矫正完牙齿后对比照片,是牙齿矫正过程中最具直观意义的“成果展示”,无论是对于患者本人还是接诊的医生,这些照片都是记录牙齿从初始状态到最终蜕变的重要载体,不仅能让患者直观感受到矫正带来的改变,增强对治疗的信心,也为医生评估矫正效果、总结临床经验提供了真实依据,下面将从对比照片的意义、拍摄要点、核心对比维度、案例解读及注意事项等方面展开详细说明。
矫正后对比照片的核心意义
牙齿矫正的本质是通过移动牙齿、调整咬合关系、改善面部软组织形态,从而达到功能与美观的统一,对比照片通过“前后对照”的方式,将这种抽象的“改变”转化为具象的视觉呈现,其意义主要体现在三方面:

直观呈现治疗效果:矫正前可能存在的牙齿拥挤、龅牙、地包天、牙缝过大等问题,在矫正后会通过照片清晰展现“解决过程”,比如原本歪斜的牙齿变得整齐,突出的嘴唇收回自然,不对称的脸型逐渐对称,这些都是文字描述难以替代的直观效果。
增强患者信心与认同感:矫正周期通常较长(1-3年),过程中患者可能因佩戴牙套、牙齿酸痛等产生焦虑或怀疑,对比照片能让他们看到“坚持的价值”,从“最初的期待”到“最终的满意”,形成强烈的心理认同,也便于向家人、朋友分享矫正成果。
为医生提供复盘依据:通过对比矫正前后的照片,医生可以评估牙齿移动是否符合预期、咬合关系是否稳定、面部软组织改善是否理想,进而总结矫正方案的设计是否合理、技术操作是否精准,为后续类似病例提供参考。
拍摄对比照片的关键要点
为了让对比照片具有真实性和可比性,拍摄时需严格遵循“一致性原则”,避免因角度、光线、表情等因素差异导致效果失真,具体要点包括:

拍摄角度:固定“五大经典视角”
牙齿矫正的对比照片需覆盖牙齿、咬合、面部轮廓等多个维度,通常固定以下五个角度:
- 正面照:站立或端坐,头部正直,双眼平视前方,自然微笑(露出上下牙齿),拍摄时相机与面部在同一水平线,避免仰拍或俯拍导致面部变形。
- 左侧45度侧面照:身体转向左侧约45度,头部保持正直,自然微笑,重点展示侧脸轮廓(如嘴唇突度、下巴线条)和牙齿排列。
- 右侧45度侧面照:与左侧对称,用于对比面部两侧是否对称改善。
- 上颌牙列咬合面照:头部后仰,上下牙齿自然咬合,相机从正上方拍摄,观察牙齿排列整齐度、咬合接触点是否均匀。
- 下颌牙列咬合面照:与上颌类似,重点展示下牙列的整齐度和咬合关系。
光线与背景:避免干扰因素
- 光线:选择自然光(如窗边)或柔和的室内灯光,避免强光直射或阴影导致牙齿颜色、面部轮廓失真,禁止使用闪光灯,以免产生反光影响牙齿细节观察。
- 背景:保持背景简洁、统一(如纯色墙面、白色背景板),避免矫正前背景杂乱、矫正后背景更换,导致视觉焦点偏移。
表情与状态:保持自然一致
- 表情:矫正前后均采用“自然微笑”(不刻意咧嘴、不抿嘴),微笑时肌肉放松,露出全部前牙及前磨牙,确保牙齿暴露范围一致。
- 状态:拍摄前清洁牙齿(矫正后需摘掉保持器拍摄),避免口红、有色饮料残留影响牙齿颜色观察;矫正前如有牙龈红肿、牙结石等问题,需在记录时备注,避免与矫正后效果混淆。
对比照片的核心维度与表格解析
矫正前后的对比需围绕“牙齿排列”“咬合关系”“面部软组织”“功能改善”四大维度展开,以下通过表格详细说明各维度的具体对比内容:
| 对比维度 | 矫正前表现 | 矫正后表现 | 视觉变化说明 |
|---|---|---|---|
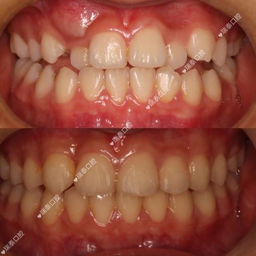
| 牙齿排列整齐度 | 牙齿拥挤、扭转、错位(如“虎牙”外凸、牙列不齐),牙缝过大或过小。 | 牙齿排列整齐,无扭转、拥挤,牙缝均匀(如邻接点紧密但不挤压),牙弓形态自然。 | 从“杂乱无章”到“有序排列”,牙齿边缘呈平滑弧线,前牙对称(中线对齐)。 |
