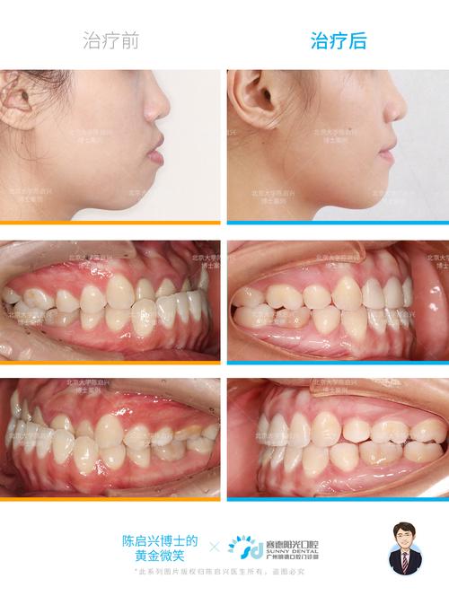
牙齿矫正侧面对比照片是评估矫正效果的重要依据,它不仅能直观反映牙齿排列的变化,更能展现面部侧貌的协调性改善,与正面照片相比,侧面照片更能捕捉到牙齿、颌骨、唇部及下颌线的整体关系,是正畸医生制定方案、患者了解预期效果的关键参考。
从牙齿矫正的核心目标来看,其本质是通过移动牙齿、调整颌骨位置、改善咬合关系,最终实现功能与美学的统一,侧面对比照片恰好能完整呈现这一过程:矫正前,常见的牙齿问题如牙列拥挤、龅牙(上颌前突)、地包天(下颌前突)、深覆合、深覆盖等,都会在侧面形成特定的“面型特征,这些特征不仅影响美观,还可能导致咀嚼效率低、颞下颌关节紊乱等功能问题,而矫正后,随着牙齿移动至理想位置,侧貌会逐渐趋向协调,例如龅牙患者的嘴唇不再明显前突,地包天患者的下巴后缩得到改善,深覆合患者的“月牙脸”变得柔和。

矫正前后侧面的关键变化指标
牙齿矫正的侧面对比并非仅关注“牙齿是否整齐”,而是通过多个维度综合评估效果,以下是矫正前后侧面的核心变化指标及典型表现:
| 对比指标 | 矫正前常见状态 | 矫正后理想状态 | 变化原理 |
|---|---|---|---|
| 鼻唇角(鼻底与唇部夹角) | 龅牙患者鼻唇角过小(<90°),唇部前突 | 鼻唇角恢复正常(90°-120°),唇部自然闭合 | 牙齿内收后,上唇支撑力恢复,唇部不再因前牙前突而外翘。 |
| 下颌缘清晰度 | 牙齿前突或肥胖者下颌缘模糊,线条松散 | 下颌缘轮廓清晰,线条流畅 | 咬合改善后,咀嚼肌张力恢复正常,面部肌肉线条更紧致;牙齿内收减少软组织堆积。 |
| 唇部突度(E线) | 上唇或下唇超过E线(审美参考线) | 上下唇自然接触或略微位于E线后方 | 牙齿位置调整后,唇部软组织随牙齿移动,实现“突度平衡”,避免“凸嘴”或“瘪嘴”。 |
| 颏部形态(下巴) | 地包天患者颏部后缩,呈“凹面型”;龅牙患者颏部相对后缩 | 颏部形态饱满,与鼻、唇协调 | 牙齿内收或前移后,颏部突出感增强,改善“缩下巴”或“双下巴”视觉。 |
| 面下1/3高度 | 深覆合者面下1/3过短,呈“短面型” | 面下1/3高度协调,与中1/3比例和谐 | 通过压低或伸长牙齿,调整垂直向咬合关系,恢复面部正常比例。 |
以常见的“龅牙”矫正为例,矫正前侧面对比照片往往显示上颌前牙严重唇倾,上唇明显前突,鼻唇角过小,微笑时牙龈暴露过多,甚至影响闭唇;矫正后,随着上牙弓内收、牙轴直立,上唇回缩,鼻唇角恢复正常,闭唇轻松,面部侧貌从“突面型”转为“直面型”,整体气质更显柔和,而对于“地包天”患者,矫正前侧面可见下颌前突、上颌后缩,下巴明显前伸,形成“月牙脸”;矫正后(可能配合正畸正颌联合治疗),下颌后退,上颌前移,颏部形态改善,侧貌变为“直面型”或轻微“凸面型”,面部比例更协调。
侧面对比照片的拍摄要点与意义
要准确捕捉矫正前后的侧貌变化,照片拍摄需严格规范,避免因角度、光线、姿势差异导致误判,标准侧面对比照片的拍摄要求包括:
- 头部姿势:采用Frankfort平面(耳屏上缘与眼眶下缘的连线)与地面平行,确保头部不仰头、低头或歪斜,避免因下颌旋转导致侧貌失真;
- 拍摄距离:固定镜头与被摄者的距离(通常1.5-2米),避免广角镜头导致的面部变形;
- 光线条件:使用均匀自然光,避免强光或阴影影响面部轮廓清晰度,尤其需明确显示下颌缘、鼻唇沟、唇部突度等关键部位;
- 表情控制:自然放松状态下拍摄,不刻意微笑或皱眉,确保唇部处于自然闭合状态,反映静态侧貌真实情况;
- 时间节点:拍摄需覆盖矫正前(拔牙/非拔牙方案确定后)、矫正中(每3-6个月记录牙齿移动进度)、矫正后(拆除矫治器时)、保持期(保持1-3年,观察稳定性)四个阶段,形成完整变化轨迹。
这些照片对正畸医生而言,是评估矫正方案有效性、调整治疗计划的依据;对患者而言,是直观感受矫正效果、增强治疗信心的“可视化成果”,部分患者在矫正中期可能因牙齿移动过程中的“暂时性不整齐”产生焦虑,通过对比中期与初期的侧貌照片,可清晰看到牙齿突度已改善、下颌线逐渐清晰,从而安心配合治疗。

