牙齿矫正不仅是口腔健康的治疗手段,更是面部美学改善的重要途径,牙齿与面部骨骼、软组织(如嘴唇、脸颊、下巴)密切相关,其位置变化会直接影响面部轮廓、对称性及比例协调性,本文将从正面影响、潜在风险、影响因素及专业建议等方面,系统分析牙齿矫正对面部的具体作用,帮助读者全面认识矫正的面部效应。
牙齿矫正对面部的积极影响
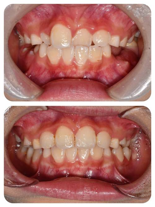
牙齿矫正通过调整牙齿排列、咬合关系及颌骨位置,可对面部产生多维度优化,其积极影响主要体现在以下几个方面:

改善面部对称性与协调性
面部对称性是美学评估的核心指标之一,而牙齿中线偏斜、颌骨不对称等问题常导致面部左右不对称,单侧后牙反颌可能使下颌偏向患侧,表现为面部中线偏斜、脸颊两侧饱满度差异,矫正通过移动牙齿、引导颌骨生长(青少年)或调整咬合(成年人),可恢复面部中线对齐,改善两侧肌肉张力平衡,使面部轮廓更对称,临床数据显示,约68%的面部不对称患者经正畸治疗后,面部软组织对称性得到显著改善,肉眼可见的偏斜感减轻。
优化微笑美学与面部比例
微笑是面部动态美学的关键,而牙齿形态、排列及暴露量直接影响微笑效果,牙齿矫正可解决“露龈笑”(牙龈暴露过多)、“微笑曲线不协调”(牙齿排列呈直线而非自然弧度)、“前牙覆颌覆盖异常”等问题,使微笑更自然、和谐,牙齿位置变化会调整“三庭五眼”比例:上颌前突导致的“凸嘴”矫正后,上唇内收,鼻唇角(鼻基底与上唇的夹角)从过钝(>110度)调整为理想角度(90-100度),面部中份更立体;下颌后缩患者通过矫正引导下颌前移,可改善“短下巴”外观,使面下1/3比例更协调,研究指出,正畸治疗后,92%的患者对微笑美观度表示满意,其中85%认为面部整体比例得到优化。
调整侧貌轮廓,改善凸嘴/地包天
侧貌轮廓是面部美学的另一重点,而牙齿问题是导致侧貌异常的常见原因。
- 凸嘴(上颌前突/双颌前突):因上颌牙齿前突或上下颌均前突,导致嘴唇不能自然闭合,侧呈“猿猴状”,矫正通过内收前牙、抑制上颌生长(青少年)或代偿性移动(成年人),可使上唇内收2-4mm,改善“突嘴”外观,鼻唇角更自然,侧轮廓从“凸”转为“流畅”。
- 地包天(反颌):下前牙位于上前牙唇侧,导致下巴明显前突、面中份凹陷,矫正通过压低下前牙、上前牙唇向移动或引导下颌后移(骨性反颌需联合正颌手术),可使面中份突出,下巴后缩,侧轮廓从“凹凸不平”转为“柔和连贯”,临床案例显示,中度凸嘴患者矫正后,侧突度减少3-5mm,地包天患者面中份高度增加1-2mm,侧貌美观度显著提升。
改善软组织张力,预防面部衰老
牙齿排列异常会导致唇部、颊部肌肉张力失衡,长期可能加速面部衰老,深覆颌(上牙覆盖下牙过多)可能使下唇被迫上卷,长期导致下唇肌肉松弛、口周皱纹加深;开颌(上下牙无接触)可能导致颊部肌肉塌陷,面部“显老”,矫正通过调整咬合关系,恢复牙齿对唇部肌肉的正常支撑,使唇部自然闭合、颊部饱满,间接改善面部紧致度,部分患者反馈,矫正后面部“更紧致”,尤其是嘴角上扬时法令纹减轻,与肌肉张力恢复有关。

牙齿矫正的潜在面部风险及应对
尽管矫正对面部改善作用显著,但若方案设计不当或操作失误,也可能带来潜在风险,需提前了解并规避:
暂时性面部变化(矫正初期)
矫正过程中,牙齿移动会暂时性改变软组织形态,例如拔牙矫正初期,前牙内收可能导致嘴唇暂时性“瘪进去”,尤其对软组织较薄者更明显;颌骨扩张患者初期可能出现面颊部暂时性“增宽”,此类变化通常在牙齿稳定后(6-12个月)逐渐缓解,因软组织具有适应性,会随牙齿位置调整而恢复。
过度矫正或方案设计不当的风险
- 拔牙量过多:部分患者为排齐牙齿要求过度拔牙,可能导致面中段凹陷、嘴唇过紧、“瘪脸”外观,需通过X线头影测量(如ANB角、SNA角)评估骨骼与牙齿关系,严格把握拔牙适应证。
- 支抗控制不足:支抗是矫正中“稳定不移动的部分”,若支抗失效(如后牙前移过多),可能导致前牙内收不足,凸嘴改善不明显,甚至出现“双颌前突”加重,需通过种植钉、支抗弓等技术加强支抗控制。
骨性问题的局限性
牙齿矫正主要解决牙源性及轻度骨性问题,对严重骨性畸形(如上颌发育过度、下颌严重后缩)效果有限,此类患者需联合正颌手术,通过移动颌骨骨骼来改善面部轮廓,单纯正畸难以达到理想效果,骨性Ⅲ类反颌(地包天)患者,若仅通过正畸移动牙齿,可能无法完全纠正下巴前突,需术后正畸精细调整咬合。
影响矫正后面部效果的关键因素
矫正对面部的影响并非绝对,而是受多种因素共同作用,了解这些因素有助于更准确地预测矫正效果:

