拜博口腔网

  • 拔牙正畸矫正失败?原因究竟出在哪?

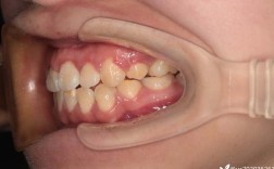
    拔牙正畸矫正失败?原因究竟出在哪?

    拔牙正畸是临床解决牙齿严重拥挤、前突等问题的常用手段,通过拔除部分牙齿为牙列调整提供空间,但并非所有案例都能达到预期效果,部分患者可能面临矫正失败的情况,表现为效果不持久、咬合紊乱、美观未改善甚至牙周损伤等问题,需明确失败表现、核心原因及科...

    2026-01-05
    16 0 0
  • 正畸虎牙没正过来

    正畸虎牙没正过来

    虎牙在口腔医学中被称为“尖牙”,是牙弓中体积最大、牙根最长的牙齿,位于口腔侧切牙和第一前磨牙之间,不仅承担着撕裂食物的功能,还对维持面部口角饱满度、支撑嘴唇形态起到关键作用,正畸治疗的核心目标之一便是将错位的虎牙移动到正常牙弓位置,但部分患...

    2026-01-04
    11 0 0
  • 正畸一段时间不去复诊,牙齿会有哪些影响?

    正畸一段时间不去复诊,牙齿会有哪些影响?

    正畸治疗是通过持续、渐进的力引导牙齿在牙槽骨内移动,最终达到排列整齐、咬合协调的目标,这一过程对时间性和专业性有较高要求,若治疗中途因各种原因停止复诊或佩戴矫治器,可能会对牙齿、口腔健康及最终治疗效果产生一系列连锁影响,具体可从以下几个维度...

    2026-01-02
    14 0 0
  • 牙齿矫正后牙缝明显,是矫正失败还是需要额外处理?

    牙齿矫正后牙缝明显,是矫正失败还是需要额外处理?

    牙齿矫正后出现牙缝(牙齿间隙)是一个相对常见的现象,但不一定都是问题,具体原因和处理方式需要根据缝隙的大小、位置、出现时间以及你的整体口腔健康状况来判断,以下是几种可能的原因和相应的建议:📍一、矫正过程中的正常现象(通常无需过度担心)牙齿...

    2025-11-22
    37 0 0
  • 牙齿矫正后歪斜?是矫正失败吗?原因与解决方法?

    牙齿矫正后歪斜?是矫正失败吗?原因与解决方法?

    牙齿矫正后再次出现歪斜(复发)是一个令人沮丧但并不罕见的问题,这通常被称为“复发”,是正畸治疗中需要特别关注和管理的阶段,别担心,这种情况有办法处理,关键在于找出原因并采取正确的措施,🦷为什么矫正后牙齿会再次歪斜?复发的原因多种多样,常见...

    2025-11-21
    34 0 0
  • 2025年牙齿矫正后牙松动,是矫正失败了吗?

    2025年牙齿矫正后牙松动,是矫正失败了吗?

    牙齿矫正后出现一定程度的牙齿松动是非常常见且通常是正常的现象,但这需要区分是治疗过程中的暂时性反应还是可能存在问题的异常松动,🦷一、正常的、暂时性的松动(治疗预期的一部分)矫正原理:牙齿矫正的原理是通过施加持续、轻柔的力量,引导牙齿在牙...

    2025-11-17
    48 0 0
  • 2025年拥挤牙齿矫正失败案例频发?原因何在?

    2025年拥挤牙齿矫正失败案例频发?原因何在?

    拥挤牙齿矫正失败案例确实存在,虽然现代正畸技术已经非常成熟,但任何医疗过程都存在风险和不确定性,失败可能发生在矫正过程中的任何阶段,并导致各种不良后果,以下是一些常见的拥挤牙齿矫正失败案例及其原因分析:诊断设计阶段失败方案设计错误:拔牙不...

    2025-11-12
    46 0 0
  • 2025牙齿矫正后嘴唇外翻,是矫正失败了吗?

    2025牙齿矫正后嘴唇外翻,是矫正失败了吗?

    为什么矫正后会出现嘴唇外翻?嘴唇外翻的根本原因是牙齿和颌骨的位置变化超出了软组织的适应能力,具体可能由以下因素导致:牙齿过度内收(最常见原因):目标设定问题:矫正方案中可能过度追求“内收前牙”(将前牙向口腔内移动),以改善“龅牙”或“牙齿拥...

    2025-11-06
    180 0 0
  • 矫正完牙齿反而变龅牙,是矫正失败了吗?

    矫正完牙齿反而变龅牙,是矫正失败了吗?

    我能理解你现在的担忧!矫正牙齿后感觉牙齿变“龅”了,这确实是一个令人不安的情况,尤其是在付出了时间、精力和金钱之后,别着急,这种情况虽然不常见,但确实有可能发生,而且通常有原因,也有解决办法,最重要的一点:请立即联系你的正畸医生进行复诊!...

    2025-10-26
    57 0 0
  • 牙齿矫正失败图曝光,这些失败案例究竟为何发生?

    牙齿矫正失败图曝光,这些失败案例究竟为何发生?

    我理解你想了解牙齿矫正失败的具体案例图片,但需要明确几点重要信息:无法提供真实患者图片:出于患者隐私保护和医学伦理的考虑,我不能直接展示真实的、可识别身份的患者牙齿矫正失败照片,这些图片属于患者的个人医疗信息,“失败”定义复杂:牙齿矫正...

    2025-10-26
    59 0 0
  • 1 / 1
  • 1