不好,是很多成年人面临的选择,这个年龄段的年轻人往往处于事业上升期、社交活跃期,对形象和口腔健康有更高要求,同时也可能对矫正存在顾虑:会不会太晚?效果好不好?会不会影响工作生活?25岁矫正牙齿完全可行,且在多个方面具有独特优势,但也需要结合自身情况综合考虑。
从牙齿矫正的原理来看,牙齿移动主要依靠牙槽骨的改建,这个过程与年龄无直接关系,青少年时期骨骼发育未完成,矫正可能涉及颌骨生长引导,但成年后骨骼停止发育,牙齿移动同样可以通过持续、轻力的作用实现,只是移动速度可能稍慢于青少年,矫正周期可能略长,现代正畸技术已非常成熟,无论是传统金属托槽、陶瓷托槽,还是隐形牙套、舌侧牙套,都能满足不同成年人的需求,25岁矫正牙齿在技术上完全没有障碍。

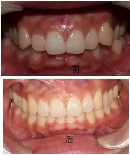
25岁矫正牙齿的独特优势
25岁矫正牙齿的核心优势在于“自主性”和“目的性”,相比青少年可能因家长要求被动矫正,25岁的成年人往往更清楚自己的需求:可能是为了改善龅牙、牙齿拥挤带来的形象焦虑,或是解决咬合异常导致的牙齿磨损、颞下颌关节问题,这种主动配合度能极大提升矫正效果——成年人能严格遵循医嘱,注意口腔卫生,按时复诊,避免食用过硬食物,这些行为对牙齿移动的稳定性和效率至关重要。
从口腔健康角度看,25岁矫正牙齿能及时解决青少年时期未处理的隐患,牙齿拥挤会导致清洁困难,易引发龋齿、牙周炎;深覆合可能造成下前牙磨损、牙龈萎缩;反颌(地包天)会影响咀嚼功能,甚至改变面部轮廓,成年后,这些问题若持续存在,可能进一步加重口腔负担,矫正不仅能排齐牙齿,更能恢复正常的咬合关系,降低未来口腔疾病风险,提升整体生活质量。
25岁处于职业和社会关系稳定期,矫正后的形象改善能带来更强的自信心,无论是职场沟通、社交活动,还是恋爱关系,整齐的牙齿都是个人形象的重要加分项,很多成年人选择在25岁矫正,正是希望通过这一改变为人生阶段“升级”助力,这种积极的心理状态也能让矫正过程更顺利。
25岁矫正牙齿可能面临的挑战
尽管优势明显,25岁矫正也存在一些需要关注的挑战,首先是矫正时间,成年人的牙槽骨密度较高,牙齿移动速度可能比青少年慢10%-20%,平均矫正周期在1.5-3年,部分复杂案例可能更长,这对需要快速适应职场节奏的年轻人来说,需要做好时间规划。

口腔健康条件,成年人口腔内可能存在更多问题,如牙周炎、牙根吸收、龋齿、种植牙、烤瓷牙等,这些都会增加矫正难度,牙周炎患者需先进行牙周治疗,控制炎症后才能开始矫正,否则可能加重牙槽骨吸收,导致牙齿松动,矫正前的全面口腔检查至关重要,包括牙周状况评估、X光片检查、牙根情况分析等,排除潜在风险。
美观和便利性也是25岁人群的顾虑,传统金属托槽可能影响职场形象,不过现代陶瓷托槽(接近牙齿颜色)和隐形牙套(可自行摘戴)已能很好地解决这一问题,隐形牙套如隐适美、时代天使等,美观度高,方便进食和清洁,适合经常社交或需要职业形象的年轻人,但价格相对较高,且对患者的自律性要求强(需每天佩戴20-22小时以上)。
25岁矫正牙齿的适合人群与方式选择
并非所有25岁的人都适合矫正,需结合具体牙齿问题和口腔条件判断,以下情况可考虑矫正:牙齿拥挤、排列不齐;龅牙、突嘴导致面型不佳;地包天、深覆合、深覆盖等咬合异常;牙齿稀疏、牙缝过大;因牙齿问题导致自卑、影响社交或咀嚼功能。
矫正方式的选择需根据牙齿畸形程度、预算、美观需求和生活习惯综合决定,以下是常见矫正方式的对比:

| 矫正方式 | 美观度 | 舒适度 | 价格范围(元) | 矫正周期 | 适用人群 |
|---|---|---|---|---|---|
| 传统金属托槽 | 低 | 中 | 8000-15000 | 5-3年 | 牙齿畸形复杂、预算有限、对美观要求不高的年轻人 |
| 陶瓷托槽 | 中 | 中 | 12000-20000 | 5-3年 | 对美观有一定要求,牙齿畸形程度中等的人群 |
| 隐形牙套(隐适美等) | 高 | 高 | 25000-50000 | 5-2.5年 | 预算充足、注重美观、自律性强、牙齿畸形程度中等的人群 |
| 舌侧托槽 | 极高 | 低 | 40000-80000 | 2-3年 | 对美观要求极高、不介意异物感、预算充足的人群(如演员、主持人等) |
25岁矫正牙齿的注意事项
- 选择正规机构和专业医生:成年矫正对医生技术和经验要求更高,需选择有正畸资质的医院或诊所,医生需熟悉成年人骨骼特点、牙周状况及复杂病例处理,可通过查看医生案例、患者评价综合判断。
- 矫正前全面检查:除常规口腔检查外,需拍摄全景片、头颅侧位片,必要时做CBCT(锥形束CT),评估牙根情况、牙槽骨密度、颌骨关系,排除矫正禁忌证。
- 重视口腔卫生维护:戴托槽后牙齿清洁难度增加,需使用正畸专用牙刷、牙缝刷、冲牙器,避免食物残渣堆积导致龋齿或牙周炎,建议每3个月洗牙一次。
- 饮食与生活习惯调整:避免食用过硬、黏性食物(如坚果、口香糖),防止托槽脱落;隐形牙套需按时佩戴,避免饮用含糖饮料(如可乐、奶茶)时戴牙套,以防蛀牙。
- 做好心理准备:矫正初期可能出现牙齿酸痛、口腔溃疡等不适,通常1周内缓解;矫正过程中需定期复诊(一般4-6周一次),不可因工作繁忙擅自推迟。
- 坚持佩戴保持器:矫正结束后需立即佩戴保持器(通常保持2-3年,复杂病例可能需终身佩戴),防止牙齿复发,成年后牙齿稳定性相对较低,保持器佩戴是维持效果的关键。
25岁矫正牙齿“好不好”没有绝对答案,但对大多数有需求的成年人而言,这是一个值得投入的选择,它不仅能改善牙齿美观,更能解决口腔健康隐患,提升自信心和生活质量,尽管存在矫正周期较长、口腔条件要求高等挑战,但通过选择合适的方式、专业医生和严格配合,这些问题都能有效规避,关键在于明确自身需求,做好充分准备,以积极的心态迎接矫正过程,最终收获一口整齐健康的牙齿和更自信的人生。
相关问答FAQs
Q1:25岁矫正牙齿会不会很疼?
A1:矫正过程中可能出现轻度不适,但并非“剧痛”,初戴牙套后1-3天,牙齿因受力会有酸胀感,咀嚼时明显,通常1周内逐渐缓解;每次复诊加力后也可能有短暂不适,但属于正常现象,可通过进食软食、避免用患侧咀嚼缓解,必要时遵医嘱服用止痛药,现代矫正技术已优化托槽和弓丝设计,舒适度较过去大幅提升。
Q2:矫正后牙齿会反弹吗?如何避免?
A2:牙齿存在一定的“记忆性”,矫正后若不佩戴保持器,确实存在反弹风险,尤其是牙齿拥挤、龅牙等原始问题较严重者,避免反弹的核心方法是:严格佩戴保持器,矫正结束后需立即佩戴,前6天除进食刷牙外全天佩戴,之后改为夜间长期佩戴(至少2年),注意避免用牙齿咬硬物(如开酒瓶、咬核桃)、保持口腔卫生,定期复查牙齿稳定性,一旦发现牙齿移位迹象,及时联系医生调整保持器。
