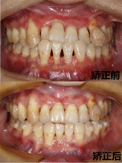
牙周炎患者并非绝对不能进行牙齿矫正,关键在于牙周炎症是否得到有效控制,以及是否满足特定的适应条件,牙齿矫正过程中牙齿需要在牙槽骨内移动,若牙周炎处于活动期,牙槽骨已出现吸收,强行矫正可能加重骨吸收,导致牙齿松动甚至脱落,牙周炎患者能否矫正,需严格评估牙周健康状况,并在专业牙周科与正畸科医生的联合管理下进行。
牙周炎患者牙齿矫正的前提条件
牙周炎患者需先接受系统的牙周治疗,将牙周炎症控制在稳定状态,方可考虑矫正,具体适应症与禁忌症如下:

| 适应症 | 禁忌症 |
|---|---|
| 牙周炎经基础治疗(洁治、刮治、根面平整)后处于稳定期:牙龈无红肿、出血,牙周袋深度≤3mm,无溢脓; 牙槽骨吸收≤根长1/3,且吸收呈水平型(利于牙齿移动); 无明显牙齿松动(Ⅰ度松动以内)或松动牙已通过牙周固定术稳定; 口腔卫生良好(菌斑指数<20%),能配合矫正期间的口腔维护; 全身健康状况稳定,无未控制的糖尿病、凝血功能障碍等疾病。 |
牙周炎活动期:牙龈明显红肿、出血,牙周袋深度>5mm,有自发出血或溢脓; 牙槽骨吸收>根长1/2,或呈垂直型吸收(骨缺损严重,牙齿移动风险高); 牙齿松动Ⅱ度及以上,或存在无法保留的残根、残冠; 未能完成牙周治疗或治疗后牙周状况仍不稳定; 患者依从性差,无法坚持矫正期间的口腔卫生维护。 |
牙周炎患者矫正的注意事项
-
矫正前:全面牙周评估与预处理
需进行牙周专科检查,包括牙周探诊、X线片(观察牙槽骨状况)、菌斑染色等,明确牙周炎类型及严重程度,若有牙周袋>4mm、根分歧病变等问题,需先通过牙周手术(如翻瓣术、骨移植术)消除炎症,待牙周指标稳定(通常治疗后3-6个月)再开始矫正。 -
矫正中:严格控制移动力度与口腔卫生
- 轻力矫治:正畸医生需采用轻柔、持续的力量,避免加力过快导致牙槽骨进一步吸收,优先选择生物相容性好的矫正材料(如自锁托槽、隐形矫治器),减少对牙龈的刺激。
- 强化口腔维护:矫正期间患者需使用正畸专用牙刷、冲牙器、牙线间隙刷等,每日至少清洁3次,每3个月复查牙周状况(包括探诊深度、出血指数等),若有菌斑堆积或牙龈炎症,及时进行专业洁治。
-
矫正后:长期牙周维护与保持
矫正结束后需佩戴保持器,同时坚持牙周维护,每3-6个月进行一次牙周复查,包括洁治、牙周袋监测,必要时进行刮治,若出现牙龈出血、牙齿松动等症状,需立即就医,避免牙周炎复发。
风险与控制
牙周炎患者矫正的主要风险包括牙根吸收、牙龈退缩、牙槽骨吸收加重等,但通过严格筛选适应症、控制牙周炎症、采用个性化矫治方案,可将风险降至最低,对于牙槽骨吸收较轻的患者,可通过延长矫正周期、减少每次加力量来降低牙根吸收风险;对于牙龈退缩风险高的患者,避免将牙齿移动至唇侧,减少牙龈刺激。

相关问答FAQs
Q1:牙周炎矫正会让牙齿变得更松吗?
A:在牙周炎症稳定的前提下,牙齿矫正通过牙槽骨的改建实现移动,属于生理性过程,不会导致牙齿永久性松动,但若矫正前牙周炎未控制好,或矫正中口腔卫生维护不当,可能加重牙槽骨吸收,导致牙齿松动,严格把握适应症和加强口腔维护是关键。
Q2:矫正期间牙周炎复发怎么办?
A:若矫正期间出现牙周炎复发(如牙龈出血加重、牙周袋加深),需立即暂停矫正,及时就诊牙周科进行强化治疗(如龈下刮治、局部药物治疗),待炎症控制后再由正畸医生评估是否继续矫正,必要时调整矫治方案,避免对患牙施加过大力量。
