大牙(通常指第一、第二磨牙)作为口腔中承担主要咀嚼功能的“主力军”,其位置和咬合状态对口腔健康至关重要,当大牙出现歪斜时,不仅可能影响咀嚼效率,还可能引发连锁问题,如食物嵌塞、牙周炎、颞下颌关节紊乱等,本文将详细解析大牙歪斜的原因、矫正必要性、常用方法及注意事项,帮助患者全面了解这一问题的处理方案。
大牙歪斜的常见原因
大牙歪斜并非偶然,其背后往往存在多种诱因,可分为先天因素和后天因素两大类,先天因素中,牙弓长度不足是常见原因,比如颌骨发育较小而牙齿数量正常,导致空间拥挤,大牙在萌出过程中被迫向颊侧或舌侧倾斜;邻牙先天缺失(如第二前磨牙缺失)也会使大牙向缺隙方向移动,造成位置异常,后天因素则更为复杂,例如牙周炎导致的牙槽骨吸收,会使牙齿失去稳固支撑而逐渐移位;矫正结束后未坚持佩戴保持器,也可能导致大牙复发歪斜;长期偏侧咀嚼、夜磨牙等不良习惯,会使单侧咬合力过大,改变大牙的正常位置;青少年时期恒牙萌出顺序异常,如乳牙早失未及时干预,也可能导致大牙萌出方向偏差。

矫正大牙歪斜的必要性
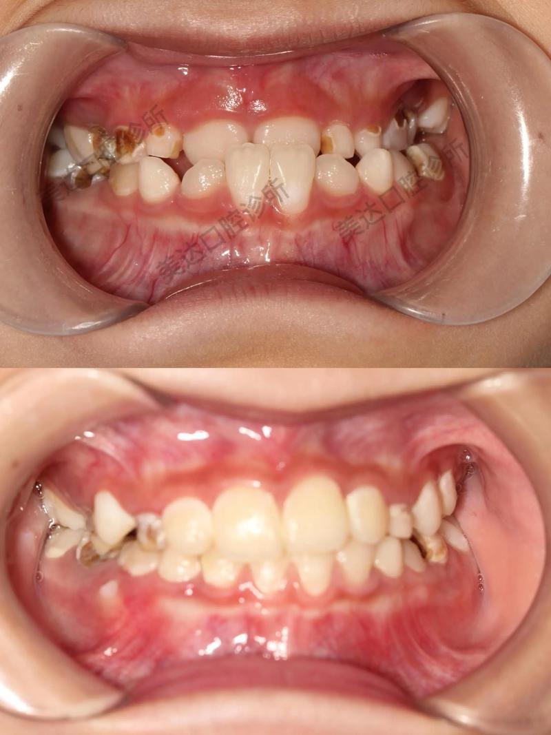
大牙歪看似“小问题”,实则可能引发一系列口腔健康风险,从功能角度看,歪斜的大牙会导致咬合接触点异常,使咀嚼效率下降,长期甚至可能引起消化系统问题;咬合紊乱还会增加颞下颌关节的负担,诱发关节弹响、疼痛等症状,从健康角度分析,歪斜的大牙与邻牙之间容易形成清洁死角,食物残渣堆积易引发龋齿或牙周炎,而牙周炎症进一步加剧牙槽骨吸收,形成“牙齿移位—炎症加重—更多移位”的恶性循环,从美观角度,虽然后牙位于口腔深处,但严重的歪斜可能导致咬合平面不对称,影响面部轮廓的协调性,一旦发现大牙歪斜,建议尽早就诊评估,避免问题恶化。
矫正大牙歪斜的常用方法
矫正大牙歪斜需根据具体病因、歪斜程度及患者年龄制定个性化方案,目前临床常用的方法包括传统托槽矫正、隐形矫正、支抗技术辅助矫正等,具体选择需由正畸医生综合判断。
不同矫正方式的对比与适用情况
| 矫正方式 | 原理 | 优点 | 缺点 | 适用情况 |
|---|---|---|---|---|
| 传统金属托槽矫正 | 通过弓丝与托槽的连接,施加持续生物力,将牙齿移动至目标位置 | 矫正力度强,适用复杂错位,性价比高 | 美观性差,口腔异物感明显,需注意口腔卫生 | 大牙严重倾斜、扭转,需大量移动的情况 |
| 陶瓷托槽矫正 | 与金属托槽原理相同,但托槽材质为透明陶瓷,接近牙齿颜色 | 美观度提升,强度较金属托槽略低 | 价格较高,部分患者对陶瓷材质敏感 | 对美观有要求,歪斜程度中等的大牙矫正 |
| 隐形矫正(牙套) | 利用3D打印技术定制透明牙套,通过更换不同阶段的牙套,逐步移动牙齿 | 隐形美观,可摘戴,口腔舒适度高 | 矫正力度相对温和,复杂病例效果有限,费用高 | 轻度至中度大牙歪斜,患者配合度高 |
| 舌侧矫正 | 将托槽粘接在牙齿舌侧面,完全隐藏于口腔内 | 美观度最高,不影响社交 | 技术难度大,费用高昂,舒适度低,清洁困难 | 对美观要求极高,且能配合复杂治疗的患者 |
