成人矫正牙齿已成为越来越多追求口腔健康与美观的选择,但“矫正后会反弹”的担忧也让不少人犹豫,牙齿矫正后的反弹确实存在,但并非不可避免,其发生与矫正方案、患者自身维护、保持器使用等多重因素密切相关,要理解反弹的机制并有效预防,需从矫正原理、复发原因及科学维护入手。
牙齿矫正反弹的定义与常见表现
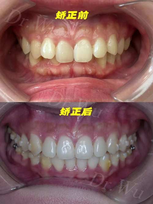
牙齿矫正反弹,又称“复发”,是指矫正结束后,牙齿在内外因素作用下逐渐偏离理想位置,回到或接近矫正前状态的过程,临床数据显示,成人矫正后的复发率约为20%-30%,高于青少年(因青少年颌骨仍在发育,矫正潜力更大),常见表现包括:牙齿拥挤度再次增加、门牙扭转或外凸、咬合关系紊乱(如深覆合、深覆盖复发)、牙缝重新出现等,轻度复发可能影响美观,重度则可能引发咀嚼功能问题、颞下颌关节不适等。

成人矫正后反弹的根本原因
成人矫正反弹的核心在于“牙齿移动后的稳定性未被长期维持”,具体可从以下四方面分析:
矫正方案设计与生物学限制
牙齿移动的本质是牙槽骨的改建——牙齿受力后,牙槽骨一侧吸收、一侧增生,牙齿到达新位置后,牙槽骨需要3-6个月才能稳定(即“骨改建平衡期”),成人因颌骨发育停止、牙槽骨密度较高,改建速度慢于青少年,若矫正中过度移动牙齿(如将拥挤牙齿排齐时未预留足够间隙)、未考虑肌肉平衡(如唇部肌肉过强导致门牙前突复发),或未解决颌骨关系异常(如骨性畸形未配合正颌手术),易为复发埋下隐患。
患者自身因素:牙周健康与不良习惯
成人牙周条件是矫正成功的关键,若矫正前存在牙周炎(牙龈萎缩、牙槽骨吸收)、牙根吸收等问题,或矫正期间口腔卫生维护不当(导致牙结石堆积、牙周炎症),会削弱牙齿支持组织,矫正后牙齿更易移位,不良习惯(如吐舌、咬唇、夜磨牙、偏侧咀嚼)会持续对牙齿施加异常力量,即使矫正结束,若这些习惯未纠正,牙齿仍可能被“推”回原位。
保持器使用不规范:复发的主导诱因
“戴保持器是防止反弹的最后一道防线”,但临床中约60%的复发与保持器使用不当有关,常见误区包括:认为“戴够1年就不用再戴”(实际上牙齿稳定需2-3年,甚至终身)、自行缩短佩戴时间(如从全天戴改为仅晚上戴后未坚持)、保持器丢失或损坏后未及时重做、未根据牙齿变化调整保持器(如保持器与牙齿不贴合失去作用)。

年龄与组织记忆效应
成人牙齿周围的组织(如牙龈、牙周膜)具有“记忆效应”,长期错位的牙齿会试图回到原有位置,随着年龄增长,口腔肌肉弹性下降、牙齿支持力减弱,组织记忆效应可能更明显,研究显示,40岁以上成人矫正后复发风险比30岁以下人群高15%-20%。
如何科学预防成人矫正反弹?
