手术牙齿矫正,通常指正颌手术联合正畸治疗的综合方案,主要针对单纯正畸无法解决的骨性牙齿颌面问题,如上下颌骨发育过度/不足、严重偏颌、开颌、深覆颌等,其效果需结合病例类型、治疗方案、医生技术及术后护理综合评估,总体而言,在适应症范围内且规范实施的情况下,效果显著,但并非“万能”,需理性看待。
手术牙齿矫正的核心效果:功能与美观的双重改善
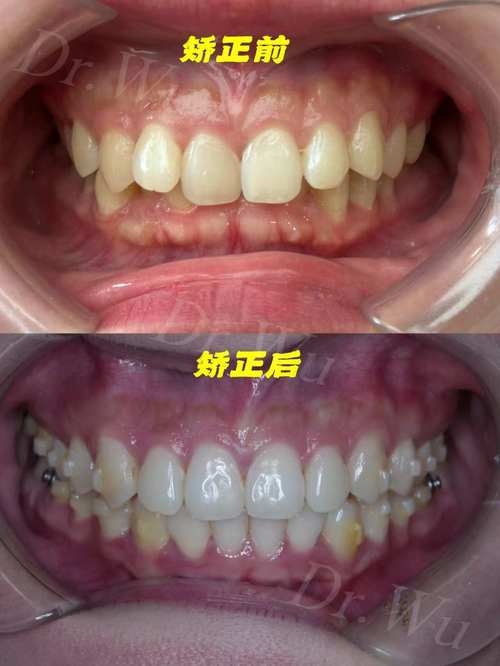
手术牙齿矫正的核心目标是解决“骨性问题”,通过调整颌骨位置、重建咬合关系,实现功能与面部美观的协同优化,效果远超单纯正畸对牙齿排列的调整。

咬合功能的根本性恢复
骨性畸形常伴随咬合紊乱,如深覆颌可能导致前牙磨损、颞下颌关节紊乱,偏颌可能引起咀嚼肌疲劳、单侧牙齿过度磨耗,正颌手术通过截骨、移动颌骨至正常位置,使上下牙列咬合关系匹配,恢复咀嚼效率、发音功能及颞下颌关节健康,严重“地包天”(下颌前突)患者,单纯正畸仅能内收下前牙,无法改变下颌骨位置,术后仍可能存在“脸型凹陷”;而正颌手术可整体后退下颌骨,使咬合稳定,咀嚼功能显著提升。
面部美观的精准重塑
颌骨位置对面部轮廓影响极大,如上颌骨发育不足可能导致“凹面容”,下颌骨发育过度则形成“月牙脸”,手术矫正通过调整颌骨三维位置(前后、左右、上下),可直接改善面部对称性、比例协调性,上颌前突(龅牙)患者,通过上颌骨Lefort I型截骨后退,不仅能解决牙齿前突,还能改善鼻基底凹陷、嘴唇外翻等问题,使面部更柔和;偏颌患者通过截骨移动下颌骨,可纠正下巴偏斜、面部不对称,提升整体美观度。
长期效果的稳定性
单纯正畸依赖牙齿移动调整咬合,但骨性畸形未纠正时,牙齿易复发(如反弹);而正颌手术通过改变颌骨相对位置,从骨骼层面建立稳定咬合,配合术后正畸精细调整,长期稳定性更高,临床研究显示,规范的正颌正畸治疗术后5-10年,咬合关系及面部形态保持良好的比例超85%,复发风险主要与术后不良习惯(如异常咀嚼、未佩戴保持器)或病例复杂性相关。
影响手术矫正效果的关键因素
手术牙齿矫正效果并非“一刀切”,受多重因素制约,需术前充分评估与术中术后精准把控。