| 咬合关系 | 深覆合(上牙完全覆盖下牙)、深覆盖(龅牙)、反颌(地包天)、开颌(上下牙无法咬合)、中线偏斜。 | 上下牙咬合紧密,前牙覆颌、覆盖正常(上前牙盖过下前牙1/3),中线对齐,后牙尖窝交错。 | 咬合时上下牙齿接触点均匀,咀嚼时受力分散;侧貌“面下1/3”比例协调,无深覆合导致的“月牙脸”。 |
| 面部软组织变化 | 龅牙导致嘴唇前突、闭唇困难;地包天导致下巴前伸、面中凹陷;牙列拥挤导致嘴角不对称、微笑时牙龈暴露过多。 | 嘴唇自然闭合,无前突或后缩;侧脸线条流畅(如颏唇沟清晰),鼻-唇-颏比例协调;微笑时牙龈暴露量适中(≤2mm)。 | 面部“突度”改善,如龅牙患者侧脸从“凸嘴”变为“直面”;地包天患者“月牙脸”变得饱满,下巴后缩缓解。 |
| 功能改善 | 咀嚼效率低(咬不动硬物),发音不清(如“s”音),牙齿易磨损(咬合创伤)。 | 咀嚼有力,可正常进食硬物(如苹果、坚果),发音清晰,牙齿无异常磨损。 | 功能与美观同步提升,生活质量显著改善,如原本不敢大笑的患者可自信露出牙齿。 |
典型案例对比解读
龅牙(上颌前突)矫正前后对比
- 矫正前:正面照可见上前牙明显前突,自然闭唇时嘴唇紧绷、颏部肌肉紧张;侧面照呈“凸嘴”畸形,鼻-唇-颏连线不协调,微笑时牙龈暴露过多(约4mm)。
- 矫正方案:拔除4颗第一前磨牙,通过固定矫治器内收上前牙,调整牙弓形态。
- 矫正后:正面照上前牙排列整齐,中线对齐,闭唇自然放松;侧面照嘴唇突度显著改善,颏唇沟显现,鼻-唇-颏角度接近正常(约105°-110°);微笑时牙龈暴露量控制在1mm内,笑容更自然。
牙列拥挤+中线偏斜矫正前后对比
- 矫正前:正面照可见牙齿“东倒西歪”,右上牙中线偏左约2mm,下牙列拥挤致右下“虎牙”外凸;咬合面照显示牙齿交错排列,无稳定咬合接触点。
- 矫正方案:非拔牙矫正,通过扩弓器调整牙弓宽度,利用滑动法关闭牙缝,纠正中线偏斜。
- 矫正后:正面照牙齿排列整齐,上下牙中线完全对齐;咬合面照呈“标准卵圆形牙弓”,后牙尖窝交错,咀嚼时受力均匀;侧面看面部对称性提升,无因拥挤导致的“面部凹陷”。
拍摄对比照片的注意事项
- 时间节点选择:除矫正前(方案设计时)、矫正后(拆除矫治器时)必须拍摄外,矫正中(如每3-6个月)可阶段性拍摄,记录牙齿移动过程(如牙缝关闭、牙齿排齐的渐进变化)。
- 设备与工具:建议使用同一部手机/相机,避免因镜头差异导致变形;可借助“咬合板”(矫正前咬一层薄蜡,矫正后复刻)确保咬合面照角度一致。
- 长期跟踪拍摄:矫正完成后需佩戴保持器,建议在保持1个月、6个月、1年时拍摄对比照,观察牙齿是否稳定(如无复发拥挤、中线偏斜)。
相关问答FAQs
Q1:矫正后对比照片多久拍一次合适?需要每次复诊都拍吗?
A:矫正后对比照片的拍摄频率需结合矫正阶段灵活调整:①矫正前(戴牙套前):必须拍摄,作为基准对照;②矫正中:每3-6个月复诊时拍摄1次,重点记录牙齿排齐、牙缝关闭、咬合调整等关键变化(如拔牙病例需观察牙缝是否关闭完全);③矫正后(拆除牙套):立即拍摄,评估最终效果;④保持期:保持1周、1个月、6个月、1年各拍摄1次,观察牙齿稳定性,无需每次复诊都拍,但阶段性拍摄(如每半年)能更清晰追踪矫正进程。
Q2:对比时发现矫正后牙齿还不够整齐,或者咬合有点不舒服,正常吗?
A:矫正后牙齿“轻微不整齐”或“咬合不适”可能属于正常现象,但也需警惕复发风险:①正常情况:拆除矫治器后,牙齿因周围组织改建(牙槽骨、牙龈)可能出现轻微移动(如前牙轻微拥挤、咬合高点),通常在3-6个月内会逐渐稳定;②异常情况:若牙齿明显倾斜、牙缝重新变大,或咬合时疼痛、颞下颌关节弹响,可能是保持器佩戴不当(如未全天佩戴)、矫正方案设计缺陷(如未充分内收牙齿)或不良习惯(如吐舌、夜磨牙)导致,需及时复诊,医生可通过调整保持器(如加戴保持器、制作透明保持器)或进行精细矫正(如少量牙釉质打磨)解决。