预防反弹需从矫正前、矫正中到矫正后全程管理,核心是“稳定咬合、维持位置、纠正习惯”。
矫正前:全面评估,个性化设计
矫正前需通过口腔全景片、头影测量、牙周检查等,明确牙齿拥挤度、牙槽骨状况、咬合关系及不良习惯,对于牙周炎患者,需先进行牙周治疗(洁治、刮治)至炎症控制;存在骨性畸形者,可能需联合正颌手术;肌肉力量异常者,需通过肌功能训练(如唇肌训练、舌位纠正)平衡口腔环境。
矫正中:精细控制,预留稳定空间
矫正中应避免“过度排齐”,需预留1-2mm的“生理间隙”应对牙齿自然漂移;对于前牙前突患者,可配合“过矫正”(如将门牙稍微内收1-2mm)抵消复发趋势;同时定期调整矫正力,避免过大力量导致牙根吸收或牙周损伤。
矫正后:严格佩戴保持器,终身维护
保持器是防止反弹的核心,需根据矫正类型选择:
- 活动保持器(如霍利保持器):适合多数患者,需在矫正结束后前6个月全天佩戴(进食、刷牙取下),之后改为夜间佩戴,持续2-3年,之后逐渐减少佩戴频率(如每周2-3晚),直至终身。
- 固定保持器(粘接在下前牙舌侧):适合易复发人群(如牙缝大、扭转牙),可长期佩戴,但需注意清洁,避免邻龋。
无论何种保持器,均需每年检查1-2次,若发现松动、破损或牙齿移位,及时复诊调整或重做。
纠正不良习惯,维护口腔卫生
矫正后需彻底纠正吐舌、咬唇等习惯,可通过肌功能训练器或行为干预;坚持早晚刷牙、使用牙线、定期洗牙(每3-6个月),避免牙周炎复发;避免用牙齿咬硬物(如坚果、冰块),减少牙齿创伤。
反弹后如何处理?
若发现牙齿轻微移位(如门牙轻微扭转、牙缝0.5mm内),可立即联系正畸医生,通过调整保持器或短期佩戴活动矫正器改善;若中度复发(如拥挤明显、咬合紊乱),可能需二次矫正(通常隐形矫正更方便,疗程约3-6个月);重度复发(如牙齿严重移位、功能障碍)则需结合正畸-正颌联合治疗,重新设计方案。
成人矫正后反弹预防关键措施
| 项目 | 重要性 | |
|---|---|---|
| 矫正前评估 | 牙周检查、骨性畸形排查、不良习惯纠正 | 排除复发风险因素,为稳定矫正奠定基础 |
| 矫正中控制 | 预留生理间隙、避免过度移动、过矫正前突 | 减少组织记忆效应,抵消复发趋势 |
| 保持器使用 | 前6个月全天戴,之后夜间戴至少2年,定期检查 | 维持牙齿新位置,是防止反弹的核心措施 |
| 口腔卫生维护 | 每日刷牙2次+牙线,每3-6个月洗牙,控制牙周炎 | 保证牙齿支持组织健康,避免因牙周问题导致移位 |
| 不良习惯纠正 | 吐舌、咬唇训练,避免偏侧咀嚼、夜磨牙(需戴夜磨牙垫) | 消除异常力量,防止牙齿被外力推回原位 |
相关问答FAQs
Q1:成人矫正结束后,戴保持器需要戴多久?可以不戴吗?
A:成人矫正后牙齿稳定需较长时间,建议前6个月全天佩戴保持器(进食、刷牙取下),之后至少2年夜间佩戴,之后可根据牙齿稳定情况(如每年复查无移位)逐渐减少频率,甚至终身佩戴(尤其牙周条件差、有不良习惯者),不戴保持器是复发的主要原因,临床数据显示,停止佩戴1年内复发率可达50%,不戴保持器”不可取。
Q2:矫正后牙齿轻微反弹,自己戴保持器能调整过来吗?
A:若反弹轻微(如门牙扭转<1mm、牙缝<0.5mm),且保持器仍贴合牙齿,可继续佩戴原保持器并延长佩戴时间(如从夜间戴改为全天戴),同时密切观察牙齿变化;若反弹明显(如牙齿明显拥挤、咬合紊乱)或保持器已不贴合,需及时复诊,医生会评估后决定是否需调整保持器或进行二次矫正,自行强行佩戴可能加重损伤。