不同矫正方式的侧面对比差异
牙齿矫正方式多样,包括传统金属托槽、陶瓷托槽、自锁托槽、隐形矫正等,不同方式因矫治力度、移动特点不同,侧貌变化速度和细节可能存在差异,但最终理想目标一致。
- 传统金属/陶瓷托槽:通过弓丝与托槽的结扎力施加持续力,适用于各类错颌畸形,尤其对严重牙列拥挤、骨性问题的矫正效果显著,其侧面对比通常显示牙齿移动幅度大,例如龅牙患者内收速度快,但可能因初期“排齐阶段”的牙齿倾斜,导致侧貌变化在“内收阶段”才明显显现;
- 自锁托槽:摩擦力更小,矫正效率更高,疗程可能缩短10-20%,侧面对比中,牙齿移动更平稳,例如深覆合患者通过打开咬合,面下1/3高度恢复速度可能快于传统托槽;
- 隐形矫正:利用透明牙套施加个性化移动力量,美观且方便摘戴,适合轻中度错颌畸形,其侧面对比的特点是“渐进式变化”,每副牙套移动牙齿0.25mm-0.33mm,因此侧貌改善更细腻,例如龅牙患者上唇回缩过程更平缓,但对严重骨性问题的矫正需配合正颌手术。
侧面对比中的“美学陷阱”与注意事项
虽然侧面对比照片是重要参考,但需避免陷入“唯侧貌论”的误区,正畸的核心是功能与美学的统一,部分患者可能过度追求“侧面网红直角颌”,而忽视自身颌骨条件、面部比例的个体差异,对于本身鼻梁较低、颧骨较高的患者,若强行将牙齿过度内收,可能导致鼻唇角过大、唇部过凹,形成“瘪嘴”反而影响美观,专业的正畸医生会结合患者的面部三维数据(如X头影测量)、面部软组织厚度、微笑曲线等综合设计方案,确保侧貌改善符合“和谐”而非“绝对标准”。
矫正后的侧貌稳定至关重要,牙齿移动后,周围牙槽骨、牙周组织需要时间重建,因此保持期的侧面对比同样重要,若患者未按要求佩戴保持器,可能导致牙齿复发,侧貌倒退,例如龅牙患者矫正后上唇前突改善,但因未戴保持器导致上牙再次前突,鼻唇角重新变小。
相关问答FAQs
Q1:牙齿矫正侧面对比照片多久拍一次最合适?
A:矫正前需拍摄1次基准照片;矫正中,每3-6个月拍摄1次,记录牙齿移动进度(如排齐阶段、内收阶段、精细调整阶段);矫正后拆除矫治器时拍摄1次,评估最终效果;保持期第1年每3个月拍摄1次,第2-3年每6个月拍摄1次,观察侧貌稳定性,通过定期对比,可及时发现矫正偏差并调整方案,确保效果符合预期。

Q2:矫正后侧面对比显示“下巴还是后缩”,是矫正失败吗?
A:不一定,需区分“牙性后缩”与“骨性后缩”:若患者是牙性后缩(仅牙齿前突,颌骨位置正常),矫正后牙齿内收,唇部回缩,下巴后缩通常会有明显改善;若患者是骨性后缩(下颌骨发育不足),单纯正畸矫正效果有限,需配合正颌手术(如下颌前移术)才能根本改善侧貌,矫正初期因牙齿尚未完全移动到位,可能暂时性存在“视觉后缩”,需等待矫正结束或保持期后评估,最终以稳定期的侧面对比为准。