| 支抗技术(种植钉) | 在牙槽骨中植入微小的种植体(支抗钉),作为移动牙齿的“稳固支点” | 精准控制牙齿移动,避免其他牙齿受影响 | 需微创手术,部分患者对种植钉有心理负担 | 大牙需远中移动、直立,或需强支抗的情况 |
不同歪斜情况的处理策略
大牙歪斜的表现形式多样,处理方案也需“对症下药”,若大牙仅为轻度倾斜(如近中或远中倾斜),可通过传统矫正或隐形矫正,使用方丝弓配合“摇椅形弓丝”或“转矩辅弓”逐步直立牙齿;若存在扭转(如牙冠向颊侧或舌侧旋转),则需在弓丝上弯制“扭转簧”或采用片段弓技术,通过局部加力纠正旋转角度,对于因邻牙缺失导致的大牙移位,需先通过正畸治疗关闭间隙(如“滑动法”或“关闭曲法”),待间隙关闭后再调整大牙位置;若间隙需保留(如计划种植修复邻牙),则需将大牙向远中移动,为后续修复留出空间,若大牙歪斜合并牙周病,需先进行系统性牙周治疗(如龈下刮治、根面平整),控制炎症后再开始轻力矫正,避免加重牙槽骨吸收;矫正期间需定期复查牙周状况,必要时与牙周科医生联合治疗。
矫正期间的注意事项
矫正大牙歪斜是一个长期过程,患者需积极配合才能达到理想效果,口腔卫生是“重中之重”,由于托槽周围易积累食物残渣,需使用正畸专用牙刷(如“V”形牙刷)、牙线棒、冲牙器等工具清洁,每天至少刷牙3次,每次3分钟,预防托槽周围龋坏和牙龈炎,饮食需格外注意,避免啃咬硬物(如骨头、坚果、螃蟹壳)和黏性食物(如口香糖、年糕),以防托槽脱落或弓丝变形;若不慎发生托槽脱落,需及时联系医生处理,避免影响矫正进度,需严格按时复诊(通常每4-6周一次),医生会根据牙齿移动情况调整加力力度和弓丝形态,确保矫正方向正确,矫正结束后,必须佩戴保持器(通常为Hawley保持器或透明保持器),前6个月需全天佩戴(进食除外),之后改为夜间长期佩戴,防止牙齿复发移位。

日常维护与长期随访
矫正完成后,大牙的稳定仍需长期维护,建议每年进行1-2次口腔检查和洁牙,及时发现并处理潜在问题;若出现咬合不适、牙齿松动等症状,需立即就医,需纠正不良习惯,如避免偏侧咀嚼、戒烟(吸烟会加重牙周萎缩)、控制夜磨牙(可佩戴颌垫保护牙齿),这些措施对维持大牙长期稳定至关重要。
相关问答FAQs
问题1:矫正大牙歪了会比普通牙齿更久吗?
解答:矫正时间需根据歪斜程度和复杂度判断,单纯轻度倾斜的大牙,矫正周期通常为6-12个月;若存在严重扭转、需大量移动(如远中移动)或合并牙周问题,矫正时间可能延长至12-18个月;若采用隐形矫正,因力度相对温和,可能比传统矫正多2-3个月,具体时间需由医生通过检查后确定,患者配合度(如保持口腔卫生、按时复诊)也会影响矫正进度。
问题2:矫正后大牙会再次歪回来吗?
解答:矫正后大牙复发移位的风险主要与两个因素相关:一是是否坚持佩戴保持器,二是是否存在不良习惯或牙周问题,若矫正结束后未按医嘱佩戴保持器(尤其是过早停戴),牙齿周围的牙槽骨和牙龈组织尚未完全稳定,极易复发;若长期偏侧咀嚼、夜磨牙或存在未控制的牙周炎,也会导致大牙再次歪斜,严格佩戴保持器(至少夜间佩戴2年,建议长期佩戴)、保持口腔卫生、纠正不良习惯是降低复发率的关键。
