拜博口腔网

  • 隐形牙齿矫正适合哪些人群?适用条件有哪些?

    隐形牙齿矫正适合哪些人群?适用条件有哪些?

    隐形牙齿矫正作为一种现代化的正畸方式,凭借其美观、舒适、便捷等优势,已成为越来越多牙齿畸形患者的选择,但并非所有人都适合这种方式,其适用性需结合牙齿问题类型、个人生活习惯、口腔健康状况等多方面因素综合判断,以下从适合的牙齿问题、适合的人群特...

    2026-01-22
    50 0 0
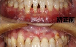
  • 牙周炎能做牙齿矫正吗?需满足哪些条件?

    牙周炎能做牙齿矫正吗?需满足哪些条件?

    牙周炎患者并非绝对不能进行牙齿矫正,关键在于牙周炎症是否得到有效控制,以及是否满足特定的适应条件,牙齿矫正过程中牙齿需要在牙槽骨内移动,若牙周炎处于活动期,牙槽骨已出现吸收,强行矫正可能加重骨吸收,导致牙齿松动甚至脱落,牙周炎患者能否矫正,...

    2026-01-19
    57 0 0
  • 1 / 1
  • 1