病例选择的适配性
并非所有牙齿问题都需要手术,仅适用于骨性畸形且单纯正畸无法改善者。
- 骨性III类错颌(下颌前突、上颌发育不足),伴明显凹面容、前牙反颌;
- 骨性II类错颌(上颌前突、下颌发育不足),伴龅牙、露龈笑、深覆盖;
- 偏颌(下颌骨左右不对称),伴咬合紊乱、面部歪斜;
- 开颌(上下牙无法咬合),伴咀嚼功能严重障碍。
对于单纯牙性错颌(如牙齿拥挤、轻度扭转),仅需正畸治疗即可,手术反而增加风险。
医生团队的技术水平
手术矫正需正畸医生与颌面外科医生紧密协作,二者缺一不可:
- 正畸医生:术前通过模型分析、X光片(头影测量)、CBCT等制定方案,进行术前正畸(排齐牙齿、预留骨移动空间);术后进行精细咬合调整,确保牙齿与颌骨关系稳定。
- 颌面外科医生:精准设计截骨线、移动距离,术中保护神经血管(如下牙槽神经),避免术后麻木或功能障碍。
医生经验直接影响手术精度,例如截骨角度偏差1mm,可能导致咬合偏差或面部不对称,需选择具备正颌正畸资质的专科医生。
术后护理与患者配合
术后护理是效果维持的关键,需做到:
- 饮食管理:术后1-2周流质饮食,逐渐过渡到软食,避免过硬食物导致骨块移位;
- 口腔卫生:使用漱口水、软毛牙刷清洁,防止感染(术后感染可能影响骨愈合);
- 佩戴保持器:术后正畸结束后需终身佩戴保持器(夜间为主),防止牙齿复发;
- 定期复诊:术后1、3、6个月及每年复查,监测咬合及骨愈合情况。
个体差异与并发症风险
部分患者可能因骨骼愈合能力差异(如骨质疏松、糖尿病)、术前存在颞下颌关节疾病等,影响效果;严重并发症(如出血、感染、神经损伤)发生率低于5%,但可能需二次修复,需术前充分沟通风险。

手术矫正与单纯正畸的效果对比
为更直观理解手术矫正的优势,以下从多维度对比:
| 对比维度 | 手术矫正(正颌+正畸) | 单纯正畸 |
|---|---|---|
| 适应症 | 骨性错颌(如严重偏颌、开颌、上下颌前突/后缩) | 牙性错颌(拥挤、扭转、轻度深覆颌等) |
| 咬合改善 | 从骨骼层面重建稳定咬合,功能恢复彻底 | 调整牙齿位置,但骨性畸形未纠正,易复发 |
| 面部美观 | 直接改善颌骨位置,重塑面部轮廓(如下巴、颧骨对称性) | 仅调整牙齿排列,对骨性脸型改善有限 |
| 治疗时间 | 2-3年(术前正畸1-2年+手术+术后正畸6-12个月) | 1-2年 |
| 风险与创伤 | 手术创伤,存在麻醉、感染等风险 | 无创伤,仅通过牙套移动牙齿 |
| 长期稳定性 | 高(骨骼位置稳定,复发率低) | 中(依赖保持器,骨性畸形者易复发) |
理性看待手术矫正的效果
手术牙齿矫正在解决复杂骨性错颌方面具有不可替代的优势,能同时实现咬合功能与面部美观的显著改善,且长期稳定性良好,但需明确:其效果严格依赖适应症选择、医生技术及患者配合,并非“变美捷径”,而是针对特定疾病的医疗行为,对于有骨性畸形困扰的患者,建议尽早到正规医院正畸科或颌面外科进行专科检查,通过头影测量、模型分析等明确诊断,制定个性化方案,才能最大程度保障矫正效果。
相关问答FAQs
Q1:手术牙齿矫正需要多长时间?整个过程中有哪些关键阶段?
A:手术矫正总治疗周期通常为2-3年,分为三个关键阶段:
- 术前正畸(1-2年):通过戴牙套排齐牙齿、调整咬合,为手术预留骨移动空间,需定期复诊调整;
- 手术阶段(1-3天):全身麻醉下进行颌骨截骨、移动、固定,术后住院观察5-7天;
- 术后正畸(6-12个月):精细调整咬合,确保牙齿与颌骨关系稳定,结束后佩戴保持器。
Q2:手术牙齿矫正会很痛吗?术后恢复期需要注意什么?
A:手术中采用全身麻醉,无疼痛感;术后1-3天会有疼痛、肿胀,可通过止痛药、冰敷缓解,一般1周后逐渐消退,恢复期需注意:① 避免剧烈运动及碰撞面部;② 饮食从流质(如粥、奶昔)过渡到软食(如烂面条、蒸蛋),1个月内禁食过硬、辛辣食物;③ 保持口腔卫生,使用含漱口水预防感染;④ 严格按照医嘱佩戴保持器,避免牙齿复发。