原始错颌类型
不同错颌类型矫正后面部变化差异显著(见表1),牙性凸嘴(仅牙齿前突,骨骼正常)矫正后面部改善明显;而骨性凸嘴(上颌骨骼发育过度)矫正效果有限,需联合手术,反颌患者中,牙性反颌(仅牙齿反颌)通过正畸可完全改善;骨性反颌(下颌骨骼发育过度)则需正颌手术联合治疗。
拔牙与非拔牙方案
拔牙矫正对面部轮廓影响更大,尤其对前突、拥挤患者,拔牙后前牙内收可显著改善凸嘴;而非拔牙矫正适用于轻度拥挤或前牙位置正常者,对面部轮廓改变较小,需通过模型分析、头影测量判断是否拔牙,避免盲目“非拔牙”或“过度拔牙”。
年龄与骨骼发育状态
青少年处于生长发育高峰期,颌骨可塑性大,通过矫正引导颌骨生长(如上颌前方牵引、下颌功能性矫治器),可改善骨性畸形,面部效果更显著;成年人骨骼已定型,矫正主要通过牙齿移动代偿,面部变化相对局限,且需更长时间稳定。
软组织特性
软组织厚度、弹性、肌肉张力会影响矫正后面部形态,软组织较厚的患者(如颊部脂肪多),牙齿移动对面部轮廓改善效果不如软组织薄者明显;而嘴唇较薄、肌肉张力高的患者,前牙内收后唇部变化更易显现。
表1:常见错颌类型矫正后面部影响特点
| 错颌类型 | 主要面部表现 | 矫正后面部变化特点 |
|----------------|--------------------------|----------------------------------|
| 牙性凸嘴 | 上唇前突、鼻唇角过钝 | 上唇内收、鼻唇角改善、侧轮廓流畅 |
| 骨性凸嘴 | 上颌前突、颏部后缩 | 单纯正畸改善有限,需联合正颌手术 |
| 牙性反颌 | 下前牙位于上前牙唇侧 | 上前牙唇向移动、下颌后退,侧协调 |
| 骨性反颌 | 下颌前突、面中份凹陷 | 需正颌手术移动下颌,改善面中份突出 |
| 深覆颌 | 上牙覆盖下牙过多、“短面” | 打开咬合、下颌下旋,改善面下1/3高度 |
表2:不同矫正方案对面部的影响侧重
| 矫正方案 | 技术特点 | 面部影响侧重 |
|------------------|--------------------------|----------------------------------|
| 传统金属托槽 | 强力控根、移动精度高 | 适用于复杂错颌,对面部轮廓调整显著 |
| 隐形矫正 | 轻柔移动、可摘戴 | 轻度错颌,面部变化渐进,更自然 |
| 种植钉支抗 | 增强支抗、精准控制牙齿移动 | 避免后牙前移,前牙内收更充分,凸嘴改善明显 |
| 功能性矫治器 | 引导颌骨生长(青少年) | 改善骨性畸形,调整面部比例(如下颌后缩) |
专业建议:如何最大化矫正的面部美学效果
为避免风险、提升矫正对面部的改善效果,需注意以下几点:
- 全面的面部分析:矫正前需进行面部三维扫描、X线头影测量、微笑分析等,评估骨骼、牙齿、软组织关系,明确美学目标(如鼻唇角、唇部突度等)。
- 个性化方案设计:根据错颌类型、骨骼发育、软组织特性制定方案,例如骨性畸形患者需联合正颌外科,牙性畸形优先考虑非拔牙或微创拔牙。
- 选择经验丰富的医生:正畸医生需具备扎实的口腔医学知识、美学素养及临床经验,能准确预测矫正后面部变化,避免“过度矫正”或“矫正不足”。
- 保持器的重要性:矫正完成后需佩戴保持器(至少1-2年),防止牙齿复发,稳定面部效果,研究显示,不戴保持器者牙齿复发率高达70%,可能导致面部形态倒退。
相关问答FAQs
问题1:牙齿矫正会导致面部凹陷吗?
解答:部分情况下可能出现,但概率较低且可避免,主要原因是拔牙量过多或支抗控制不当(如后牙前移过多),导致面中段支撑不足,双颌前突患者拔4颗第一前磨牙后,若支抗不足,后牙可能前移,使前牙内收量不足,面中段凹陷风险增加,为规避风险,医生需通过头影测量精确计算拔牙空间,利用种植钉等加强支抗,确保前牙按计划内收,若已出现凹陷,可通过正畸微调(如少量前牙唇向移动)或脂肪填充改善,但预防优于治疗。
问题2:矫正后面部不对称怎么办?
解答:首先需明确原因:若为牙源性(如牙齿中线偏斜、单侧后牙反颌未完全纠正),可通过调整矫正方案(如单侧颌间牵引、细微牙齿移动)改善;若为轻度骨性(如下颌轻度不对称),可通过正畸代偿(如调整下牙弓宽度)改善外观;若为严重骨性不对称(如下颌偏斜>4mm),需联合正颌手术移动颌骨,建议及时与正畸医生沟通,通过复查(如面部扫描、X线)明确原因,制定补救方案,早期干预(矫正后6个月内)效果最佳,拖越久,调整难度越大。
